प्लैंटार फ़ैसाइटिस

(प्लैंटार फ़ैसिओसिस)

इनके द्वाराJames C. Connors, DPM, Kent State University College of Podiatric Medicine
द्वारा समीक्षा की गईBrian F. Mandell, MD, PhD, Cleveland Clinic Lerner College of Medicine at Case Western Reserve University
समीक्षा की गई/बदलाव किया गया संशोधित अक्टू॰ २०२५
v26371341_hi

प्लैंटार फ़ैसाइटिस वह दर्द है जो प्लैंटार फ़ैसिया नाम के ऊतकों की उस घनी पट्टी से पैदा होता है जो एड़ी की हड्डी के नीचे से पाँव की उंगलियों के आधार (पाँव के तलवे के अगले भाग) तक फैली होती है।

  • एड़ी और पाँव के तलवे के अगले भाग के बीच के जोड़ने वाले ऊतक क्षतिग्रस्त हो सकते हैं और उनमें दर्द हो सकता है।

  • दर्द, एड़ी के नीचे की ओर महसूस होता है, जो अक्सर सुबह पहली बार वजन उठाते समय और आराम की अवधि के बाद और बढ़ जाता है।

  • जांच पाँव के परीक्षण और इमेजिंग परीक्षणों पर आधारित होती है।

  • स्ट्रेच करना, बर्फ़ लगाना, फ़ुटवियर बदलना, जूते में गद्दीदार सहारा देने वाले डिवाइस पहनना, और एड़ी को ऊंचा करना, और कभी-कभी स्टेरॉइड इंजेक्शन मदद कर सकते हैं।

(पंजों की समस्याओं का संक्षिप्त वर्णन भी देखें।)

प्लैंटार फ़ैसिआ एड़ी के नीचे की हड्डी को पाँव के तलवे के बीच के भाग से जोड़ती है और चलने, दौड़ने, और कदम उठाने में उछाल देने के लिए आवश्यक होती है।

प्लैंटार फ़ैसाइटिस के बारे में जानकारी देने के लिए उपयोग किए जाने वाले अन्य शब्दों में प्लैंटार फ़ैसिओसिस, कैल्केनियल एन्थेसोपैथी और कैल्केनियल स्पर सिंड्रोम (हील स्पर) शामिल हैं। एड़ी की कील, एड़ी की हड्डी पर बढ़ने वाली एक नोंकदार अतिरिक्त हड्डी होती है। यह समय के साथ फ़ैसिआ पर बढ़ गए खिंचाव और पाँव के ठीक से कार्य न करने के मिश्रण के कारण होता है। हालांकि, कोई एड़ी की कील मौजूद हो या नहीं हो सकती है। अक्सर प्लैंटार फैसिआ पर पड़े अत्यधिक तनाव के कारण एक छोटा चीरा हो जाता है। प्लैंटार फ़ैसाइटिस एड़ी के दर्द के कारणों में सबसे आम होता है।

प्लैंटार फ़ैसाइटिस उन लोगों में विकसित हो सकता है जिनकी जीवनशैली सुस्त होती है, जो ऊँची एड़ी के जूते पहनते हैं, जिनके पाँवों में असामान्य रूप से हाई या लो आर्च हों, या पिंडली की मांसपेशियाँ कसी हों या एचिलिस टेंडन (वह टेंडन जो पिंडली की मांसपेशियों को एड़ी की हड्डी से जोड़ता है) कसा हुआ हो। सुस्त लोगों पर आमतौर पर तब प्रभाव पड़ता है जब वे अचानक अपनी गतिविधियों का स्तर बढ़ा देते हैं या कम सहारा प्रदान करने वाले जूते पहनते हैं जैसे सैंडल या फ़्लिप-फ़्लॉप (हवाई चप्पलें)। फ़ैसिया पर बढ़े हुए दबाव के कारण प्लैंटार फ़ैसाइटिस धावकों और नर्तकों में भी आम होता है, विशेष रूप से यदि व्यक्ति के पैर की मुद्रा भी सही नहीं हो। इस दर्द भरे विकार का विकास उन लोगों में अक्सर होता है जिनके व्यवसाय में लंबी अवधियों के लिए कड़ी सतह पर खड़े रहना या चलना शामिल होता है।

