Mata bisa tidak ada, berubah bentuk, atau tidak lengkap pada saat lahir.
Cacat lahir, juga disebut anomali kongenital, adalah kelainan fisik yang terjadi sebelum bayi lahir. "Kongenital" berarti "ada saat lahir." (Lihat juga Pengantar untuk Cacat Lahir pada Wajah dan Tengkorak.)
Cacat lahir pada mata meliputi hal berikut:
Hipertelorisme: Mata dengan jarak yang lebar dapat terjadi pada banyak sindrom kongenital (sekelompok cacat yang ada saat lahir yang terjadi bersamaan)
Hipotelorisme: Mata berjarak dekat
Koloboma: Bagian jaringan yang hilang di bagian mata mana pun, seperti kelopak mata, iris, retina, atau saraf optik di salah satu atau kedua mata
Mikroftalmia: Bola mata kecil (dapat memengaruhi 1 atau kedua mata)
Anoftalmia: Tidak adanya bola mata sama sekali (dapat terjadi pada lebih dari 50 sindrom kongenital)
Sebagian cacat lahir ini dapat disebabkan oleh mutasi pada gen tertentu. Hal lain dapat disebabkan oleh penggunaan obat-obatan tertentu, obat-obatan terlarang, atau alkohol oleh ibu selama kehamilan atau infeksi yang mungkin dialaminya selama kehamilan.
Anak yang memiliki cacat lahir pada mata sering memiliki cacat lahir lainnya, terutama pada wajah atau otak.
Orang ini mengalami hipertelorisme (mata berjarak jauh; kiri) dan juga hipoplasia maksilaris (rahang atas kecil; kanan).
Orang ini mengalami hipertelorisme (mata berjarak jauh; kiri) dan juga hipoplasia maksilaris (rahang atas kecil; kanan)
© Springer Science+Business Media
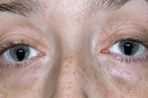
Foto ini menunjukkan seseorang yang mengalami koloboma di kedua mata dengan pupil yang membesar memanjang ke tepi bawah iris masing-masing mata.
Foto ini menunjukkan seseorang yang mengalami koloboma di kedua mata dengan pupil yang membesar memanjang ke tepi bawah
DR P. MARAZZI/PERPUSTAKAAN FOTO SAINS
Foto ini menunjukkan seseorang yang mengalami mikroftalmia pada kedua mata (mata kiri lebih parah terkena dibandingkan mata kanan).
Foto ini menunjukkan seseorang yang mengalami mikroftalmia pada kedua mata (mata kiri lebih parah terkena dibandingkan
© Springer Science+Business Media
Foto ini menunjukkan seseorang yang memiliki cacat lahir kembar di sebelah kanan termasuk bola mata yang hilang (anoftalmia), telinga eksternal yang cacat (pinna), dan sisi kanan wajah yang lebih kecil.
Foto ini menunjukkan seseorang yang memiliki cacat lahir kembar di sebelah kanan termasuk bola mata yang hilang (anofta
© Springer Science+Business Media
Diagnosis Cacat Mata
Sebelum lahir, pemeriksaan pencitraan ultrasound terhadap janin dan terkadang tes darah
Setelah lahir, pemeriksaan fisik terhadap bayi baru lahir
Tes genetik
Sebelum kelahiran, dokter mungkin dapat mengidentifikasi beberapa cacat mata saat ultrasound dan terkadang dengan melakukan pengambilan sampel amniosentesis atau vilus korionik untuk mendapatkan sampel DNA dari janin untuk melakukan pengujian genetik.
Setelah lahir, dokter dapat mengidentifikasi banyak cacat mata saat pemeriksaan fisik.
Karena gen abnormal dapat terlibat dalam pembentukan cacat lahir mata, bayi yang terkena harus dievaluasi oleh ahli genetik. Ahli genetika adalah dokter yang mengkhususkan diri pada genetika (ilmu gen dan bagaimana kualitas atau sifat tertentu diturunkan dari orang tua ke keturunannya). Pengujian genetik melalui sampel darah bayi dapat dilakukan untuk mencari kromosom dan abnormalitas gen. Pengujian ini dapat membantu dokter menentukan apakah gangguan genetik tertentu merupakan penyebabnya dan mengesampingkan penyebab lainnya. Jika terjadi gangguan genetik, keluarga dapat memperoleh manfaat dari konseling genetik.
Penanganan untuk Cacat Mata
Tindakan bedah
Anak-anak yang mengalami salah satu kondisi ini harus dievaluasi oleh dokter mata anak. Dokter spesialis mata anak adalah dokter yang mengkhususkan diri pada masalah mata pada anak-anak. Cacat lahir pada mata akan ditangani melalui pembedahan menggunakan berbagai teknik bedah.
