As anemias sideroblásticas são um grupo diverso de anemias caracterizadas pela presença de níveis séricos aumentados de ferro, ferritina e saturação de transferrina, bem como sideroblastos em anel (eritroblastos com mitocôndrias perinucleares com ingurgitamento de ferro). Os sintomas são aqueles da anemia e incluem fadiga e letargia. O diagnóstico requer um hemograma completo, contagem de reticulócitos e esfregaço de sangue periférico, bem como estudos de ferro e exame da medula óssea. O tratamento requer a interrupção de substâncias causadoras, como zinco, certos medicamentos ou etanol, e a administração de suplementos vitamínicos e eritropoetina ou outros tratamentos para síndrome mielodisplásica, se presente.
(Ver também Visão geral da diminuição da eritropoiese.)
Anemias sideroblásticas podem ser
Adquirida
Congênito
A anemia sideroblástica adquirida é frequentemente associada a a síndrome mielodisplásica (mas pode ser causada por medicamentos ou toxinas) e causa anemia normocítica ou macrocítica.
A anemia sideroblástica congênita é causada por uma das inúmeras mutações ligadas ao X ou autossômicas e geralmente é uma anemia microcítica e hipocrômica, mas pode ser normocítica e surgir mais tarde na vida.
Anemias sideroblásticas são anemias por disutilização de ferro, que são caracterizadas por utilização mitocondrial inadequada de ferro devido à síntese prejudicada do heme, apesar da presença de quantidades adequadas ou aumentadas de ferro. As anemias sideroblásticas são algumas vezes caracterizadas pela presença de eritrócitos pontilhados (siderócitos) contendo grânulos carregados de ferro (corpos de Pappenheimer).
Tanto na anemia sideroblástica adquirida como na congênita, a síntese do heme é prejudicada pela incapacidade de incorporar ferro à protoporfirina IX, levando à formação de sideroblastos em anel.
Anemia sideroblástica adquirida
Mais frequentemente, as anemias sideroblásticas adquiridas são parte de
Mutações somáticas nos genes envolvidos no splicing de RNA, mais frequentemente SF3B1 (subunidade 1 do fator de splicing 3b), ocorrem na idade adulta. As células progenitoras eritroides iniciais são sideroblásticas.
As causas menos comuns incluem
Deficiência de vitamina B6 (piridoxina) ou cobre (possivelmente causada pela ingestão de zinco, o que impede a absorção de cobre pelo trato gastrointestinal)
Medicamentos (p. ex., cloranfenicol, ciclosserina, isoniazida, linezolida e pirazinamida)
Toxinas (como etanol, zinco e chumbo)
Ocorrem produção deficiente de reticulócito, morte intramedular dos eritrócitos e hiperplasia (e displasia) eritroide na medula óssea. Embora haja hipocromia eritrocitária, outros eritrócitos podem ser grandes, gerando índices normocíticos ou macrocíticos; caso aconteça, a variação de tamanho dos eritrócitos (dimorfismo) geralmente causa aumento da amplitude de distribuição do diâmetro dos eritrócitos.
Anemia sideroblástica congênita
As formas hereditárias da anemia sideroblástica são menos comuns do que aquelas adquiridas e geralmente ocorrem na infância. A anemia sideroblástica congênita mais comum é uma forma ligada ao X causada por mutações germinativas no ALAS2 (5'-aminolevulinato sintase 2), um gene envolvido na biossíntese do heme. A vitamina B6 (piridoxina) é um cofator essencial para a enzima produzida pelo ALAS2; portanto os pacientes podem responder aos suplementos de piridoxina.
Foram identificadas inúmeras outras formas ligadas ao cromossomo X, autossômicas e mitocondriais com mutações nos genes envolvidos na síntese do heme ou outras vias enzimáticas mitocondriais (1).
Os eritrócitos geralmente são microcíticos e hipocrômicos, mas isso nem sempre é o caso; os sideroblastos em anel envolvem eritroblastos tardios.
