増殖物は口腔内および周囲の結合組織,骨,筋,および神経組織を含むいかなる組織からも発生する可能性がある。最も一般的には増殖物は口唇,舌側面,口底,および軟口蓋にみられる。ある種の増殖物は疼痛または不快感を伴う。増殖物は患者が気づくこともあれば,診察時に発見されることもある。
(歯科症状を有する患者の評価,口腔扁平上皮癌,中咽頭扁平上皮癌,およびカンジダ症[粘膜皮膚]も参照のこと。)
口腔内増殖物の病因
口腔内増殖物は以下の場合がある:
良性
前がん性(異形成)
悪性
良性の口腔内増殖物
大半の口腔内増殖物は良性であり,様々な種類がある。
この写真には,慢性刺激により生じた口腔内増殖物が写っている。この症例では,矯正装置(ブレース)が擦れることで頬内面に線維腫が形成された。
この写真には,慢性刺激により生じた口腔内増殖物が写っている。この症例では,矯正装置(ブレース)が擦れることで頬内面に線維腫が形成された。
DR P. MARAZZI/SCIENCE PHOTO LIBRARY
この症例の口腔扁平上皮乳頭腫は,通常の疣贅(尋常性疣贅)であり,舌表面に円形で皮膚常色の隆起性病変を認める。
この症例の口腔扁平上皮乳頭腫は,通常の疣贅(尋常性疣贅)であり,舌表面に円形で皮膚常色の隆起性病変を認める。
DR P. MARAZZI/SCIENCE PHOTO LIBRARY
この写真には,舌下面に有茎性の乳頭腫(外方増殖性,カリフラワー状)として現れた疣贅が写っている。HPVが原因の可能性がある。
この写真には,舌下面に有茎性の乳頭腫(外方増殖性,カリフラワー状)として現れた疣贅が写っている。HPVが原因の可能性がある。
CLINICA CLAROS/SCIENCE PHOTO LIBRARY
乳白色の斑が口腔内にみられ,擦り取ると出血することがある。この所見は,カンジダ(Candida)の感染によって引き起こされる鵞口瘡に典型的なものである。
乳白色の斑が口腔内にみられ,擦り取ると出血することがある。この所見は,カンジダ(Candida)の感染によって引き起こされる鵞口瘡に典型的なものである。
Image provided by Thomas Habif, MD.
この写真には,口腔内に生じたガマ腫(中央)の拡大像が写っている。ガマ腫は口底に生じる粘液嚢胞である(一般的に口腔内の他の部位に生じる粘液嚢胞よりも大きい)。ガマ腫でみられるムチンの産生源は,通常は舌下腺(ときに顎下腺管)である。
この写真には,口腔内に生じたガマ腫(中央)の拡大像が写っている。ガマ腫は口底に生じる粘液嚢胞である(一般的に口腔内の他の部位に生じる粘液嚢胞よりも大きい)。ガマ腫でみられるムチンの産生源は,通常は舌下腺(ときに顎下腺管)である。
CLINICA CLAROS/SCIENCE PHOTO LIBRARY
口蓋隆起は硬口蓋正中線に沿って生じる硬い骨性の一般的な腫瘤である(ここにみられるように,しばしば両側性に生じる)。
口蓋隆起は硬口蓋正中線に沿って生じる硬い骨性の一般的な腫瘤である(ここにみられるように,しばしば両側性に生じる)。
DR P. MARAZZI/SCIENCE PHOTO LIBRARY
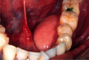
この写真では,下顎舌側面の良性増殖物が患者の口の左側にみられる。
この写真では,下顎舌側面の良性増殖物が患者の口の左側にみられる。
© Springer Science+Business Media
この写真には口唇の粘液嚢胞が写っており,これは粘液で満たされて腫脹した嚢で構成される良性の腫瘤である。粘液嚢胞は波動性であることが多いが,触ると硬く感じる場合がある。
この写真には口唇の粘液嚢胞が写っており,これは粘液で満たされて腫脹した嚢で構成される良性の腫瘤である。粘液嚢胞は波動性であることが多いが,触ると硬く感じる場合がある。
DR P. MARAZZI/SCIENCE PHOTO LIBRARY
多形腺腫は最も一般的な口腔内の良性腫瘍である。最も発生頻度の高い部位は口蓋粘膜である。
多形腺腫は最も一般的な口腔内の良性腫瘍である。最も発生頻度の高い部位は口蓋粘膜である。
DR. P.MARAZZI/SCIENCE PHOTO LIBRARY
この患者には,右側に大きな耳下腺腫瘍がある。皮膚の白色丘疹は偶発的な所見であり,イチゴ腫(梅毒トレポネーマ[Treponema pallidum]亜種pertenueが引き起こす慢性の皮膚感染症)によるものである。
この患者には,右側に大きな耳下腺腫瘍がある。皮膚の白色丘疹は偶発的な所見であり,イチゴ腫(梅毒トレポネーマ[Treponema pallidum]亜種pertenueが引き起こす慢性の皮膚感染症)によるものである。
Image courtesy of K. Mae Lennon and Clement Benjamin via the Public Health Image Library of the Centers for Disease Control and Prevention.
