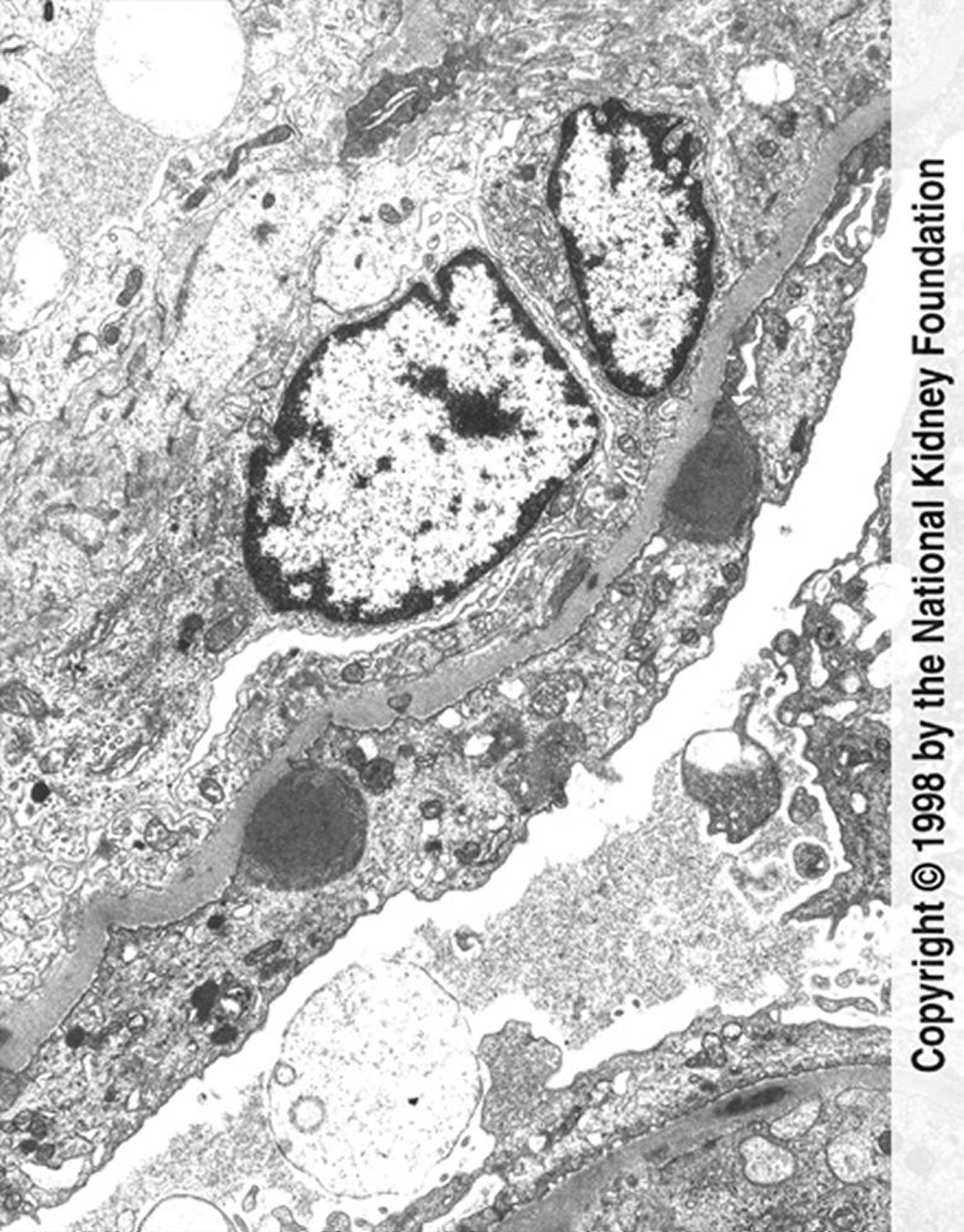
Glomerulonefrite pós-infecciosa (depósitos de complexos imunes)
Depósitos de imunocomplexos na forma de protuberância (cinza escuro) com extenso processo de apagamento e proliferação endocapilar do pé são vistos na micrografia eletrônica (× 11.250).
Image provided by Agnes Fogo, MD, and the American Journal of Kidney Diseases' Atlas of Renal Pathology (see www.ajkd.org).
Nesses tópicos
