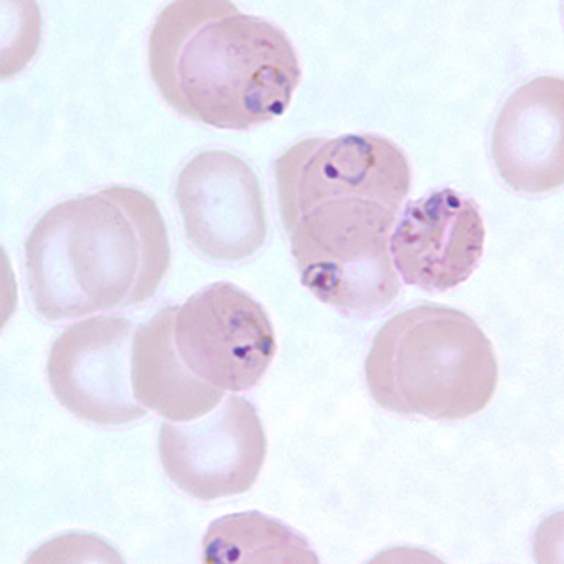
Maurer Clefts in P. falciparum
This image shows ring-form trophozoites of P. falciparum in a thin blood smear, exhibiting Maurer clefts.
CDC/DPDx
In these topics
This image shows ring-form trophozoites of P. falciparum in a thin blood smear, exhibiting Maurer clefts.
CDC/DPDx