Myonecrosis (Gangrene) of the Foot (Radiograph)
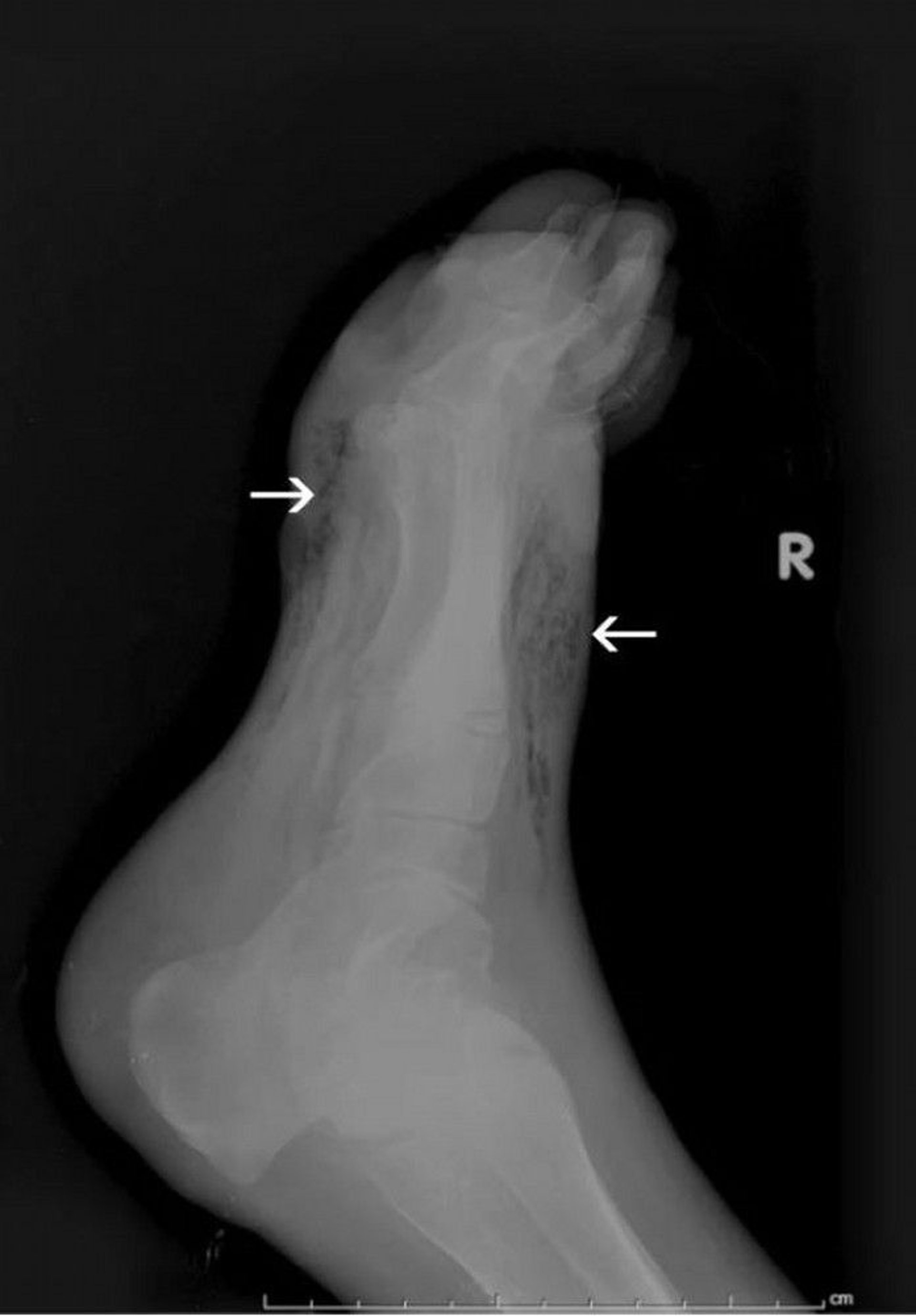
This radiograph shows gas in the soft tissue of the foot (arrows).
© Springer Science+Business Media
In these topics
This radiograph shows gas in the soft tissue of the foot (arrows).
© Springer Science+Business Media