Scintigrafia del cuore

DiThomas Cascino, MD, MSc, Michigan Medicine, University of Michigan;
Michael J. Shea, MD, Michigan Medicine at the University of Michigan
Reviewed ByJonathan G. Howlett, MD, Cumming School of Medicine, University of Calgary
Revisionato/Rivisto Modificata dic 2023
v931892_it
Visualizzazione l’educazione dei pazienti

La scintigrafia viene eseguita impiegando un rilevatore speciale (gamma camera) per creare un'immagine dopo l'iniezione di materiale radioattivo. Questo test viene effettuato per valutare

La scintigrafia può esporre i pazienti a quantità di radiazioni simili a quelle di studi comparabili di TC. Tuttavia, per la breve persistenza del materiale radioattivo nel paziente, sofisticati rivelatori di radiazioni (p. es., negli aeroporti) possono essere attivati dal paziente per diversi giorni dopo l'esecuzione di tale test

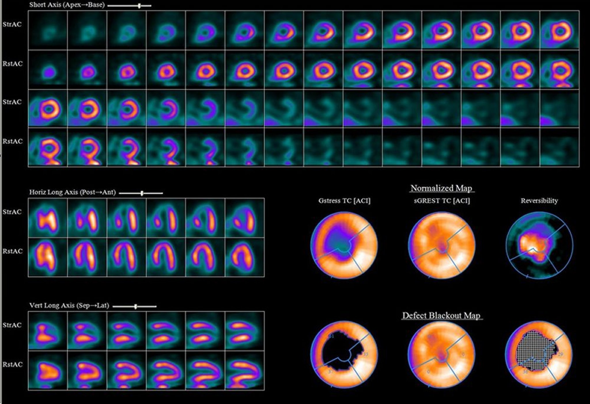
TC a emissione di fotone singolo (Single-Photon Emission Computed Tomography [SPECT])

Raramente vengono impiegate tecniche planari, che producono un'immagine bidimensionale; la TC a emissione di fotone singolo, che utilizza un sistema a camera rotante e una ricostruzione tomografica in grado di produrre un'immagine tridimensionale, è più diffusa negli Stati Uniti. Con sistemi della TC a emissione di fotone singolo a più detettori, le immagini spesso possono essere completate in 10 minuti. Il confronto visivo fra le immagini eseguite sotto sforzo e quelle acquisite tardivamente può essere arricchito da diagrammi quantitativi. Con la TC a emissione di fotone singolo, quanto segue può essere identificato:

  • Anomalia inferiore e posteriore

  • Piccole aree di infarto

  • Vasi responsabili dell'infarto

È possibile quantificare l'area miocardica infartuata e quella vitale, dati utili nel determinare la prognosi.

Imaging di perfusione miocardica

Negli studi di perfusione miocardica, i radionuclidi EV vengono captati dai tessuti cardiaci in percentuale proporzionale alla loro perfusione; di conseguenza, le aree di ridotta captazione rappresentano aree di ischemia relativa o assoluta.

L'attenuazione dell'attività miocardica causata dai tessuti molli sovrastanti può causare risultati falsi positivi. L'attenuazione da parte del tessuto mammario nelle donne è particolarmente frequente. L'attenuazione dovuta al diaframma e al contenuto addominale può dar luogo a falsi difetti della parete inferiore, in entrambi i sessi, ma in genere tra gli uomini. L'attenuazione è più probabile con il tecnezio-99m (99mTc) piuttosto che con il tallio-201 radioattivo (Tl-201).

Indicazioni

Le immagini di perfusione miocardica vengono utilizzate con lo stress test per

  • Valutare i pazienti con dolore toracico di origine incerta

  • Determinare il significato funzionale di una stenosi coronarica vista all'angiografia

  • Determinare il significato funzionale di vasi collaterali visualizzati all'angiografia

  • Valutare il successo degli interventi di riperfusione (p. es., bypass coronarico, intervento percutaneo, trombolisi)

  • Stimare la prognosi dopo infarto miocardico

Dopo un infarto del miocardio acuto, lo studio di perfusione miocardica può aiutare a valutare la prognosi mostrando l'estensione del difetto di perfusione dovuto all'infarto del miocardio, l'estensione del tessuto cicatriziale dovuto a infarti precedenti e l'esistenza di aree residue di ischemia reversibile periinfartuali o in altre sedi.

