Osteocondroma do joelho
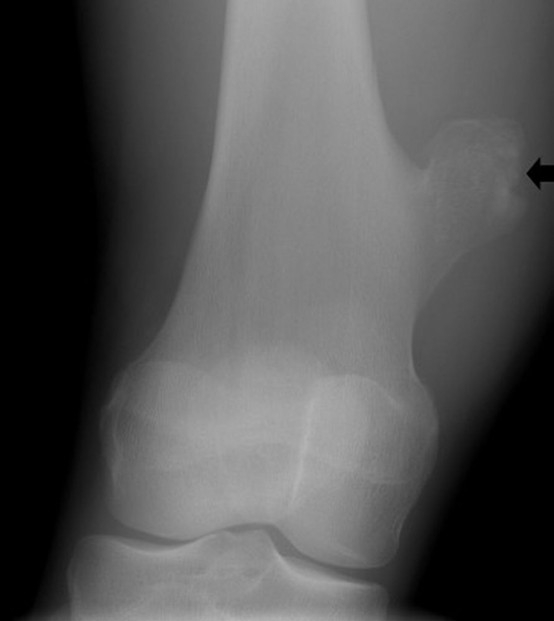
Essa radiografia do joelho mostra crescimento ósseo (seta) do fêmur acima da articulação do joelho, sugestiva de osteocondroma.
Imagem cedida por cortesia de Michael J. Joyce, MD, and Hakan Ilaslan, MD.
Nesses tópicos
Essa radiografia do joelho mostra crescimento ósseo (seta) do fêmur acima da articulação do joelho, sugestiva de osteocondroma.
Imagem cedida por cortesia de Michael J. Joyce, MD, and Hakan Ilaslan, MD.