Sinar-x pada Pergelangan Tangan
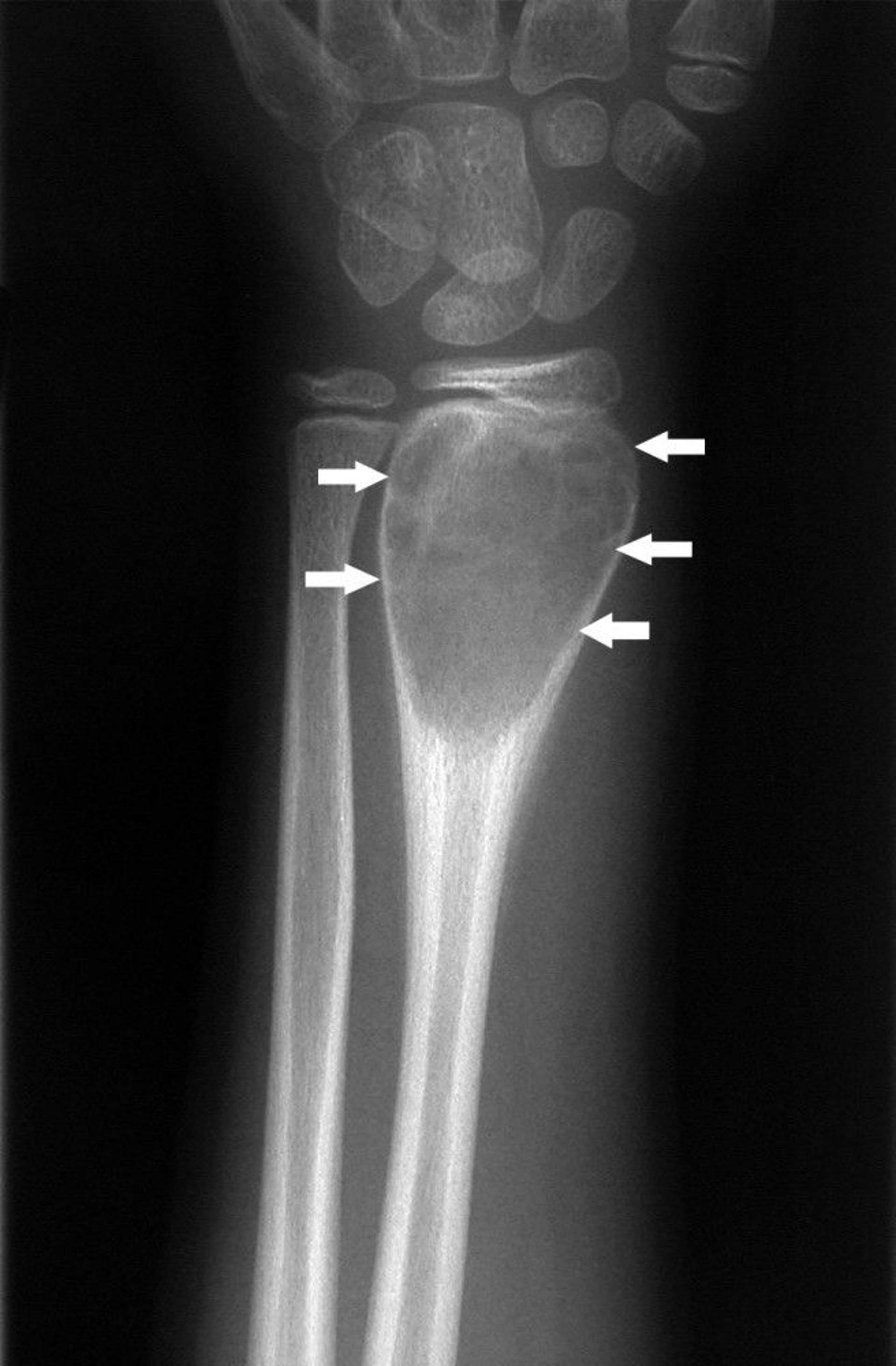
Sinar-x pergelangan tangan ini menunjukkan kista tulang yang menyebabkan ujung tulang membesar (panah).
Gambar milik Michael J. Joyce, MD, dan Hakan Ilaslan, MD.
Dalam topik ini
Sinar-x pergelangan tangan ini menunjukkan kista tulang yang menyebabkan ujung tulang membesar (panah).
Gambar milik Michael J. Joyce, MD, dan Hakan Ilaslan, MD.