मैलोरी-वीस सिंड्रोम

इनके द्वाराKristle Lee Lynch, MD, Perelman School of Medicine at The University of Pennsylvania
द्वारा समीक्षा की गईMinhhuyen Nguyen, MD, Fox Chase Cancer Center, Temple University
समीक्षा की गई/बदलाव किया गया संशोधित फ़र॰ २०२४
v38703990_hi

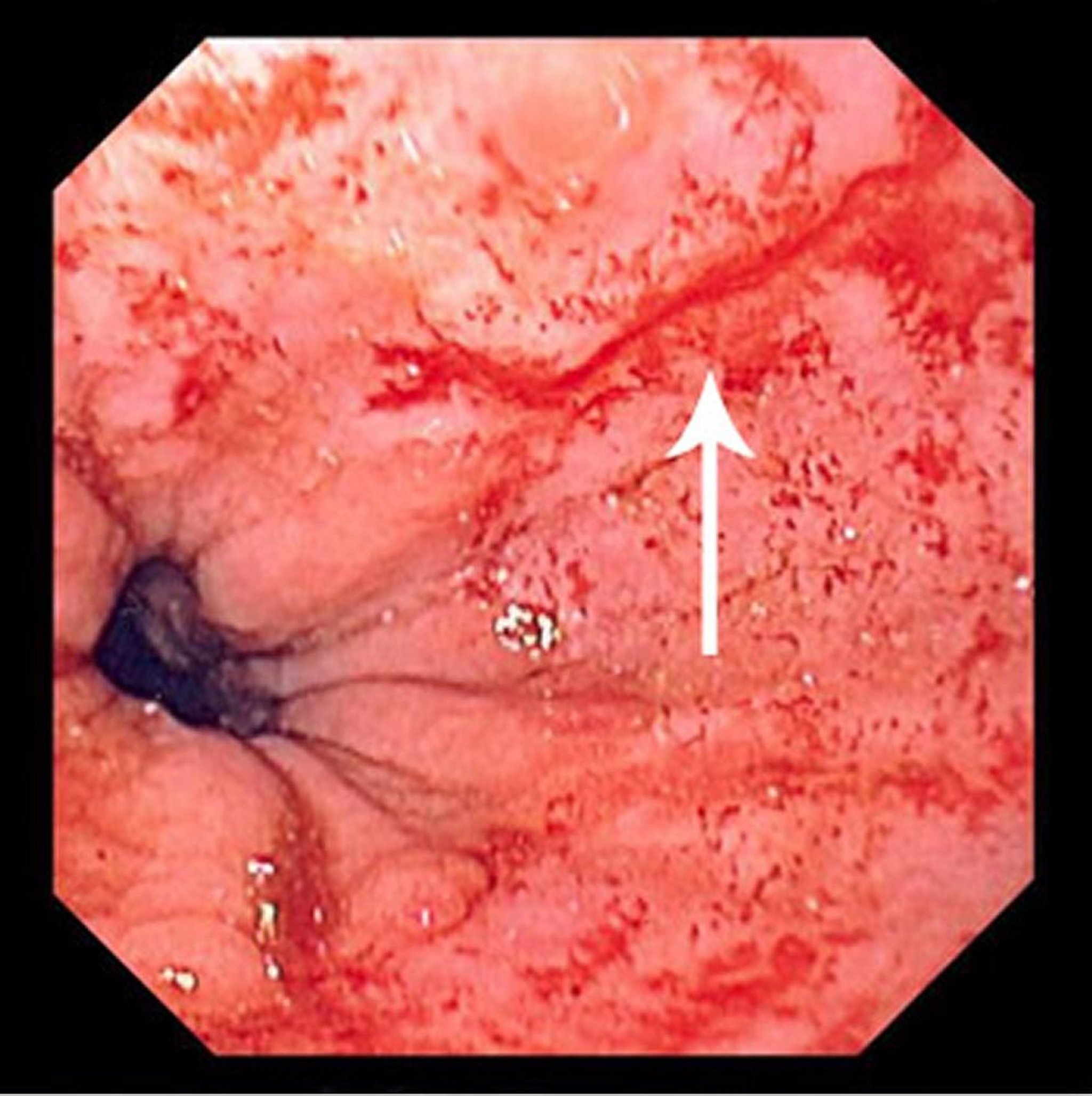
मैलोरी-वीस सिंड्रोम ऊतक का एक बाहरी कट (घाव) है, जहां निचला इसोफ़ेगस और पेट का ऊपरी हिस्सा मिलते हैं।