Protocolli e agenti di imaging

Vari protocolli sono utilizzati a seconda dell'agente di imaging, che comprendono

  • Tallio-201 (Tl-201) radioattivo

  • Marker con tecnezio-99m (Tc-99m) (sestamibi, tetrofosmina, e teboroxime)

  • Iodio-123 (I-123), fissato agli acidi grassi

  • I-123 metaiodobenzilguanidina (MIBG)

Il tallio-201 radioattivo (Tl-201), che si comporta come un analogo del potassio, era il tracciante originale utilizzato nelle prove da sforzo. Viene iniettato al culmine dello sforzo e valutato con SPECT, seguito 4 ore dopo da un'iniezione della metà della dose originale durante il riposo e da una nuova SPECT. Lo scopo di questo protocollo è di valutare i difetti di perfusione reversibili che possono giustificare l'intervento. Dopo il test da sforzo, la differenza di perfusione tra le coronarie normali e quelle distali a una stenosi, appare come un relativo decremento della captazione di Tl-201 nelle zone perfuse dalle arterie stenotiche. La sensibilità del test da stress con Tl-201 nella coronaropatia è simile sia che il test sia stato eseguito dopo esercizio che dopo stress farmacologico. L'uso di Tl-201 è diminuito di recente a favore di agenti con una migliore qualità di immagine e dosi di radiazioni più basse.

Diversi marker di perfusione miocardica con tecnezio-99m (Tc-99m) sono stati sviluppati perché le caratteristiche di imaging Tl-201 non sono ideali per la gamma camera. I marcatori comprendono sestamibi (il più comunemente usato), tetrofosmina, e teboroxime (vedi tabella Marker di perfusione miocardica al tecnezio-99m [Tc-99m]). I protocolli includono 2 giorni di stress-rest, 1 giorno di stress-rest, e 1 giorno di stress-rest. Alcuni protocolli utilizzano due isotopi (TI-201 e Tc-99m), nonostante questo approccio sia costoso. Con ognuno di questi marker, la sensibilità del test è circa del 90% e la specificità è circa del 71% per rilevare la malattia coronarica.

Per i protocolli di 2 giorni, la visualizzazione a riposo può essere omessa se il test da sforzo iniziale non mostra segni di alterata perfusione. Quando sono impiegate dosi maggiori di Tc-99m (> 30 millicurie), possono essere eseguite valutazioni funzionali di primo passaggio (con ventricolografia) insieme a valutazioni morfologiche.

Altri radionuclidi comprendono iodio-123 (I-123) fissati agli acidi grassi, che producono spot freddi qualora il miocardio sia ischemico; citrato di gallio-67 (Ga-67), che si accumula nelle sedi di infiammazione attiva (p. es., nella cardiomiopatia infiammatoria acuta); e l'123-I metaiodobenzilguanidina, un neurotrasmettitore analogo captato e immagazzinato nei neuroni del sistema nervoso simpatico e utilizzato a scopi di ricerca per studiare l'insufficienza cardiaca, il diabete, il feocromocitoma, alcune aritmie e la displasia aritmogena del ventricolo destro.

Tabella
Tabella

Infarct avid imaging

L'infarct avid imaging utilizza traccianti radioattivi che si accumulano prediligendo le aree di miocardio danneggiato, come per esempio Tc-99m pirofosfato e antimiosina (indio-111[In-111]-anticorpi marcati per miosina cardiaca). Le immagini in genere diventano positive circa 12-24 h dopo l'infarto del miocardio acuto e rimangono positive per circa 1 settimana; possono restare positive se la necrosi miocardica prosegue dopo l'infarto o se si sviluppano aneurismi. Questa tecnica oggi viene raramente impiegata poiché altri test diagnostici per l'infarto del miocardio (p. es., biomarker) sono più facilmente disponibili e meno costosi e perché non fornisce altre informazioni prognostiche se non le dimensioni dell'infarto.

