Double-Bubble Effect (Ultrasound)
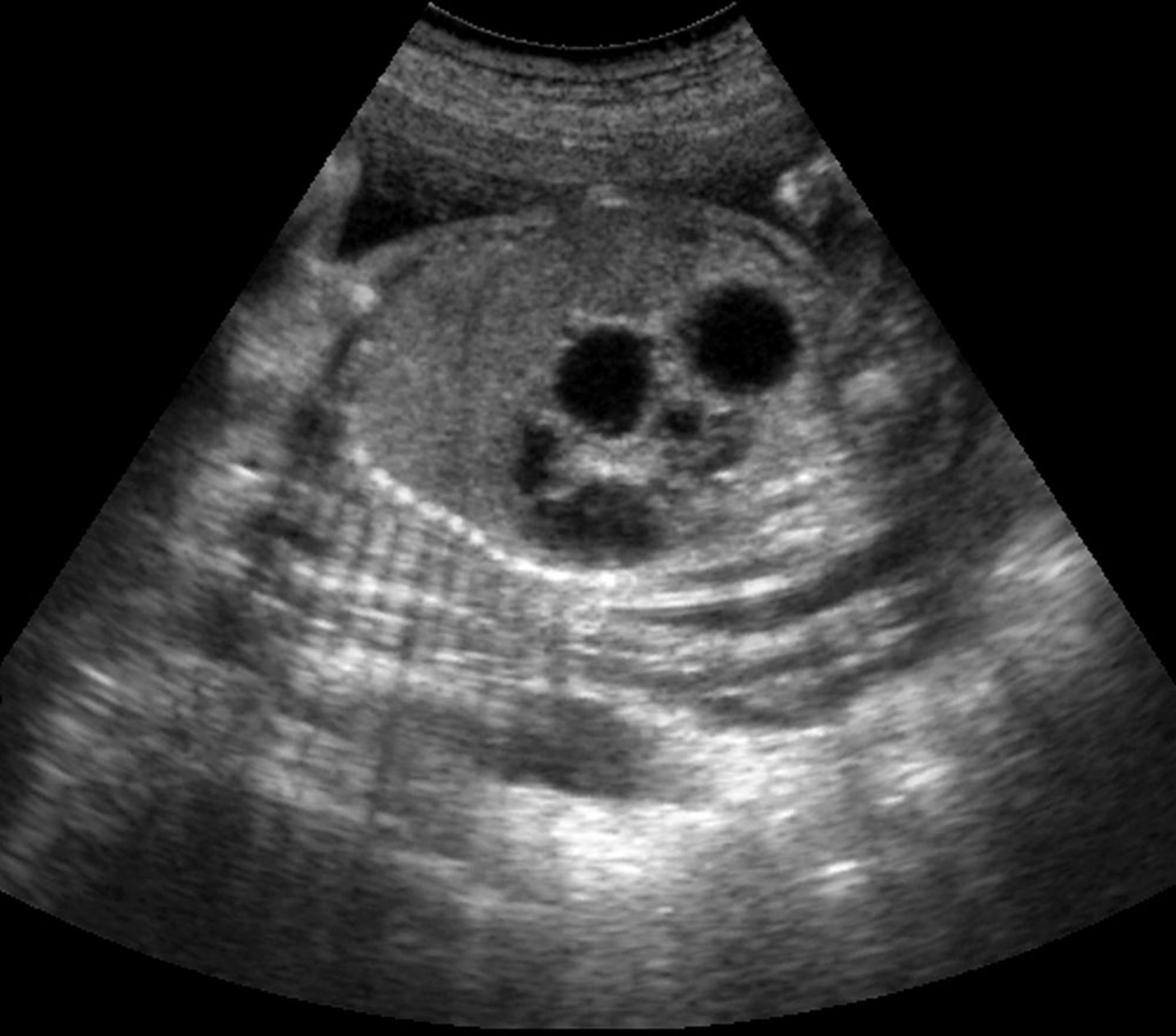
This ultrasound shows the double-bubble sign in a fetus with duodenal atresia.
DR NAJEEB LAYYOUS/SCIENCE PHOTO LIBRARY
In these topics
This ultrasound shows the double-bubble sign in a fetus with duodenal atresia.
DR NAJEEB LAYYOUS/SCIENCE PHOTO LIBRARY