  • ऐसी टूट-फूट बलपूर्वक उल्टी के कारण हो सकती है।

  • लक्षणों में उल्टी में खून आना शामिल है।

  • ऊपरी एंडोस्कोपी के आधार पर निदान किया जाता है।

  • जब आवश्यक हो, तो उपचार में रक्तस्राव को रोकने के उपाय शामिल होते हैं।

इसोफ़ेगस खोखली नली होती है जो गले (फ़ेरिंक्स) से लेकर पेट तक जाती है। (इसोफ़ेगस का विवरण और इसोफ़ेजियल जख्म का विवरण भी देखें।)

ज़ोरदार उल्टी, जी मिचलाना या हिचकी आने के दौरान मैलोरी-वीस टीयर होता है। टीयर से रक्त वाहिकाएं फट सकती हैं, जिससे बाद में रक्तस्राव होता है (गैस्ट्रोइंटेस्टाइनल रक्तस्राव भी देखें)।

मैलोरी-वीस सिंड्रोम को पहले अल्कोहल का इस्तेमाल करने वाले लोगों से जुड़ा विकार माना जाता था, लेकिन यह किसी भी ऐसे व्यक्ति को हो सकता है, जो बलपूर्वक उल्टी करता है।

क्या आप जानते हैं...

  • बलपूर्वक उल्टी करने से इसोफ़ेगस फट सकती है।

मैलोरी-वीस सिंड्रोम के लक्षण

मैलोरी-वीस सिंड्रोम का पहला लक्षण आमतौर पर, उल्टी में चमकीले खून का दिखना है। खून की उल्टी होने को हीमाटेमेसिस कहते हैं।

कुछ लोगों को उल्टी के दौरान इसोफ़ेगस के फटने पर सीने के निचले हिस्से में तीखा दर्द महसूस होता है।

मैलोरी-वीस सिंड्रोम का निदान

  • ऊपरी एंडोस्कोपी

डॉक्टरों को उन लोगों में मैलोरी-वीस सिंड्रोम के निदान पर संदेह होता है, जिनकी उल्टी के एक या अधिक एपिसोड के बाद उल्टी में खून आता है। यदि खून के रिसाव की मात्रा कम है, तो डॉक्टर परीक्षण करने के लिए इंतज़ार कर सकते हैं, क्योंकि खून का रिसाव अपने-आप रुक सकता है।

यदि खून का रिसाव गंभीर है या अपने-आप नहीं रुकता है, तो डॉक्टर अपर एंडोस्कोपी करते हैं। अपर एंडोस्कोपी के दौरान, डॉक्टर एंडोस्कोप नाम की एक लचीली ट्यूब का उपयोग करके इसोफ़ेगस की जांच करते हैं। अपर एंडोस्कोपी डॉक्टरों को खून के रिसाव के स्रोत को देखने देती है और अक्सर उसी समय में इसका उपचार करता है।

मैलोरी-वीस सिंड्रोम का उपचार

  • खून का रिसाव रोकने के उपाय

ज़्यादातर खून के रिसाव के एपिसोड अपने-आप ही बंद हो जाते हैं, लेकिन कभी-कभी डॉक्टर को एंडोस्कोपी करनी चाहिए और खून के रिसाव को रोकने के उपाय करने चाहिए। उपायों में रक्तस्राव वाली रक्त वाहिका को कॉटराइज़ करने के लिए हीट का उपयोग करके, इसे अच्छे से बंद करना, या इसमें दवा इंजेक्ट करना शामिल है।

वैकल्पिक रूप से, डॉक्टर खून के रिसाव को रोकने के लिए एंजियोग्राफ़ी के दौरान खून के रिसाव से प्रभावित नलियों में वेसोप्रैसिन या एपीनेफ़्रिन को इंजेक्ट कर सकते हैं।

जिन लोगों का बहुत ज़्यादा खून बह जाता है उन्हें ब्लड ट्रांसफ़्यूजन की आवश्यकता होती है।

फटाव को ठीक करने के लिए सर्जरी की दुर्लभ रूप से आवश्यकता होती है।

quizzes_lightbulb_red
अपना ज्ञान परखेंएक क्वज़ि लें!
iOS ANDROID
iOS ANDROID
iOS ANDROID