Il Tc-99m pirofosfato è attualmente utilizzato in modo simile per valutare il coinvolgimento cardiaco nell'amiloidosi da transtiretina (un tipo di amiloidosi in cui fogli di proteina transtiretina mal ripiegata possono accumularsi nei tessuti, compreso il cuore). I depositi di transtiretina amiloide nel miocardio sono particolarmente avidi di Tc-99m pirofosfato. In assenza di manifestazioni sieriche e urinarie di un'amiloidosi da catena leggera (che può anche infiltrarsi nel miocardio e dare luogo a una scintigrafia positiva) o di un infarto recente, un alto rapporto di captazione nel miocardio è specifico per l'amiloidosi cardiaca da transtiretina e può eliminare la necessità di una biopsia miocardica.

Ventricolografia con radionuclidi

La ventricolografia con radionuclidi viene impiegata per valutare la funzione ventricolare. È utile per misurare la frazione d'eiezione a riposo e in situazioni di sforzo, nelle coronaropatie, nelle cardiopatie valvolari e nelle cardiopatie congenite. Alcuni medici la preferiscono per eseguire valutazioni seriali della funzionalità ventricolare in pazienti che stanno assumendo una chemioterapia antineoplastica cardiotossica (p. es., antracicline). Tuttavia, la ventricolografia con radionuclidi è stata in gran parte sostituita dall'ecocardiografia, che è meno costosa, non richiede esposizione a radiazioni e teoricamente può misurare la frazione di eiezione altrettanto accuratamente.

I globuli rossi marcati con Tc-99m vengono iniettati per via endovenosa. La funzione del ventricolo sinistro e del ventricolo destro può essere valutata da

  • Studi di primo transito (un tipo di valutazione battito-per-battito)

  • La scansione (scintigrafia) con acquisizione a gate multipli (Multiple-gated acquisition [MUGA]) eseguita nell'arco di diversi minuti

Lo studio può essere eseguito sia a riposo che sotto sforzo. Gli studi di primo passaggio sono rapidi e relativamente semplici, ma la Multiple-gated acquisition (MUGA) radionuclide imaging (scansione [scintigrafia] con acquisizione a gate multipli) offre immagini migliori ed è più diffusamente impiegata.

Negli studi di primo passaggio, sono visualizzati da 8 a 10 cicli cardiaci mentre il marker si mescola con il sangue e passa attraverso la circolazione sistemica. Gli studi di primo passaggio sono l'ideale per valutare la funzione del ventricolo destro e gli shunt intracardiaci.

Nella Multiple-gated acquisition (MUGA) radionuclide imaging (scansione [scintigrafia] con acquisizione a gate multipli), l'immagine è sincronizzata con l'onda R dell'ECG. Si acquisiscono immagini multiple di brevi porzioni sequenziali di ciascun ciclo cardiaco per 5-10 min. L'analisi informatica produce una configurazione media del contenuto ematico per ciascuna porzione del ciclo cardiaco e sintetizza le configurazioni in una curva cinematica continua simile a un cuore in movimento.

La Multiple-gated acquisition (MUGA) radionuclide imaging (scansione [scintigrafia] con acquisizione a gate multipli) multipli può quantificare numerosi indici di funzione ventricolare, comprese le alterazioni segmentarie della cinesi parietale e la frazione di eiezione; il rapporto tra volume di eiezione e volume telediastolico, frazione di eiezione e di riempimento, il volume del ventricolo sinistro e gli indici di relativo sovraccarico di volume (p. es., rapporto gittata ventricolo sinistro:ventricolo destro). La frazione di eiezione è il parametro più comunemente utilizzato.

