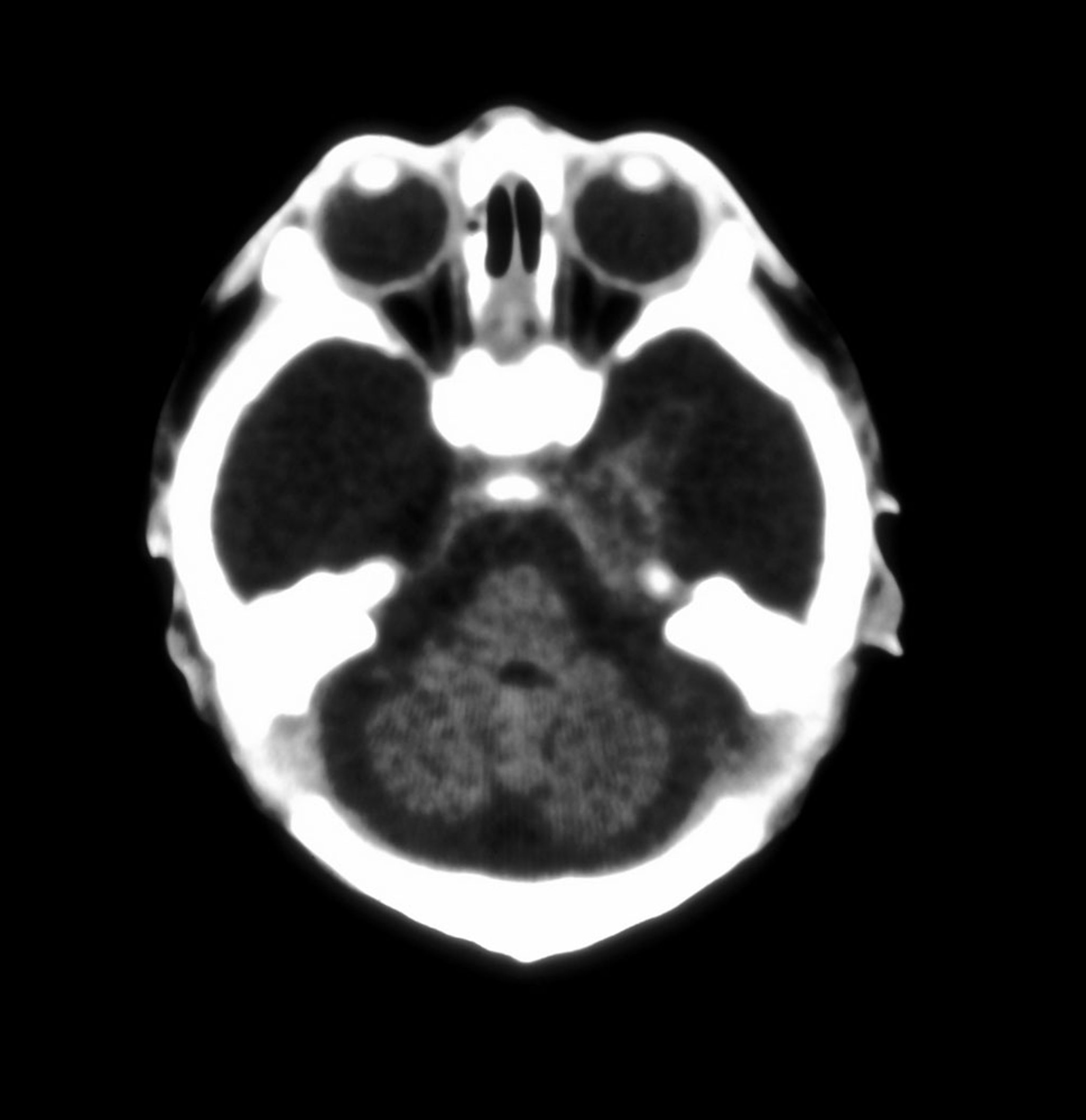
Hydranencephaly
This axial CT image of the brain in a neonate shows almost total absence of the cerebral hemispheres.
LIVING ART ENTERPRISES, LLC/SCIENCE PHOTO LIBRARY
In these topics
This axial CT image of the brain in a neonate shows almost total absence of the cerebral hemispheres.
LIVING ART ENTERPRISES, LLC/SCIENCE PHOTO LIBRARY