Referência geral
1. Ducamp S, Fleming MD. The molecular genetics of sideroblastic anemia. Blood. 133:59–69, 2019. doi: 10.1182/blood-2018-08-815951
Diagnóstico das anemias sideroblásticas
Hemograma completo, contagem de reticulócitos e esfregaço sanguíneo periférico
Dosagem de ferro (ferro, ferritina e saturação de transferrina séricos)
Exame da medula óssea
Teste genético para mutação hereditária ou adquirida suspeita
Suspeita-se de anemia sideroblástica em pacientes com anemia microcítica ou anemia com RDW alto, em particular com aumento de ferro sérico, ferritina sérica e saturação de transferrina (ver Anemia ferropriva).
O esfregaço periférico mostra o dimorfismo dos eritrócitos. Os eritrócitos podem aparecer pontilhados.
É necessário o exame da medula óssea, que revela hiperplasia eritroide. A coloração para ferro revela acúmulo patognomônico de ferro nas mitocôndrias perinucleares dos eritroblastos (sideroblastos em anel). Pode haver outras características da síndrome mielodisplásica, comoas citopenias e a displasia.
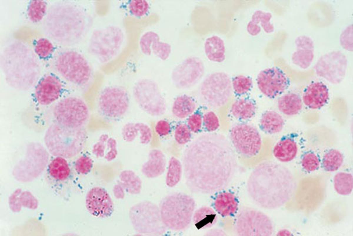
Na anemia sideroblástica, são vistos sideroblastos em anel na medula óssea (seta). Os sideroblastos em anel são precursores eritroides cujas mitocôndrias (localizadas ao redor do núcleo) estão repletas de ferro não heme.
By permission of the publisher. From Tefferi A, Li C. In Atlas of Clinical Hematology. Edited by JO Armitage. Philadelphia, Current Medicine, 2004.
O chumbo sérico é medido se a anemia sideroblástica tiver causa desconhecida.
Tratamento das anemias sideroblásticas
Suspender as substâncias que causam o quadro
Suplementos vitamínicos ou minerais
Eritropoietina recombinante (EPO)
Luspatercepte para pacientes dependentes de transfusão de baixo risco com síndrome mielodisplásica
A eliminação de uma toxina ou alguma substância (especialmente ingestão de álcool ou zinco) ou suplementos de minerais/vitaminas (cobre ou piridoxina) podem levar à recuperação.
A anemia sideroblástica ligada ao X pode responder à piridoxina, mas geralmente de forma incompleta.
Os casos adquiridos frequentemente respondem a altas doses de EPO recombinante e tratamento padrão para a síndrome mielodisplásica de baixo risco. O luspatercepte, que promove a diferenciação dos precursores eritrocitários, também é um tratamento de primeira linha para anemia dependente de transfusão na síndrome mielodisplásica de baixo risco em pacientes com e sem sideroblastos em anel (1, 2).
Tratar a sobrecarga de ferro com quelação ou flebotomia conforme tolerado ajuda a prevenir danos nos órgãos terminais. O tratamento da anemia grave é de suporte com transfusões. Em pacientes jovens com casos congênitos dependentes de transfusão, deve-se considerar o transplante alogênico de medula óssea.
Referências sobre tratamento
1. Fenaux P, Platzbecker U, Mufti GJ, et al. Luspatercept in patients with lower-risk myelodysplastic syndromes. N Engl J Med. 382(2): 140–151, 2020. doi: 10.1056/NEJMoa1908892
2. Platzbecker U, Della Porta MG, Santini V, et al. Efficacy and safety of luspatercept versus epoetin alfa in erythropoiesis-stimulating agent-naive, transfusion-dependent, lower-risk myelodysplastic syndromes (COMMANDS): interim analysis of a phase 3, open-label, randomised controlled trial. Lancet. 2023;402(10399):373-385. doi:10.1016/S0140-6736(23)00874-7
Pontos-chave
As anemias sideroblásticas pode ser adquiridas ou congênitas.
Sideroblastos em anel na biópsia da medula óssea são patognomônicos.
A anemia geralmente é microcítica na anemia sideroblástica congênita e macrocítica na anemia sideroblástica adquirida.
Os níveis séricos de ferro, ferritina e transferrina encontram-se tipicamente aumentados.
Tratar a doença subjacente e considerar piridoxina nos casos congênitos ou eritropoietina recombinante nos casos adquiridos.
Considerar luspatercepte para pacientes de baixo risco dependentes de transfusão com síndrome mielodisplásica.



