The duodenum can be obstructed by atresia, stenosis, and pressure due to an extrinsic mass. Duodenal atresia and other causes of duodenal obstruction are often associated with Down syndrome. Diagnosis is with imaging tests. Treatment is surgical repair.
(See also Overview of Congenital Gastrointestinal Anomalies.)
Duodenal atresia
Duodenal atresia is the second most common atresia of the gastrointestinal (GI) tract. The estimated incidence is 1 in 10,000 live births (1). Duodenal atresia is due to the failure of canalization of the embryonic duodenum. This failure may be related to an ischemic event or genetic factors.
Duodenal atresia, unlike other intestinal atresias, is commonly associated with other congenital anomalies; approximately 25 to 40% of infants with duodenal atresia have Down syndrome (1). Other associated anomalies include VACTERL (vertebral anomalies, anal atresia, cardiac malformations, tracheoesophageal fistula, esophageal atresia, renal anomalies and radial aplasia, and limb anomalies), malrotation, annular pancreas, biliary tract anomalies, and mandibulofacial anomalies.
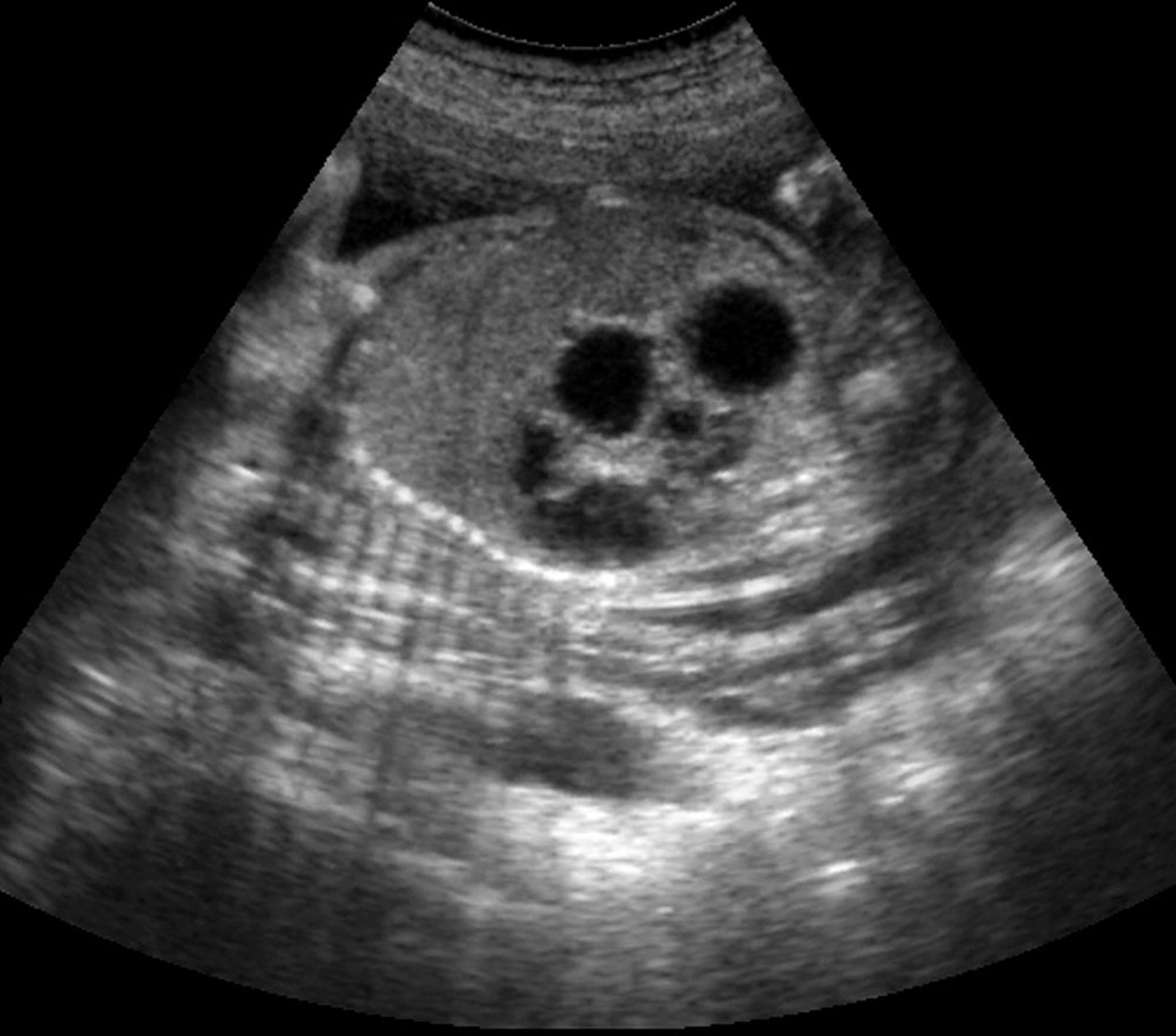
Diagnosis of duodenal atresia is suspected prenatally if there is polyhydramnios and/or a dilated stomach. Prenatal ultrasound can detect a double-bubble sign (a large gastric bubble and a smaller proximal duodenal bubble) in up to 80% of cases (2).
This ultrasound shows the double-bubble sign in a fetus with duodenal atresia.
DR NAJEEB LAYYOUS/SCIENCE PHOTO LIBRARY
This radiograph shows the typical double-bubble sign seen with complete duodenal obstruction. The smaller bubble represents the proximal, dilated duodenum (white arrow); the larger bubble represents the stomach (black arrow). This sign can be seen with duodenal atresia, duodenal web, annular pancreas, and preduodenal portal vein. Rarely, it can also be seen with complete duodenal obstruction resulting from Ladd bands in a patient with malrotation.
