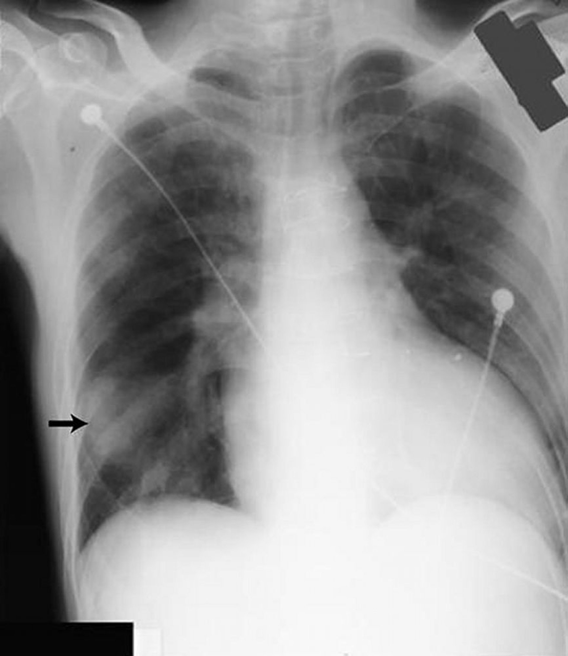
Pulmonary Pseudotumor
Opacity in the right lower lung field (arrow) resembles a solid mass but was caused by fluid in the major fissure in a patient with heart failure.
By permission of the publisher. From Huggins J, Sahn S. In Bone's Atlas of Pulmonary and Critical Care Medicine. Edited by J Crapo. Philadelphia, Current Medicine, 2005.
In these topics
