honeypot link
skip to main content
Professional
Consumer
MSD Manual
Professional Version
MEDICAL TOPICS
RESOURCES
COMMENTARY
PROCEDURES
QUIZZES
ABOUT US
MEDICAL TOPICS
RESOURCES
<
Images
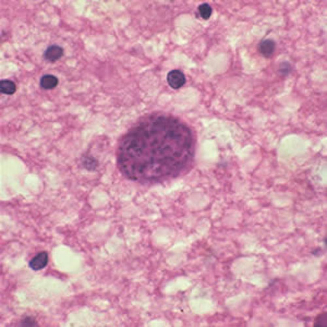
Toxoplasma gondii
Cyst in Brain Tissue
This image shows a
T. gondii
cyst in brain tissue stained with hematoxylin and eosin.
CDC/DPDx
In these topics
Toxoplasmosis
>