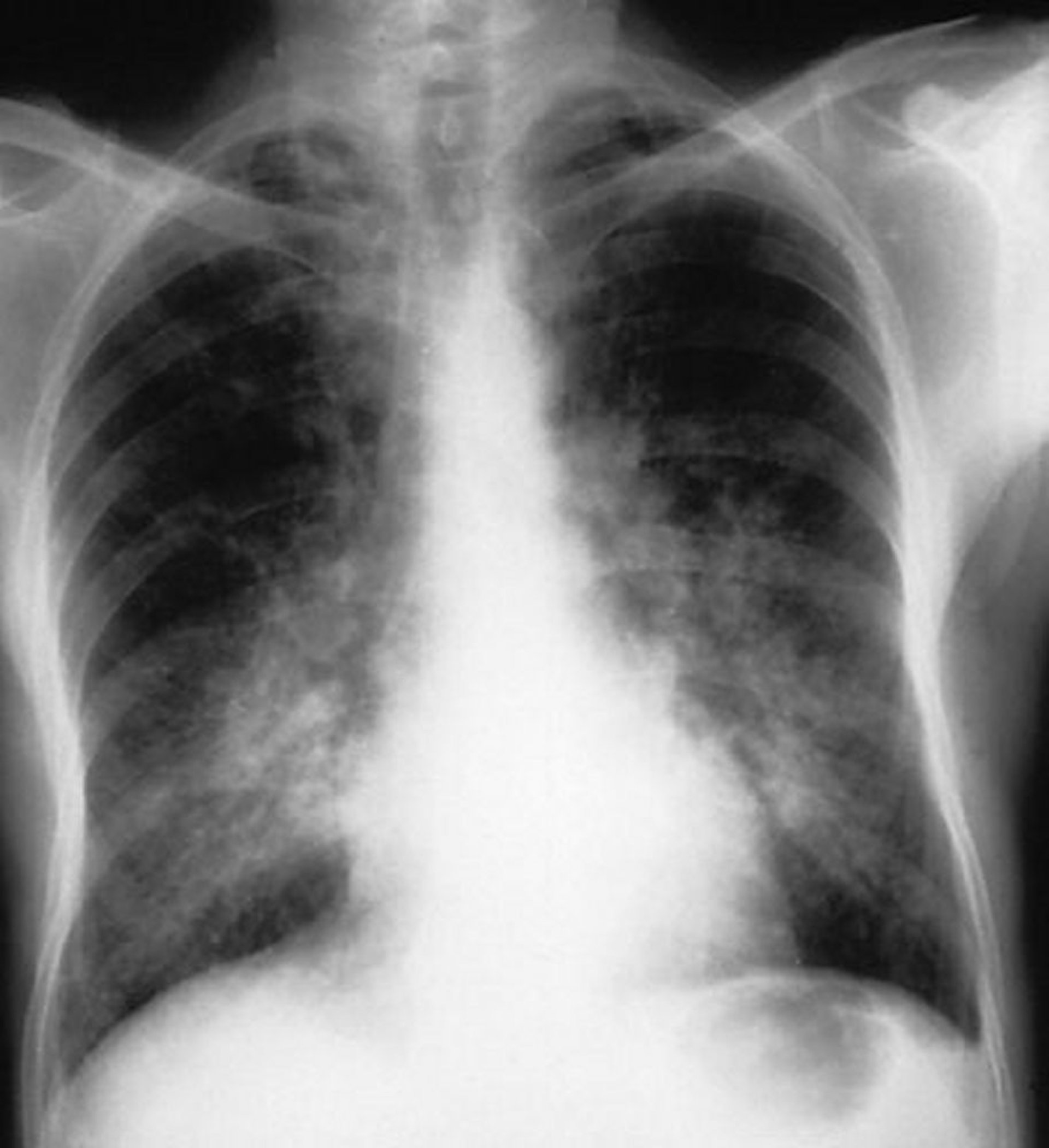
Hemorragia alveolar
Essa radiografia do tórax mostra opacidades alveolares bilaterais em um paciente com hemorragia alveolar.
By permission of the publisher. From Cohen A, Glassock R. In Atlas of Diseases of the Kidney: Glomerulonephritis and Vasculitis. Editado por R Schrier (editor da série), RJ Glassock, and AH Cohen. Philadelphia, Current Medicine, 1999.
Nesses tópicos