慢性的刺激により持続的なしこりまたは隆起が歯肉に生じることがある。刺激による良性増殖物は比較的一般的であり,必要であれば外科手術で除去する。刺激が継続することにより10~40%の人では歯肉上の良性増殖物が再発する。ときにこのような刺激が,特に長期にわたる場合,前がん性または悪性への変化につながることがある。
疣贅が口腔内で発生することがある(口腔扁平上皮乳頭腫)。通常の疣贅(尋常性疣贅)は指に生じたものを吸ったり,噛んだりすることで口腔に感染することがある。ヒトパピローマウイルス感染(HPV)により引き起こされる尖圭コンジローマもまたオーラルセックスを通じて口腔内に生じる。口腔疣贅は自然に消退することもあるが,緩徐に(数カ月または数年かけて)消退する。典型的な治療は,可能であれば完全な外科的切除である。
口腔カンジダ症(鵞口瘡)は,粘膜に強固に付着する白色,チーズ状のプラークとして発症することが多く,プラークは拭き取ると赤色のびらんを残す。鵞口瘡は糖尿病または易感染性患者,および抗菌薬を服用している患者において最も多くみられる。
多くの種類の嚢胞が顎の疼痛や腫脹を引き起こす。嚢胞はしばしば埋伏智歯に関連しており,拡張するにつれ下顎骨の広範囲にわたる部位を破壊する可能性がある。ある種の嚢胞は外科的除去の後,再発する可能性が高い。様々な種類の嚢胞が口底に発生する可能性がある。嚥下の不快感または外見の問題で,多くの場合これらの嚢胞は外科的に切除される。
粘液嚢胞(粘液貯留嚢胞およびガマ腫)は無痛性かつ良性であり,嚢胞性または偽嚢胞性の唾液腺粘液の貯留による口腔内腫脹である。しばしば外傷に起因する。圧倒的に多い病変である粘液嚢胞は,ほとんどの場合,下唇側方の内側に発生し,粘膜下に流出したムチンの存在により,しばしば青みがかった半透明色である。通常これはうっかり(下)唇を噛んだ結果生じ,小唾液腺からの唾液の流れが閉塞されることによって発現する。大半の粘液嚢胞は1,2週間で消失する。ガマ腫は大きく,通常,青みがかった粘液嚢胞であり,口底に生じる。治療は外科的切除である。
骨隆起は円形の骨の突出物であり,硬口蓋の中心線(口蓋隆起)または下顎の舌側(下顎隆起)に発生する。この硬い増殖物は一般的かつ無害である。たとえ大きな増殖物であっても,食事中に傷つける,もしくはその部分を義歯で被覆する必要のある場合を除き,放置してもよい。
ガードナー症候群は,多発性大腸ポリープを伴う消化管の遺伝性疾患である家族性大腸腺腫症の1つである。ガードナー症候群の患者は,特に下顎骨骨体部および下顎角部に骨隆起病変の多発に類似した多発性の口腔内骨腫が発生する頻度が高い。
ケラトアカントーマは,口唇やその他の露光部(顔面,前腕,手など)に形成される増殖物である。ケラトアカントーマは通常1~2カ月以内に直径1~3cm以上の最大の大きさに成長し,数カ月後には縮小しはじめ,最終的には治療せずとも消失することがある。ケラトアカントーマはかつては全て良性と考えられていたが,現在では縮小しないものは悪性度の低いがん性病変とみなす専門家もおり,そのような病変には生検または切除が推奨されている。ケラトアカントーマを扁平上皮癌の初期の亜型であると考えている病理医もいる(1)。
歯牙腫は,歯を形成する細胞が異常増殖したもので,矮小で不正な形の過剰歯のように見える。小児では正常な歯の萌出の妨げとなる可能性がある。成人では正常歯列から歯が押し出されることがある。大きな歯牙腫は,上顎骨または下顎骨の増大を引き起こすこともある。これらは通常外科的に除去する。
唾液腺腫瘍はほとんどの場合,良性で,緩徐に成長し,無痛性である。これらは通常,正常に見える皮下または口腔粘膜下に単一かつ軟性で可動性の腫瘤として発現する。ときに,中空で液体で満たされている場合に硬くなる。最も頻度の高い腫瘍は良性多形性腺腫(混合腫瘍)で,主に40歳以上の女性に生じる。多形性腺腫は悪性になる可能性があり,外科的に除去する。完全に取り除かない限りこの種の腫瘍は再発の可能性が高い。その他の良性腫瘍も外科的に除去するが悪性化または再発する可能性ははるかに低い。
