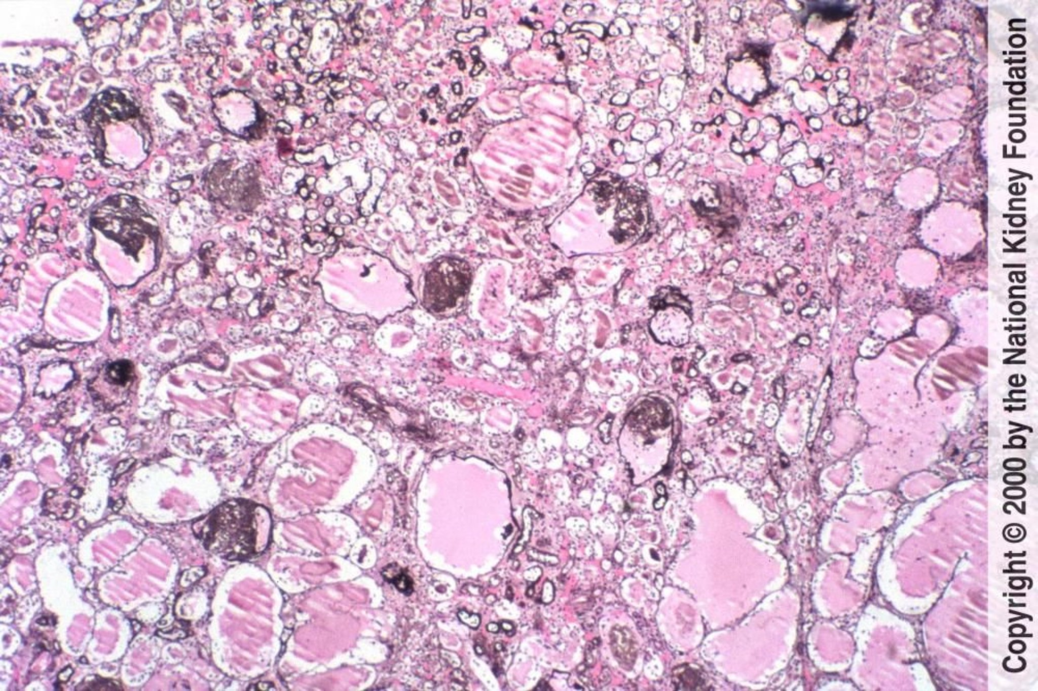
Nefropatia associada ao HIV (glomerulopatia colapsante)
A glomerulosclerose segmentar e focal com colapso dos tufos glomerulares e alterações tubulares microcísticas é típica da nefropatia associada ao HIV (coloração prata de Jones, × 100).
Image provided by Agnes Fogo, MD, and the American Journal of Kidney Diseases' Atlas of Renal Pathology (see www.ajkd.org).
Nesses tópicos
