Right Pleural Effusion (CT Scan)
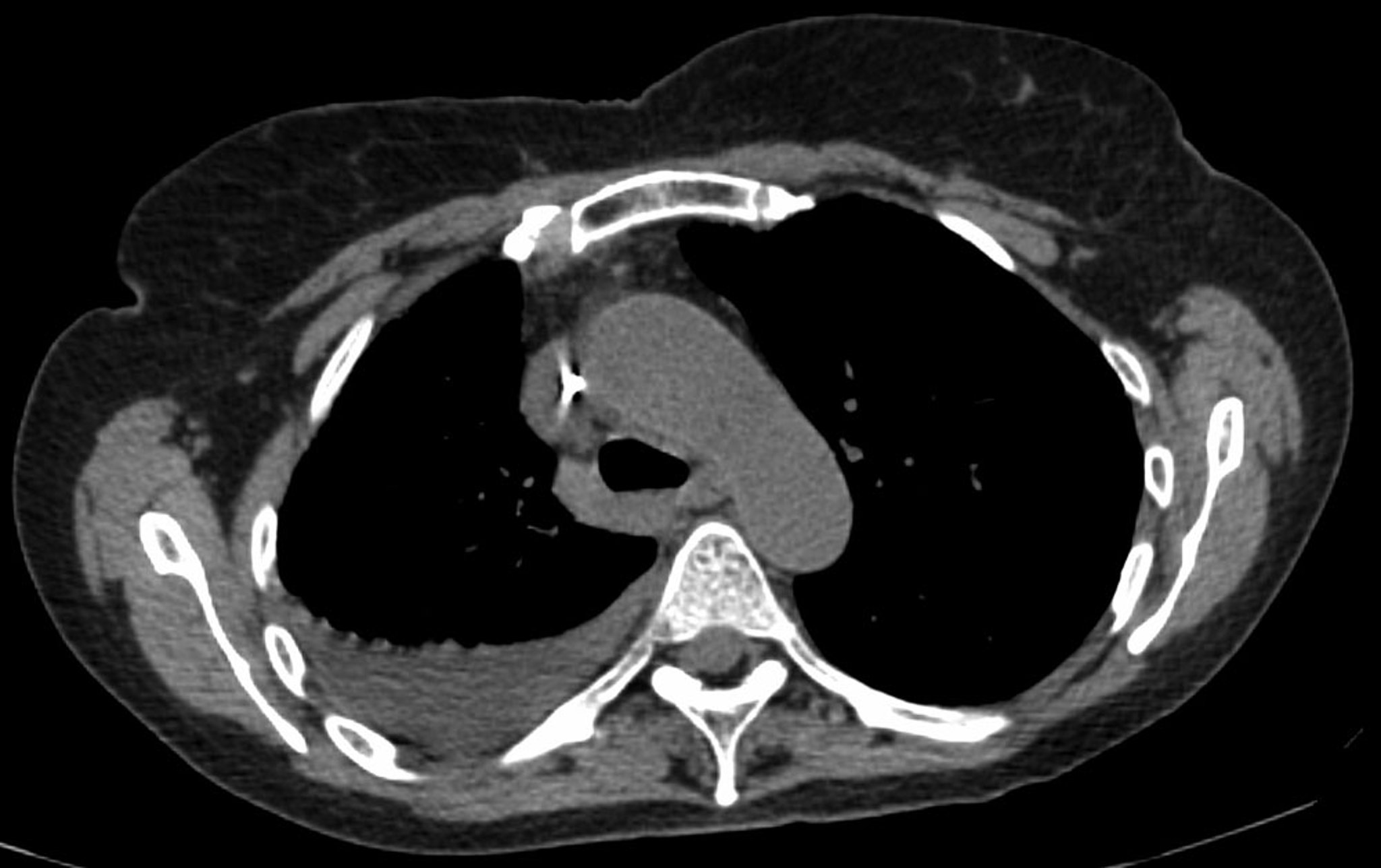
This image of an axial noncontrast enhanced CT scan of the chest reveals a small- to moderate-sized right pleural effusion in a female patient with breast cancer. (Mediastinal CT scan windows)
Steven Needell/SCIENCE PHOTO LIBRARY
In these topics
