Pulmonary air-leak syndromes involve dissection of air out of the normal pulmonary airspaces. Syndromes include pneumothorax, pneumomediastinum, pulmonary interstitial emphysema, pneumopericardium, and pneumoperitoneum.
(See also Overview of Perinatal Respiratory Disorders.)
Air-leak syndromes include:
Pneumoperitoneum or subcutaneous emphysema (rare)
Asymptomatic pneumothorax may be present in up to 10% of term and late preterm neonates (1), probably because large negative intrathoracic forces created when neonates start breathing occasionally disrupt alveolar epithelium, which allows air to move from the alveoli into extra-alveolar soft tissues or spaces. Clinically significant pneumothorax is much rarer, however, occurring in approximately 0.02% of term infants (2).
Air leak is more common and severe among neonates with lung disease and among extremely premature infants. These infants are at risk because of poor lung compliance and the need for high airway pressures with ventilatory support (eg, in respiratory distress syndrome) or because of air trapping (eg, meconium aspiration syndrome), which leads to alveolar overdistention. In one study of extremely preterm infants < 28 weeks gestational age, 9.4% had a severe air leak syndrome; the mortality rate of this group was 55%, whereas the mortality rate of the control group was 35% (3).
Diagnosis of air-leak syndromes is suspected clinically or because of deterioration in oxygen status and is confirmed by radiograph.
Treatment of air-leak syndromes varies by type of air leak but in ventilated infants always involves lowering inspiratory pressures to the lowest tolerated settings. High-frequency ventilators may be helpful but are not proved to benefit all types of air leak syndromes.
General references
1. Montero Gato J, Sacristán PA, Vázquez NL, Martín MLH, Amorós AG, Fernández LR. Incidence of ultrasonographic signs of pneumothorax in asymptomatic neonates. Pediatr Pulmonol. 2023;58(6):1691-1696. doi:10.1002/ppul.26378
2. Acun C, Nusairat L, Kadri A, et al. Pneumothorax prevalence and mortality per gestational age in the newborn. Pediatr Pulmonol. 2021;56(8):2583-2588. doi:10.1002/ppul.25454
3. Oh SH, Jin HS, Park CH. Risk factors and neonatal outcomes of pulmonary air leak syndrome in extremely preterm infants: A nationwide descriptive cohort study. Medicine (Baltimore). 2023;102(34):e34759. doi:10.1097/MD.0000000000034759
Pneumothorax
Pneumothorax is dissection of air into the pleural space; sufficient accumulation of air causes tension pneumothorax.
In extremely preterm infants (< 28 weeks gestational age), prolonged premature rupture of membranes, oligohydramnios, need for resuscitation, perinatal depression, multiple doses of surfactant, persistent pulmonary hypertension, and pulmonary hemorrhage are associated with a higher risk of pneumothorax (2).
