Gingivitis

Gingivitis

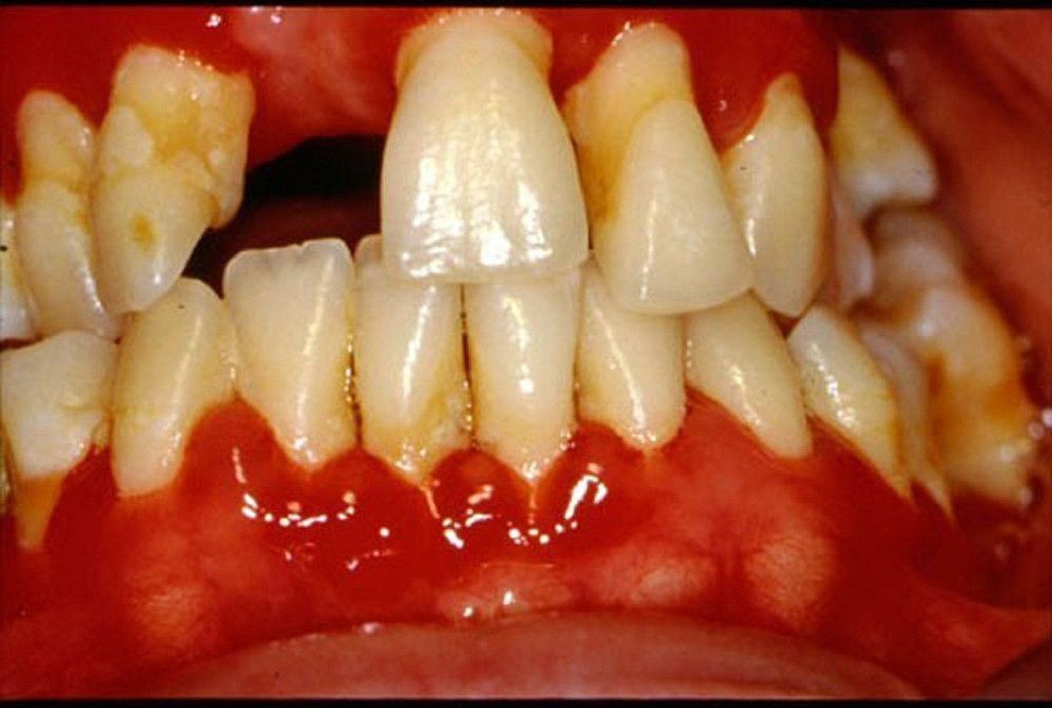
Gingivitis menyebabkan kemerahan dan pembengkakan gusi.

Gambar disediakan oleh Jonathan A. Ship, DMD.