Postnatally, infants with duodenal atresia present with feeding difficulties and emesis that may be bilious. The diagnosis is suspected by symptoms and classic double-bubble radiograph findings that show one bubble is in the stomach and the other is in the proximal duodenum and that little to no air is in the distal gut. Although an upper GI series provides definitive diagnosis, it must be performed carefully by a radiologist experienced with doing this procedure on children to avoid aspiration and is not typically necessary if surgery is to be performed immediately. If surgery is to be delayed (eg, because of other medical issues, such as respiratory distress syndrome or the need to stabilize the infant), a contrast enema should be performed to confirm that the double-bubble sign is not due to malrotation.
Once the disorder is suspected, infants should receive nothing by mouth, and a nasogastric tube should be placed to decompress the stomach.
Surgery is the definitive therapy.
Duodenal stenosis
This anomaly occurs less commonly than duodenal atresia but presents in a similar fashion and requires surgery. It too is frequently associated with Down syndrome.
Choledochal cyst
A choledochal cyst may obstruct the duodenum by extrinsic pressure. The incidence ranges from approximately 1 in 100,000 people in the United States or Europe to 1 in 13,000 in Japan (3). Over half of reported cases occur in Japan. There is some evidence that the incidence of choledochal cysts is increasing (4).
Infants with choledochal cyst classically present with a triad of abdominal pain (a very difficult finding to infer in the neonate), right upper quadrant mass, and jaundice. If the cyst is large, it may also present with variable degrees of duodenal obstruction. Neonates can present with cholestasis. In some infants, pancreatitis is an associated finding.
Choledochal cyst is most commonly diagnosed by ultrasound. These cysts can be further defined by using magnetic resonance cholangiopancreatography, endoscopic retrograde cholangiopancreatography (ERCP), or endoscopic ultrasound.
Treatment of choledochal cyst is surgical and requires complete excision of the cyst because of the high risk (7 to 30%) of developing cancer in the cyst remnants (5, 6). The surgical procedure most commonly used is a Roux-en-Y hepaticojejunostomy. This procedure is typically performed laparoscopically. Some recent studies have noted that the outcome may be enhanced with robotic-assisted surgery. Cancer risk is reduced but not eliminated with complete resection (7).
Annular pancreas
Annular pancreas is a rare congenital anomaly (5 to 15/100,000 live births) (8) and is often associated with Down syndrome. In this anomaly, pancreatic tissue encircles the second portion of the duodenum, causing a duodenal obstruction.
About two-thirds of affected people remain asymptomatic. Of those who develop symptoms, most present in the neonatal period, but clinical presentation may be delayed until adulthood. Neonates present with feeding problems and emesis that may be bilious.
The diagnosis of annular pancreas can be suggested by a radiograph of the abdomen showing the same double-bubble sign seen in duodenal atresia. The diagnosis can also be made by an upper GI series and is more definitively made with CT or magnetic resonance cholangiopancreatography. ERCP can be performed in older children.
Treatment of annular pancreas is surgical bypass of the annular pancreas with duodenoduodenostomy, duodenojejunostomy, or gastrojejunostomy. Resection of the pancreas should be avoided because of the potential complications of pancreatitis and pancreatic fistula development.
Malrotation
Duodenal obstruction due to malrotation is rare, forming a portion of infants with "symptomatic" malrotation (1/2500 to 6000) (9).
References
1. Bethell GS, Long AM, Knight M, Hall NJ; BAPS-CASS. Congenital duodenal obstruction in the UK: a population-based study. Arch Dis Child Fetal Neonatal Ed. 2020;105(2):178-183. doi:10.1136/archdischild-2019-317085
2. Engwall-Gill AJ, Zhou AL, Penikis AB, et al. Prenatal sonography in suspected proximal gastrointestinal obstructions: Diagnostic accuracy and neonatal outcomes. J Pediatr Surg. 2023;58(6):1090-1094. doi: 10.1016/j.jpedsurg.2023.02.029
3. Soares KC, Kim Y, Spolverato G, et al. Presentation and clinical outcomes of choledochal cysts in children and adults: a multi-institutional analysis. JAMA Surg. 2015;150(6):577-584. doi:10.1001/jamasurg.2015.0226
4. Ohashi T, Wakai T, Kubota M, et al. Risk of subsequent biliary malignancy in patients undergoing cyst excision for congenital choledochal cysts. J Gastroenterol Hepatol. 2013;28(2):243-247. doi:10.1111/j.1440-1746.2012.07260.x
5. Søreide K, Søreide JA. Bile duct cyst as precursor to biliary tract cancer. Ann Surg Oncol. 2007;14(3):1200-1211. doi:10.1245/s10434-006-9294-3
6. Frenette C, Mendiratta-Lala M, Salgia R, Wong RJ, Sauer BG, Pillai A. ACG Clinical Guideline: Focal Liver Lesions. Am J Gastroenterol. 2024;119(7):1235-1271. doi:10.14309/ajg.0000000000002857
7. Bloomfield GC, Nigam A, Calvo IG, et al. Characteristics and malignancy rates of adult patients diagnosed with choledochal cyst in the West: a systematic review. J Gastrointest Surg. 2024;28(1):77-87. doi:10.1016/j.gassur.2023.11.007
8. Alkhayyat M, Bachour S, Abou Saleh M, et al. The epidemiology of annular pancreas in the United States: a population-based study. J Clin Gastroenterol. 2022;56(2):186-191. doi:10.1097/MCG.0000000000001531
9. Salehi Karlslätt K, Husberg B, Ullberg U, Nordenskjöld A, Wester T. Intestinal Malrotation in Children: Clinical Presentation and Outcomes. Eur J Pediatr Surg. 2024;34(3):228-235. doi:10.1055/s-0043-1764239



