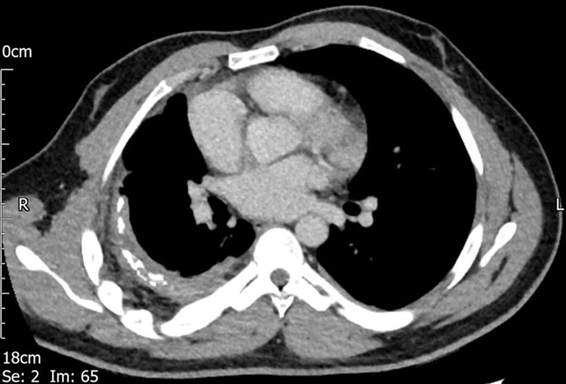
Pleural Thickening
Pleural thickening is seen on the right in this CT scan.
Image courtesy of Najib M. Rahman, BMBCh MA (oxon) DPhil.
In these topics
Pleural thickening is seen on the right in this CT scan.
Image courtesy of Najib M. Rahman, BMBCh MA (oxon) DPhil.