前がん病変
白色,赤色,または赤白色混合部分が容易には拭き取れず,2週間以上持続し,その他の状態と定義づけられないものは異形成である可能性がある。悪性増殖物と同じ危険因子が異形成に関与し,また異形成変化は除去しないと悪性になりうる。
この写真には,舌背の広範囲に分布した白板症が厚い付着物として写っている。
白板症は平坦な斑点で,口腔粘膜が長期にわたって刺激を受けた場合に出現することがある。白板症という用語は,口腔粘膜上の白色病変が他の定義可能な病変とみなせない場合に用いられる。口腔粘膜では通常乏しいはずのケラチン層の肥厚により,刺激を受けた部分は白色を呈する。特発性の口腔白板症としばしば関連がみられる因子としては,タバコ使用,飲酒,ビタミンC,B12,B6,B3の欠乏,内分泌障害などがある。
白板症とは,口腔内に発生する白色の角化局面を総称する用語である。約80%は良性である。しかしながら,この画像では,舌下面にある白板症病変の1つの中に扁平上皮癌が認められる(矢印)。
紅板症は口腔粘膜が薄くなった場合に結果として生じる赤色で平坦な部位を指す。この部分は下層の毛細血管がより鮮明に見えるため,赤く見える。紅板症は白板症に比べ,はるかに不吉な口腔癌の予測因子である。
紅板症とは,口腔内に発生するビロード状の病変で発赤があるもの,平坦なもの,びらんを呈しているものを総称する用語である。この画像では,舌上の外方増殖性の扁平上皮癌の周囲に紅板症がある。
混合病変では白板症と紅板症が混在している部分があり,これもがんの予測因子となりうる。
口腔癌
タバコ使用,飲酒,または両方の習慣がある場合,口腔癌のリスクが非常に高くなる。噛みタバコや嗅ぎタバコを使用している場合は,頬と口唇の内側が一般的な発生部位である。その他では,がんの最好発部位は舌側縁,口底,および中咽頭である。ヒトパピローマウイルス(HPV)感染,特に16型は主に扁桃および舌根部に発生する口腔癌の危険因子であり,これらの部位ではHPV16型がタバコをしのぐ主要原因となっている。口腔内で発見されたがんが肺,乳房,または前立腺からの転移であることはまれである。
口腔癌は多くの異なる外観を示すが典型的には異形成病変と類似している(例,簡単には拭き取れない白色,赤色,または赤白色混合部分)。
参考文献
1.Kwiek B, Schwartz RA: Keratoacanthoma (KA): An update and review.J Am Acad Dermatol 74(6):1220-1233, 2016.doi: 10.1016/j.jaad.2015.11.033
口腔内増殖物の評価
病歴
身体診察
身体診察では,口腔および頸部に焦点を置き,舌下部を含む口腔内全体および咽頭の視診および触診を行う。頸部を触診して,がんまたは慢性の感染を示唆するリンパ節腫脹がないか確認する。
警戒すべき事項(Red Flag)
以下の所見には特に注意が必要である:
体重減少
頸部腫瘤
持続性の咽頭痛
嚥下困難
所見の解釈
最も重要なのは,口腔癌または異形成病変を良性疾患と取り違えないことである。医師は常に強い疑いをもち,病変が数週間で消失しない場合は生検を依頼する。
検査
カンジダ症の疑いは,病変から採取した擦過物より10%水酸化カリウム湿式マウントで酵母および仮性菌糸を検出することで確定できる。その他の急性病変,特に局所の外傷または刺激の関与が考えられるものは観察となることがある。しかし,数週間以上存在している大半の病変,および存在期間が不明である病変は,がんの可能性を臨床的に排除することは難しいため,生検を施行すべきである。
口腔内増殖物の処置/治療
治療は,原因,審美障害および機能障害,疼痛,ならびに診断された増殖物の悪性の可能性によって異なる。
要点
大半の口腔内増殖物は良性である。
疣贅,カンジダ感染,および外傷の繰り返しは良性増殖物の一般的な原因である。
飲酒とタバコ使用および口腔のHPV感染は,がんの危険因子である。
がんは視診では診断が難しいため,生検が多くの場合必要である。



