Progressive Supranuclear Palsy (MRI)
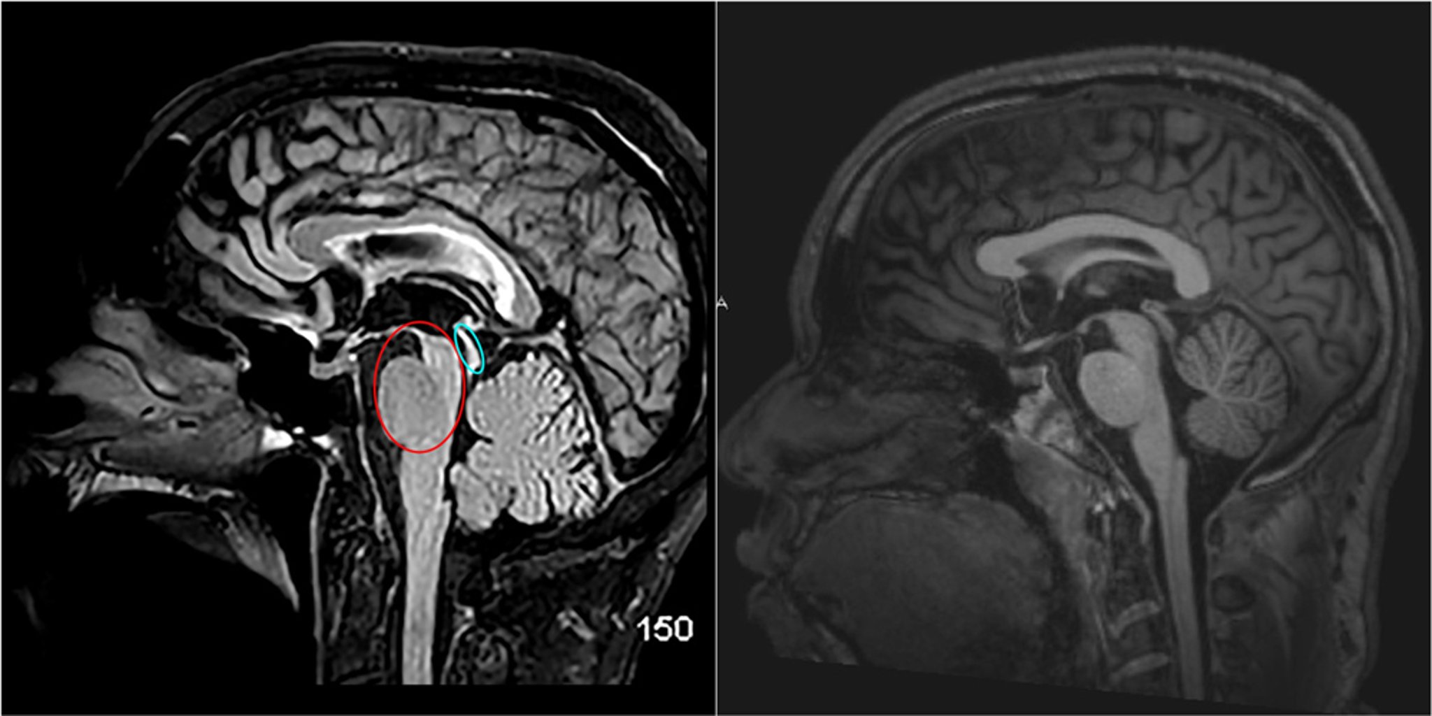
This sagittal T2-FLAIR (fluid-attenuating inversion recovery) MRI scan (left) shows typical findings in progressive supranuclear palsy (one of the Parkinson plus syndromes) with prominent midbrain atrophy, resulting in the hummingbird sign (red circle), in addition to atrophy of the upper tectal plate (blue circle).
A normal sagittal MRI scan of the brain is shown for comparison (right).
Left image: Living Art Enterprises/SCIENCE PHOTO LIBRARY
Right image: © 2017 Elliot K. Fishman, MD.
In these topics