जो विकार प्लैंटार फ़ैसाइटिस को पैदा कर सकते हैं या उसे बढ़ावा दे सकते हैं वे मोटापा, रूमैटॉइड अर्थराइटिस और दूसरे प्रकार के अर्थराइटिस हैं। प्लैंटार फैस्कीटिस से राहत दिलाने के लिए एड़ी के आसपास दिए जाने वाले बहुत अधिक स्टेरॉइड (जिसे कभी-कभी ग्लूकोकॉर्टिकॉइड या कॉर्टिकोस्टेरॉइड कहा जाता है) इंजेक्शन वास्तव में एड़ी के नीचे फैट पैड को पतला करके इसे और बदतर बना सकते हैं, जिससे फ़ैसिया को नुकसान पहुंच सकता है।

प्लैंटार फ़ैसाइटिस के लक्षण

प्लैंटार फ़ैसाइटिस से पीड़ित व्यक्ति को प्लैंटार फ़ैसिया की अवधि में कहीं भी दर्द हो सकता है, लेकिन सबसे आमतौर पर वहां होता है जहां फ़ैसिया एड़ी की हड्डी से जाकर मिलती है। व्यक्ति को अक्सर वज़न सहने में बहुत दर्द होता है, विशेषकर तब, जब सुबह पहली बार पाँव पर वजन डाला जाता है। दर्द अस्थायी रूप से 5 से 10 मिनट के लिए कम हो जाता है लेकिन कुछ देर बाद दिन में लौट सकता है। एड़ी के बल धक्का लगाते समय (जैसे चलते या दौड़ते समय) और आराम की अवधि के बाद यह अक्सर और भी अधिक होता है। इस मामले में, दर्द एड़ी के निचले भाग से पाँव की उंगली की ओर फैलता जाता है। कुछ लोगों को चलते समय पर पाँव के तलवे के अंदरूनी किनारों पर जलन या चुभन भरा दर्द होता है।

