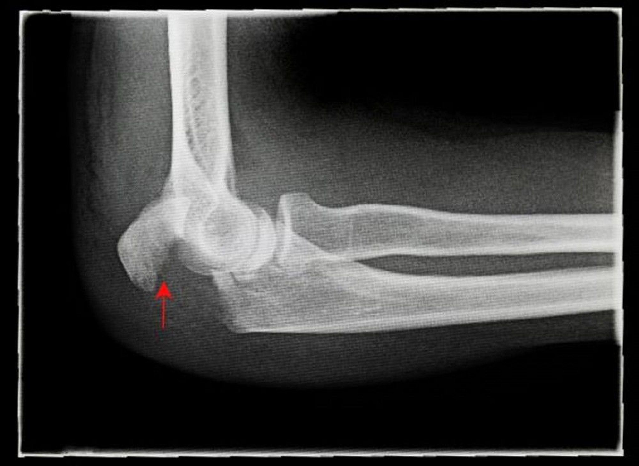
Fraktur Olekranon yang Bergeser
Foto sinar-x ini menunjukkan tampilan samping (lateral) fraktur olekranon yang bergeser (panah).
ANTONIA REEVE/PERPUSTAKAAN FOTO SAINS
Dalam topik ini
Foto sinar-x ini menunjukkan tampilan samping (lateral) fraktur olekranon yang bergeser (panah).
ANTONIA REEVE/PERPUSTAKAAN FOTO SAINS