Gigi berlubang
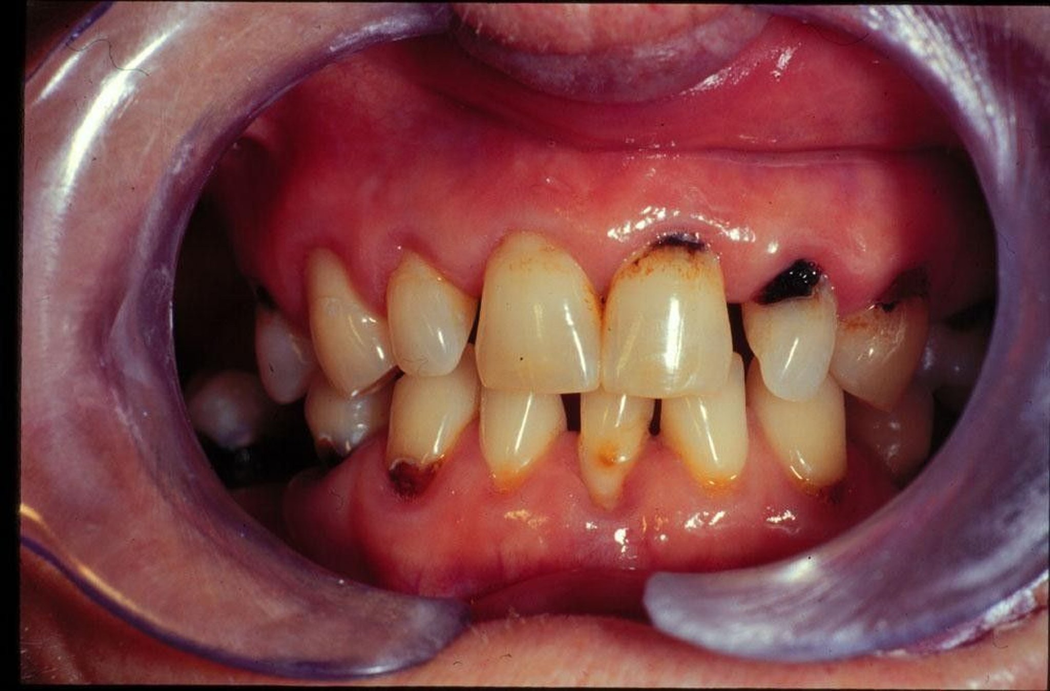
Gambar ini menunjukkan gigi berlubang yang baru dan berulang pada seseorang dengan mulut kering.
Gambar disediakan oleh Jonathan A. Ship, DMD.
Dalam topik ini
Gambar ini menunjukkan gigi berlubang yang baru dan berulang pada seseorang dengan mulut kering.
Gambar disediakan oleh Jonathan A. Ship, DMD.