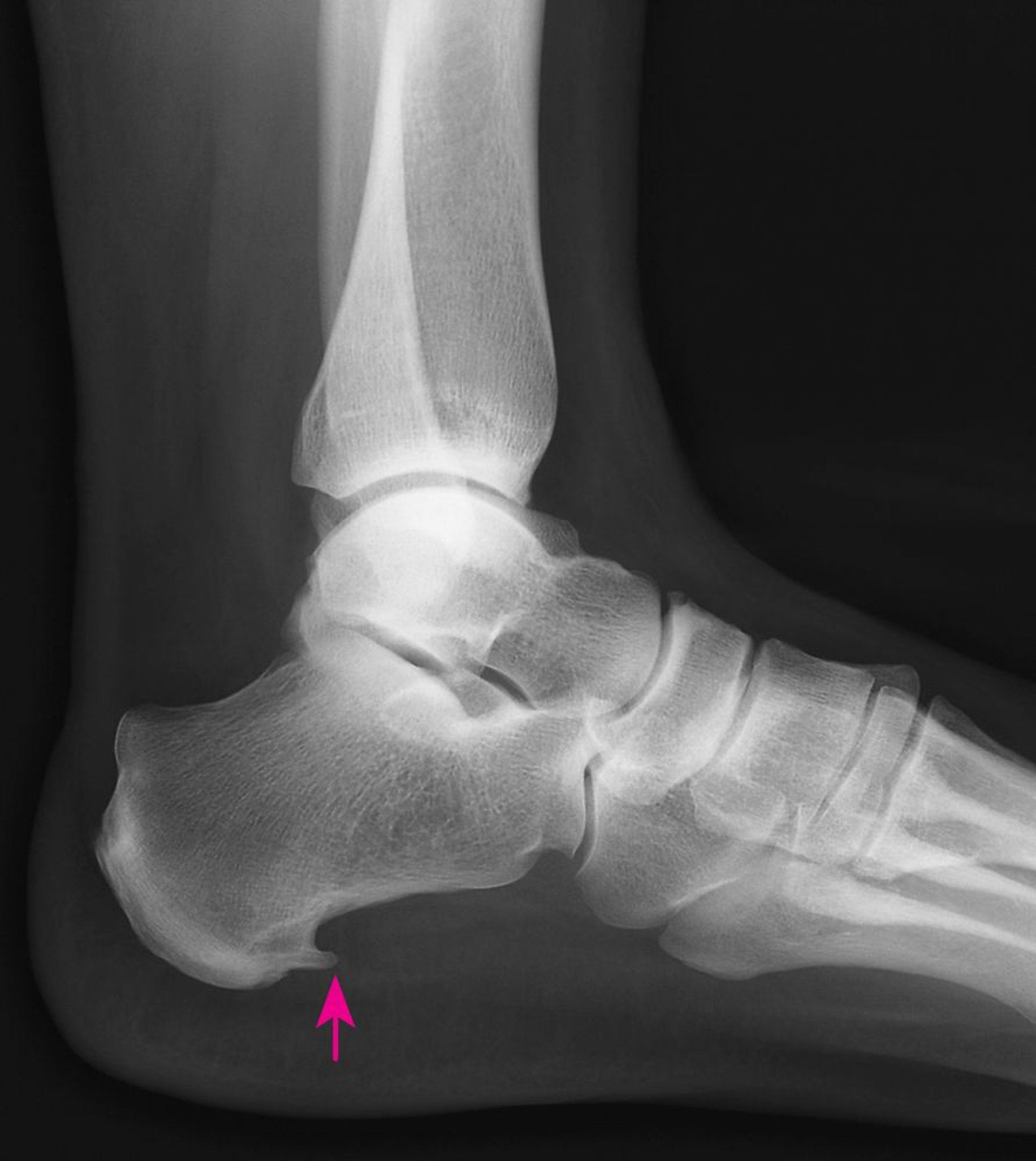
एड़ी की कील क्या होती है?

एड़ी की कील, एड़ी की हड्डी (कैलकैनियस) पर बढ़ने वाली एक नोंकदार अतिरिक्त हड्डी होती है। यह तब बन सकती है जब एड़ी की हड्डी के नीचे से बढ़कर पंजे की उंगलियों की ओर विस्‍तृत संयोजी ऊतक, प्लैंटार फ़ैसिआ (पाँव के तलवे का अगला भाग) एड़ी पर अत्यधिक खिंचाव लगाता है। कील विकसित होते समय दर्द भरी हो सकती है लेकिन जब पाँव उससे सहज होता जाता है तो दर्द कम हो सकता है। एड़ी की सभी कीलें लक्षण पैदा नहीं करती। जब एड़ी की कीलें लक्षण पैदा करती हैं, तो अधिकतर का इलाज बिना सर्जरी किया जा सकता है।

प्लैंटार फ़ैसाइटिस का निदान

  • डॉक्टर द्वारा पाँव का परीक्षण

  • कभी-कभी एक्स-रे लिए जाते हैं

डॉक्टर पाँव का परीक्षण करके प्लैंटार फ़ैसाइटिस की जाँच कर सकते हैं। यदि लोगों को उस स्थान पर छूने से दर्द हो जहाँ प्लैंटार फ़ैसिआ एड़ी की हड्डी में प्रवेश करता है तो जांच की पुष्टि हो जाती है।

