Porencephaly is a congenital neurologic anomaly with a cavity that develops prenatally or postnatally in a cerebral hemisphere.
Cavities often communicate with a ventricle, but they may also be enclosed (ie, noncommunicating), fluid-filled cysts. Increased intracranial pressure and progressive hydrocephalus can occur with porencephaly, especially with noncommunicating forms, but is uncommon.
Causes of porencephaly include:
Genetic abnormalities
Inflammatory diseases
Disorders that interrupt regional cerebral blood flow (eg, intraventricular hemorrhage with parenchymal extension)
Neurologic examination is usually abnormal, with manifestations including either low or increased muscle tone, developmental delays, hemiparesis, or impairment of visual attention. However, a few children develop only minor neurologic signs and have normal intelligence.
Diagnosis of porencephaly is confirmed by cranial CT, MRI, or ultrasound.
Treatment of porencephaly is supportive.
Prognosis is variable.
Hydranencephaly
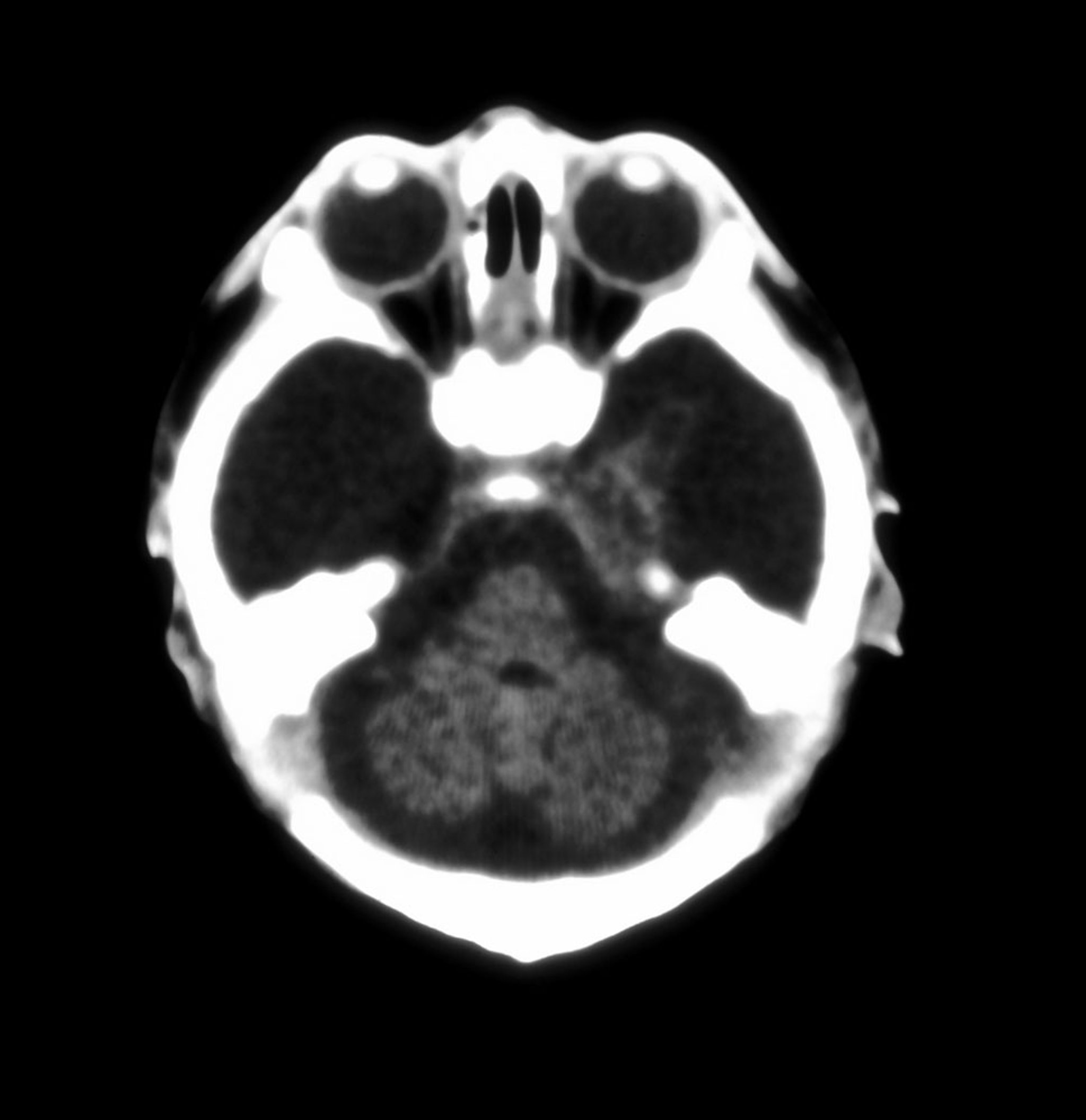
Hydranencephaly is an extreme form of porencephaly in which the cerebral hemispheres are almost totally absent. Usually, the cerebellum and brain stem are formed normally, and the basal ganglia are intact. The meninges, bones, and skin over the cranial vault are normal.
In hydranencephaly, cyst formation usually is caused by massive interruption of the blood supply to the developing hemispheres after the 12th week of pregnancy. The blood supply is interrupted by bilateral large-vessel strokes in utero. The skull of an affected infant does not have a defect in this case, and externally the infant may appear normal. The infant may be capable of normal infantile reflex movements, such as sucking and grasp, but does not progress further developmentally.
This axial CT image of the brain in a neonate shows almost total absence of the cerebral hemispheres.
LIVING ART ENTERPRISES, LLC/SCIENCE PHOTO LIBRARY
Neurologic examination is usually abnormal; children often have seizures and profound intellectual disability. At best, people with true hydranencephaly are able to sustain vital functions, such as respiration, and are able to react to painful stimulation, but their ability to interact with others or tend to personal needs is severely limited. Although the head may appear normal, when transilluminated, light shines completely through.
Often hydranencephaly is diagnosed by prenatal ultrasound. CT or ultrasonography confirms the diagnosis.
Treatment of hydranencephaly is supportive, with shunting if head growth is excessive.
Schizencephaly
Schizencephaly, which some experts classify as a form of porencephaly, involves the presence of abnormal slits, or clefts, in the cerebral hemispheres. These clefts extend from the cortical surface to the ventricles and, unlike in other porencephalies, are lined with heterotopic gray matter. This gray matter is usually consistent with polymicrogyria, ie, there are miniature folds and abnormal lamination, resembling abnormally formed gyri. If the walls of the cleft are tightly opposed, so that MRI does not show a clear channel of cerebrospinal fluid (CSF) from the ventricle to the subarachnoid space, the defect is called closed-lip schizencephaly. If a CSF channel is visible, the defect is called open-lip schizencephaly. Open-lip schizencephaly may lead to hydrocephalus.
Schizencephaly can be caused by significant focal injury, such as ischemia, causing extensive regional loss of neuronal and glial precursors, or by genetic factors that occur between months 2 and 5 of gestation.
Affected infants often have developmental delay and, depending on the location of the defect, may have focal neurologic findings such as hemiparetic weakness or spasticity. Seizures are common in both types of schizencephaly.
Treatment of schizencephaly is supportive.



