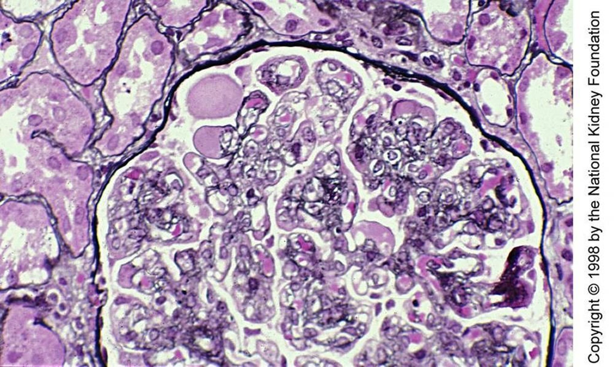
Glomerulonefrite membranoproliferativa, imunoglobulina/mediada por imunocomplexos
Na glomerulonefrite membranoproliferativa mediada por imunoglobulina/complexo imunitário, a deposição crônica de imunocomplexos (predominantemente C3 e IgG ou IgM) ativa a via clássica do complemento no interior das paredes capilares glomerulares e no mesângio. O resultado é proliferação mesangial, espessamento da membrana basal glomerular (GBM), interposição do citoplasma da célula mesangial entre GBM e célula endotelial e a glomeruloesclerose levando à insuficiência renal. O espessamento da GBM é visto aqui pelo duplo contorno (coloração prata de Jones, × 400).
Image provided by Agnes Fogo, MD, and the American Journal of Kidney Diseases' Atlas of Renal Pathology (see www.ajkd.org).
Nesses tópicos