Although sometimes asymptomatic, pneumothorax typically causes worsening of tachypnea, grunting, and cyanosis. Breath sounds decrease, and the chest enlarges on the affected side. Tension pneumothorax causes cardiovascular collapse.
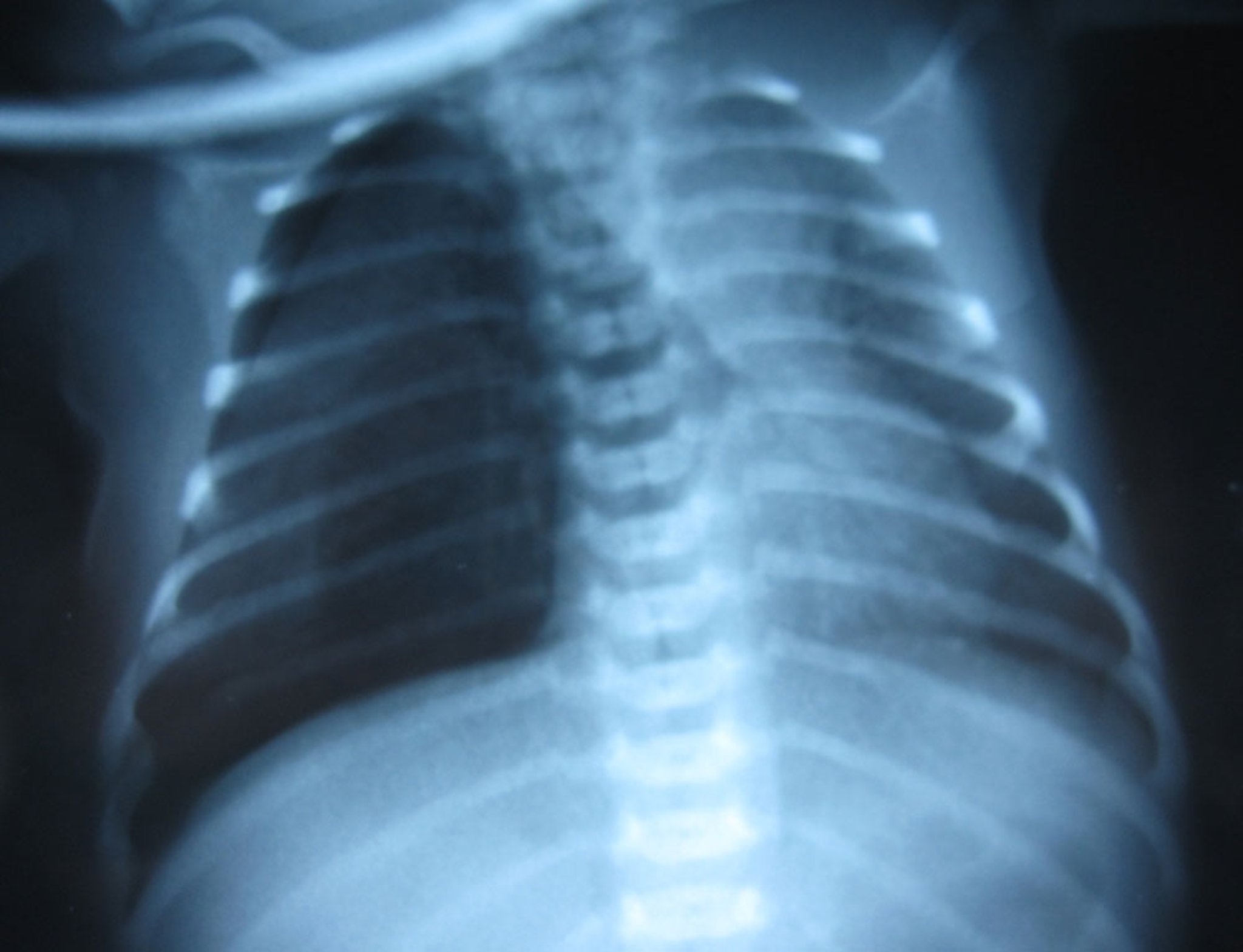
This image shows right-sided tension pneumothorax in a neonate, with visible lung edge and very few pulmonary vascular markings on the right. Tension pneumothorax is a clinical rather than a radiologic diagnosis, but in this image the significant mediastinal shift to the left is highly suggestive of tension pneumothorax.
Image courtesy of Arcangela Balest, MD.
Diagnosis of pneumothorax is suspected by deterioration of respiratory status, by transillumination of the chest with a fiberoptic probe, or both. (Transillumination is often not helpful in larger infants.) Diagnosis is confirmed by chest radiograph or, in the case of tension pneumothorax, return of air during thoracentesis. Rapid respiratory or hemodynamic deterioration with absent unilateral breath sounds strongly suggests tension pneumothorax—a clinical diagnosis that should be treated promptly without waiting for radiologic confirmation.
In one study, approximately 16% of term and late preterm neonates with spontaneous pneumothorax developed persistent pulmonary hypertension (1). This complication illustrates the importance of close monitoring of these patients.
After placement of a pigtail chest tube, the right lung in this image has re-expanded, with lung markings clearly visible.
The pulmonary edema is due to congenital heart disease (total anomalous pulmonary venous return) and is not directly related to the pneumothorax.
Image courtesy of Arcangela Balest, MD.
Most small pneumothoraces resolve spontaneously, but larger and tension pneumothoraces require evacuation of the air in the pleural cavity. In tension pneumothorax, a small (23- or 25-gauge) needle or an angiocatheter (18- or 20-gauge) and syringe can be used to temporarily evacuate free air from the pleural space. Evacuation should be performed without waiting for radiologic confirmation if the clinical diagnosis of tension pneumothorax is made in the setting of rapid decompensation/deterioration. Definitive treatment is insertion of a chest tube attached to low intermittent suction. Follow-up auscultation, transillumination, and radiograph confirm that the tube is functioning properly. Once resolution of the free air is noted on radiograph and no bubbling is seen in the chest tube canister (indicating that no air is coming from the patient), the chest tube may be clamped. If there is no accumulation of air in the pleural space on radiograph and the patient remains stable, the chest tube is removed. A dressing is placed over the chest tube entry site. No further follow up is needed in most patients. A bronchopleural fistula may develop after chest tube removal.
In a multicenter study, approximately 40% of neonates with pneumothorax were managed conservatively, whereas approximately 60% required chest tube or needle aspiration (3).
