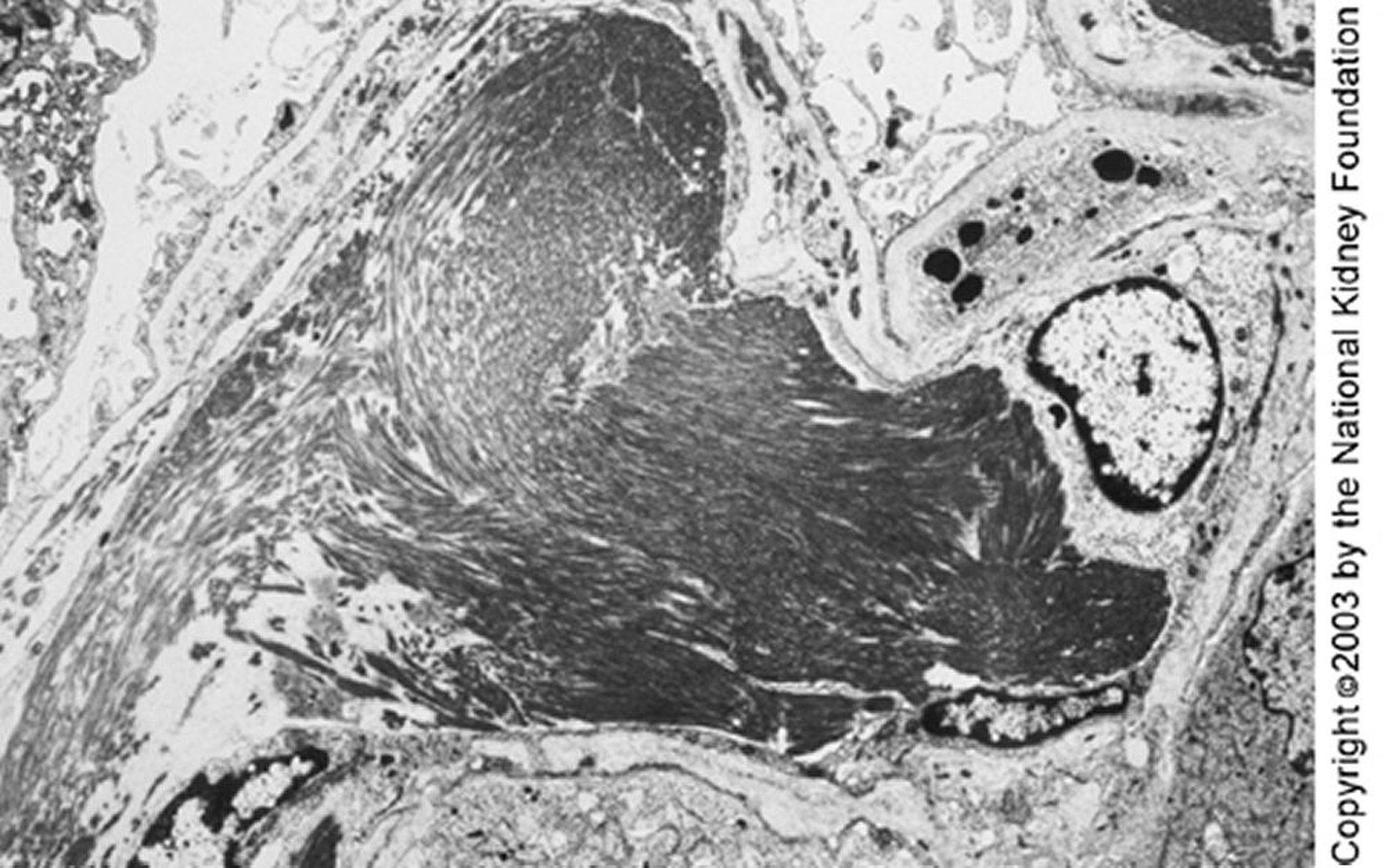
Glomerulopatia imunotactoide
Pode-se observar grandes microtúbulos (diâmetro de quase 50 nm) organizados em arranjos paralelos pela microscopia eletrônica. Os depósitos paralelos e a estrutura microtubular podem diferenciar a glomerulopatia imunotactoide da glomerulopatia fibrilar (×4000).
Image provided by Agnes Fogo, MD, and the American Journal of Kidney Diseases' Atlas of Renal Pathology (see www.ajkd.org).
Nesses tópicos