L'esecuzione della Multiple-gated acquisition (MUGA) radionuclide imaging (scansione [scintigrafia] con acquisizione a gate multipli) a riposo è praticamente priva di rischi. Viene usata per valutare le funzioni del ventricolo destro e del ventricolo sinistro nei vari disturbi in serie (p. es., disturbi cardiaci valvolari): per il monitoraggio di pazienti che assumono farmaci potenzialmente cardiotossici (p. es., doxorubicina); e per la valutazione del risultato di angioplastiche, intervento di bypass aorto-coronarico, trombolisi e di altre procedure in pazienti con coronaropatia o infarto del miocardio. Le aritmie rappresentano una controindicazione relativa in quanto vi possono essere pochi cicli cardiaci normali.

Ventricolografia sinistra

La Multiple-gated acquisition (MUGA) radionuclide imaging (scansione [scintigrafia] con acquisizione a gate multipli) è utile per la diagnosi di aneurismi del ventricolo sinistro; la sensibilità e la specificità sono > 90% per tipici aneurismi anteriori o antero apicali veri. Lo studio convenzionale fornisce immagini meno chiare degli aneurismi inferoposteriori del ventricolo sinistro rispetto agli aneurismi anteriori e laterali; sono necessarie pertanto proiezioni aggiuntive. Le immagini realizzate con tecnica gated della TC a emissione di fotone singolo richiedono più tempo (circa 20-25 minuti con una camera a testa multipla) rispetto a una singola immagine planare (5-10 min), ma mostrano tutte le porzioni dei ventricoli.

Ventricolografia destra

La Multiple-gated acquisition (MUGA) radionuclide imaging (scansione [scintigrafia] con acquisizione a gate multipli) è usata per valutare la funzione del ventricolo destro nei pazienti con un disturbo polmonare o un infarto inferiore del ventricolo sinistro che può coinvolgere il ventricolo destro. Normalmente, la frazione di eiezione del ventricolo destro (da 40 a 55% con la maggior parte delle tecniche) è inferiore alla frazione di eiezione ventricolare sinistra. La frazione di eiezione del ventricolo destro è bassa in molti pazienti con ipertensione polmonare e nei pazienti con infarto del ventricolo destro o con una cardiomiopatia che coinvolga il ventricolo destro. La cardiomiopatia idiopatica è solitamente caratterizzata da disfunzione biventricolare, a differenza della tipica coronaropatia, che abitualmente mostra un più cospicuo coinvolgimento del ventricolo sinistro rispetto al ventricolo destro.

Valutazione della valvola

La Multiple-gated acquisition (MUGA) radionuclide imaging (scansione [scintigrafia] con acquisizione a gate multipli) può essere utilizzata con protocolli riposo-stress per valutare le malattie valvolari che esitano in sovraccarico di volume del ventricolo sinistro. Nell'insufficienza aortica, una caduta della frazione di eiezione a riposo o l'incapacità di incrementare l'indice sotto sforzo rappresenta un segno di progressivo deterioramento della funzione cardiaca e può indicare la necessità di un intervento di riparazione valvolare. La Multiple-gated acquisition (MUGA) radionuclide imaging (scansione [scintigrafia] con acquisizione a gate multipli) può inoltre essere usata per misurare la quota di rigurgito in tutte le insufficienze valvolari. Normalmente, il volume di eiezione sistolico dei 2 ventricoli è uguale. Tuttavia, nei pazienti affetti da insufficienza valvolare di sinistra, il volume di eiezione sistolico del ventricolo sinistro supera quella del ventricolo destro in misura proporzionale alla frazione di rigurgito. Pertanto, se il ventricolo destro è normale, la frazione di rigurgito del ventricolo sinistro può essere calcolata a partire dal rapporto gittata del ventricolo sinistro:gittata del ventricolo destro.

Valutazione dello shunt

Con la Multiple-gated acquisition (MUGA) radionuclide imaging (scansione [scintigrafia] con acquisizione a gate multipli) e diversi programmi informatici disponibili in commercio è possibile quantificare la dimensione di uno shunt congenito mediante la determinazione del rapporto della gittata sistolica o, durante il primo transito del radioisotopo mediante il rapporto tra ricircolazione anomala polmonare precoce della radioattività e radioattività polmonare totale.

quizzes_lightbulb_red
Test your KnowledgeTake a Quiz!
iOS ANDROID
iOS ANDROID
iOS ANDROID