Lateral Thoracic Ultrasound (Left)
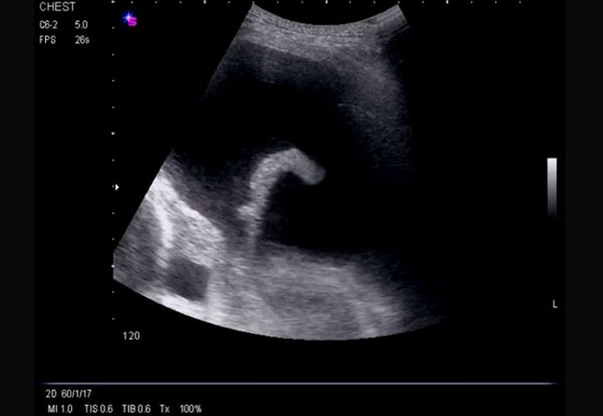
This ultrasound shows a large, left-sided, free-flowing effusion causing compressive left lower lobe atelectasis and revealing the left ventricle.
Image courtesy of Najib M. Rahman, BMBCh MA (oxon) DPhil.
In these topics