एक्स-रे एड़ी की हड्डी के निचले भाग की आगे वाली किनारे से उठी हुई एड़ी की कील को दिखा सकते हैं। हालांकि, प्लैंटार फ़ैसाइटिस से पीड़ित लोगों को अक्सर हील स्पर्स नहीं होती और हील स्पर्स होने से पीड़ित अधिकतर लोगों को दर्द नहीं होता, इसलिए हील स्पर्स होने का मतलब यह नहीं होगा कि प्लैंटार फ़ैसाइटिस की उपस्थिति भी अवश्य होगी और साथ ही इसका अर्थ यह भी नहीं होता कि हील स्पर्स का इलाज करने की आवश्यकता है।

यदि डॉक्टरों को यह संदेह हो कि व्यक्ति की फ़ैसिआ फटी हुई है, तो जांच के दूसरे परीक्षण, जैसे मैग्नेटिक रीसोनेंस इमेजिंग (MRI), किए जा सकते हैं।

प्लैंटार फ़ैसाइटिस का इलाज

  • स्ट्रेचिंग, ऑर्थोसेस, और नाइट स्प्लिंट्स

फ़ैसिआ पर दबाव और दर्द को दूर करने के लिए, व्यक्ति छोटे कदम ले सकता है और नंगे पाँव चलने से बच सकता है। ऐसी गतिविधियों से बचना चाहिए जिनमें पाँव पर बल लगता हो, जैसे जॉगिंग। व्यक्ति को वज़न कम करने की आवश्यकता हो सकती है। एचिलिस टेंडन और पाँव को स्ट्रेच करने से अक्सर सुधार तेज़ी से होता है। इसीलिए, प्लैंटार फ़ैसाइटिस के सबसे प्रभावी उपचारों में जूते में लगने वाली हील कुशनिंग और आर्च सपोर्ट्स, एचिलिस टेंडन को स्ट्रेच करने वाली कसरत करना और ऐसे स्प्लिंट पहनना शामिल हैं, जो सोते समय एचिलिस टेंडन और प्लैंटार फ़ैसिया को स्ट्रेच करते हैं। ऑर्थोसेस (जूते में रखे जाने वाले डिवाइस) एड़ी को कुशन देने, सहायता करने, और ऊँचा करने में मदद कर सकते हैं।

अन्य आवश्यक उपायों में चिपकाने वाले पट्टे या आर्च-को मदद करने वाले रैप्स, ठंडी और बर्फ़ की मालिश, बिना स्टेरॉइड वाली एंटी-इन्फ़्लेमेटरी दवाओं (NSAID) का उपयोग, और एड़ी में कभी-कभी स्टेरॉइड इंजेक्शन शामिल हैं। स्टेरॉइड इंजेक्शन आमतौर पर कुछ बार से अधिक नहीं दिए जाते हैं, क्योंकि वे हील फैट पैड को पतला करके विकार को और बिगाड़ सकते हैं।

यदि ये उपाय मददगार न हों, तो एक कास्ट लगाया जा सकता है और डॉक्टर फिजिकल थेरेपी का सुझाव दे सकते हैं। यदि लक्षण तब भी जारी रहते हैं, तो फ़ैसिआ पर दबाव को आंशिक रूप से दूर करने और यदि एड़ी की कील दर्द पैदा कर रही है, तो इसे निकालने के लिए सर्जरी की आवश्यकता हो सकती है।

एक्सट्राकॉर्पोरियल पल्स एक्टिवेशन थेरेपी (EPAT) कहे जाने वाले एक नए इलाज में, डॉक्टर एड़ी पर ध्वनी की दबाव की तरंगों को डालने के लिए एक डिवाइस का उपयोग करते हैं। दबाव की तरंगें खून के प्रसार को उत्तेजित करती हैं जिससे ठीक होने में मदद मिल सकती है।

quizzes_lightbulb_red
अपना ज्ञान परखेंएक क्वज़ि लें!
iOS ANDROID
iOS ANDROID
iOS ANDROID