Pneumothorax references
1. Smith J, Schumacher RE, Donn SM, Sarkar S: Clinical course of symptomatic spontaneous pneumothorax in term and late preterm newborns: Report from a large cohort. Am J Perinatol 28(2):163–168, 2011. doi: 10.1055/s-0030-1263300
2. Oh SH, Jin HS, Park CH. Risk factors and neonatal outcomes of pulmonary air leak syndrome in extremely preterm infants: A nationwide descriptive cohort study. Medicine (Baltimore). 2023;102(34):e34759. doi:10.1097/MD.0000000000034759
3. Baudat-Nguyen J, Schneider J, Roth-Kleiner M, et al. Incidence and Management of Neonatal Pneumothorax in a 10-Hospital Regional Perinatal Network in Switzerland: A Retrospective Observational Study. Am J Perinatol. 2024;41(S 01):e3305-e3312. doi:10.1055/s-0043-1777861
Pneumomediastinum
Pneumomediastinum is dissection of air into connective tissue of the mediastinum (see also Viral Pleuritis); the air may further dissect into the subcutaneous tissues of the neck and scalp.
Pneumomediastinum usually causes no symptoms or signs, but subcutaneous air causes crepitus.
Diagnosis of pneumomediastinum is by radiograph. In an anteroposterior view, air may form a lucency around the heart and lifts the lobes of the thymus away from the cardiac silhouette (spinnaker sail sign—so-called because it has the appearance of a boat sail).
No treatment of pneumomediastinum is usually needed, and the condition resolves spontaneously.
Pulmonary Interstitial Emphysema (PIE)
PIE is leakage of air from alveoli into the pulmonary interstitium, lymphatics, or subpleural space. It usually occurs in infants with poor lung compliance, such as those with respiratory distress syndrome who are being treated with mechanical ventilation, but it may occur spontaneously. One or both lungs may be involved, and pathology may be focal or generalized within each lung. If dissection of air is widespread, respiratory status may acutely worsen because lung compliance is suddenly reduced.
Chest radiograph shows a variable number of cystic or linear lucencies in the lung fields. Some lucencies are elongated; others appear as enlarged subpleural cysts ranging from a few millimeters to several centimeters in diameter. In some cases, air leaks into the subcutaneous tissues as well, producing crepitus on examination.
PIE may resolve dramatically over 1 or 2 days or persist on radiographs for weeks. Some infants with severe respiratory disease and PIE develop bronchopulmonary dysplasia (BPD), and the cystic changes of long-standing PIE then merge into the radiographic picture of BPD.
Treatment of PIE is mainly supportive. High-frequency jet ventilation shows benefit over conventional ventilation (1). Lowering tidal volume and airway pressure by switching to a high-frequency oscillatory ventilator may also help. Regardless of the ventilatory modality, reduction of further barotrauma is the goal.
If one lung is significantly more involved than the other, the infant may be placed in a lateral decubitus position with the more severely affected lung down; this helps compress the more diseased lung, decreasing air leakage and perhaps improving ventilation of the elevated (healthier) lung.
If one lung is very severely affected and the other is mildly affected or uninvolved, differential bronchial intubation and ventilation of the less-involved lung also may be attempted. However, it can be technically challenging to selectively intubate the left main bronchus; total atelectasis of the nonintubated lung soon results. Because only one lung is now being ventilated, ventilator settings and fraction of inspired oxygen (FIO2) may need to be altered. After 24 to 48 hours, the endotracheal tube is pulled back into the trachea, at which time the air leak may have stopped.
PIE reference
1. Keszler M, Donn SM, Bucciarelli RL, et al. Multicenter controlled trial comparing high-frequency jet ventilation and conventional mechanical ventilation in newborn infants with pulmonary interstitial emphysema. J Pediatr. 1991;119(1 Pt 1):85-93. doi:10.1016/s0022-3476(05)81046-7
Pneumopericardium
Pneumopericardium is dissection of air into the pericardial sac. It affects mechanically ventilated infants almost exclusively.
Most cases are asymptomatic, but if sufficient air accumulates, it can cause cardiac tamponade.
Diagnosis of pneumopericardium is suspected if infants have acute circulatory collapse and is confirmed by lucency around the heart on radiograph or by return of air on pericardiocentesis using an angiocatheter and syringe.
Treatment of clinically significant pneumopericardium is pericardiocentesis followed by surgical insertion of a pericardial tube.
Pneumoperitoneum
Pneumoperitoneum is dissection of air into the peritoneum. It is generally not clinically significant but must be distinguished from pneumoperitoneum due to a ruptured abdominal viscus or necrotizing enterocolitis, which is a surgical emergency.
Diagnosis of pneumoperitoneum is made by abdominal radiograph and physical examination. Clinical symptoms that include abdominal rigidity, absent bowel sounds, and signs of sepsis suggest abdominal viscus injury.



