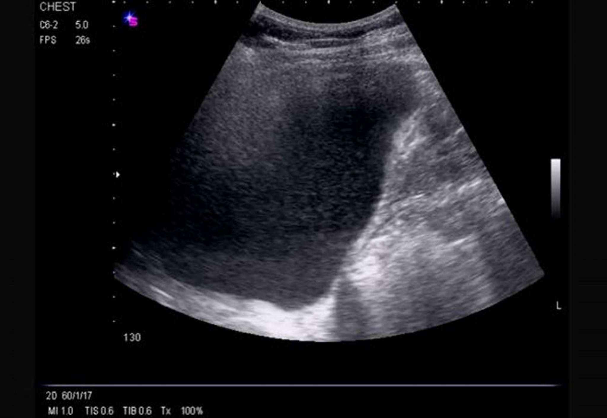
Lateral Thoracic Ultrasound (Right)
This ultrasound shows a massive, right-sided, free-flowing effusion causing inversion of the hemidiaphragm and demonstrating echogenicity.
Image courtesy of Najib M. Rahman, BMBCh MA (oxon) DPhil.
In these topics
This ultrasound shows a massive, right-sided, free-flowing effusion causing inversion of the hemidiaphragm and demonstrating echogenicity.
Image courtesy of Najib M. Rahman, BMBCh MA (oxon) DPhil.