Polymicrogyria with Septo-Optic Dysplasia
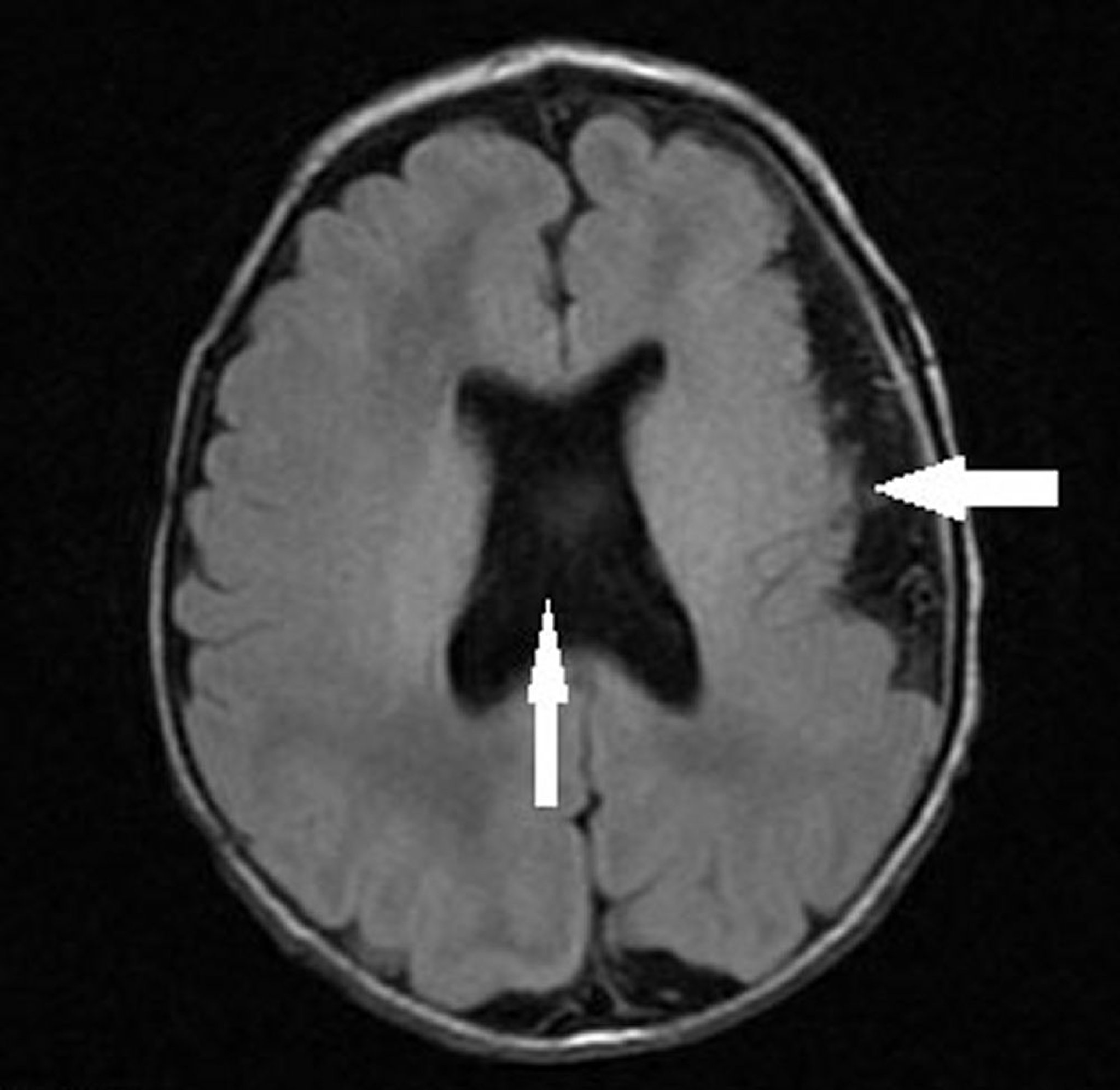
This image shows an infant with left hemispheric polymicrogyria (leftward arrow) and absent septum pellucidum with abnormal ventricular configuration (vertical arrow) consistent with septo-optic dysplasia (optic nerve hypoplasia, absent or abnormal septum pellucidum, and pituitary hypoplasia).
Image courtesy of Stephen J. Falchek, MD.
In these topics
