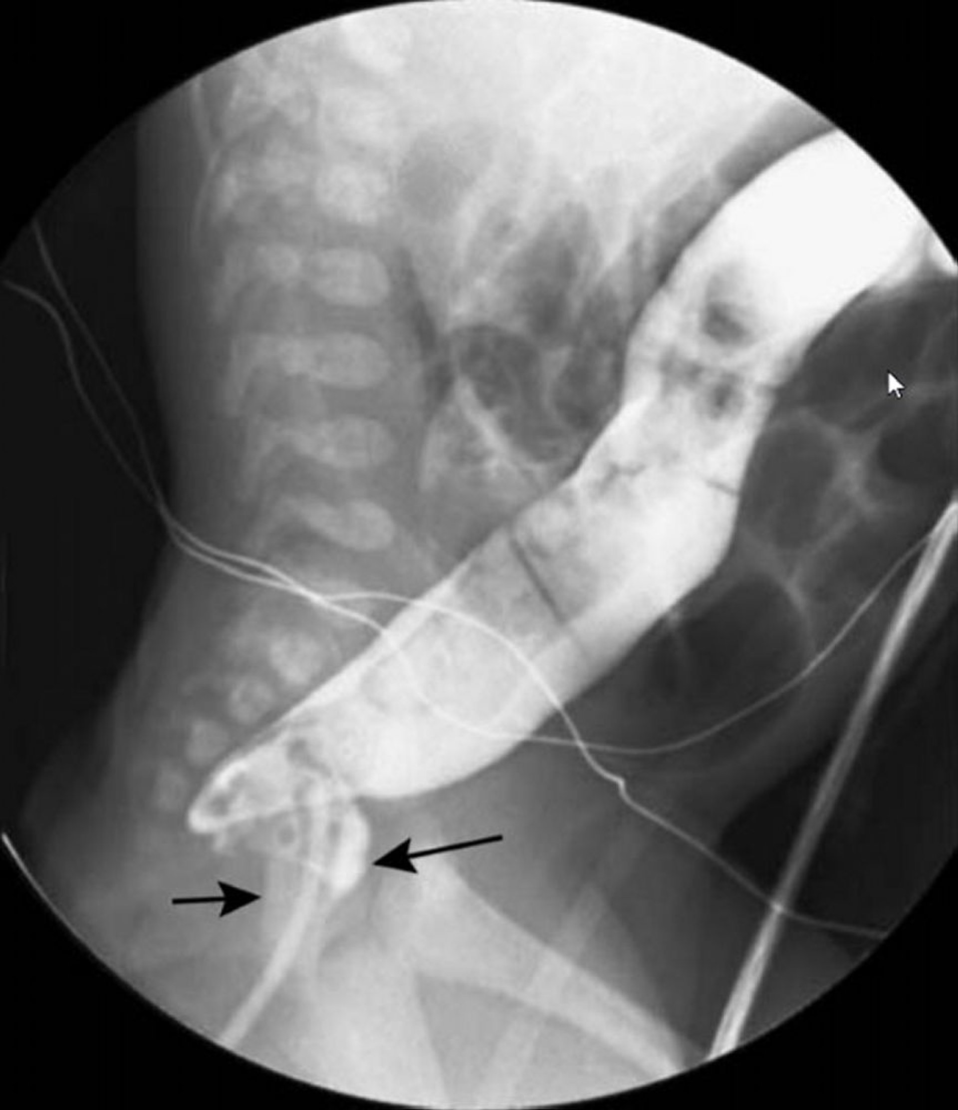
Single-Contrast Barium Enema Showing Swan Neck Appearance of Hirschsprung Disease
In this image, barium enema shows a narrowed rectum (black arrows) and a dilated colon (white arrow) more proximally.
© Springer Science+Business Media
In these topics
In this image, barium enema shows a narrowed rectum (black arrows) and a dilated colon (white arrow) more proximally.
© Springer Science+Business Media