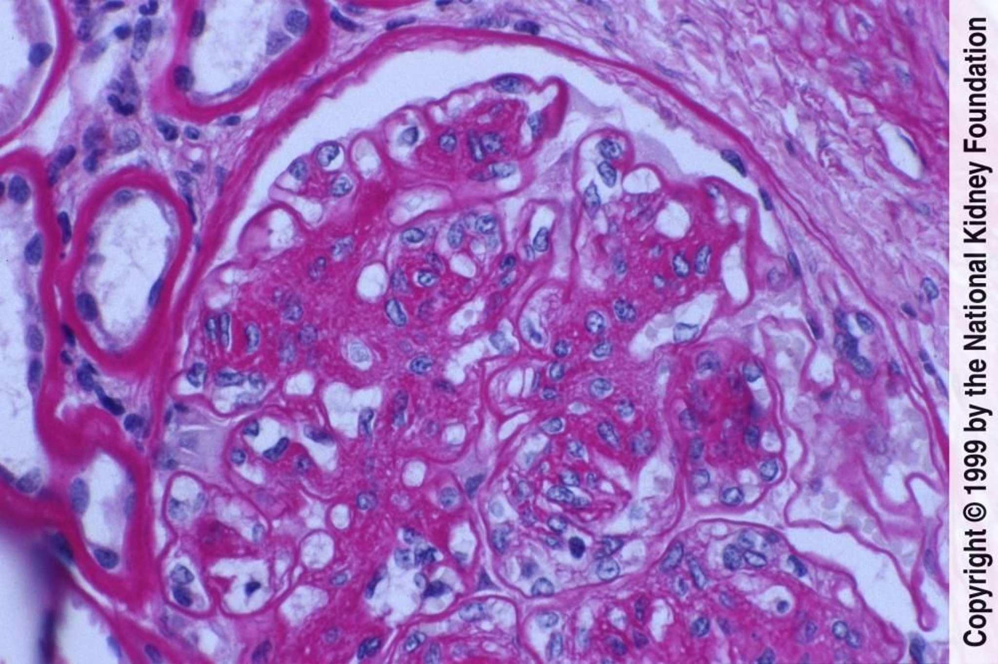
Nefropatia diabética (proliferação de células mesangiais e expansão da matriz)
A proliferação de células mesangiais e a expansão da matriz com lesão endotelial se manifestam aqui como espessamento das membranas basais glomerulares sem depósitos evidentes de imunocomplexos (coloração com ácido periódico de Schiff, × 400).
Image provided by Agnes Fogo, MD, and the American Journal of Kidney Diseases' Atlas of Renal Pathology (see www.ajkd.org).
Nesses tópicos
