हड्डी की कई कैंसर-रहित (मामूली) असमान्यताएं हड्डी के ट्यूमर से मिलती-जुलती हो सकती हैं लेकिन ट्यूमर नहीं होती।
(हड्डी के ट्यूमर का विवरण भी देखें।)
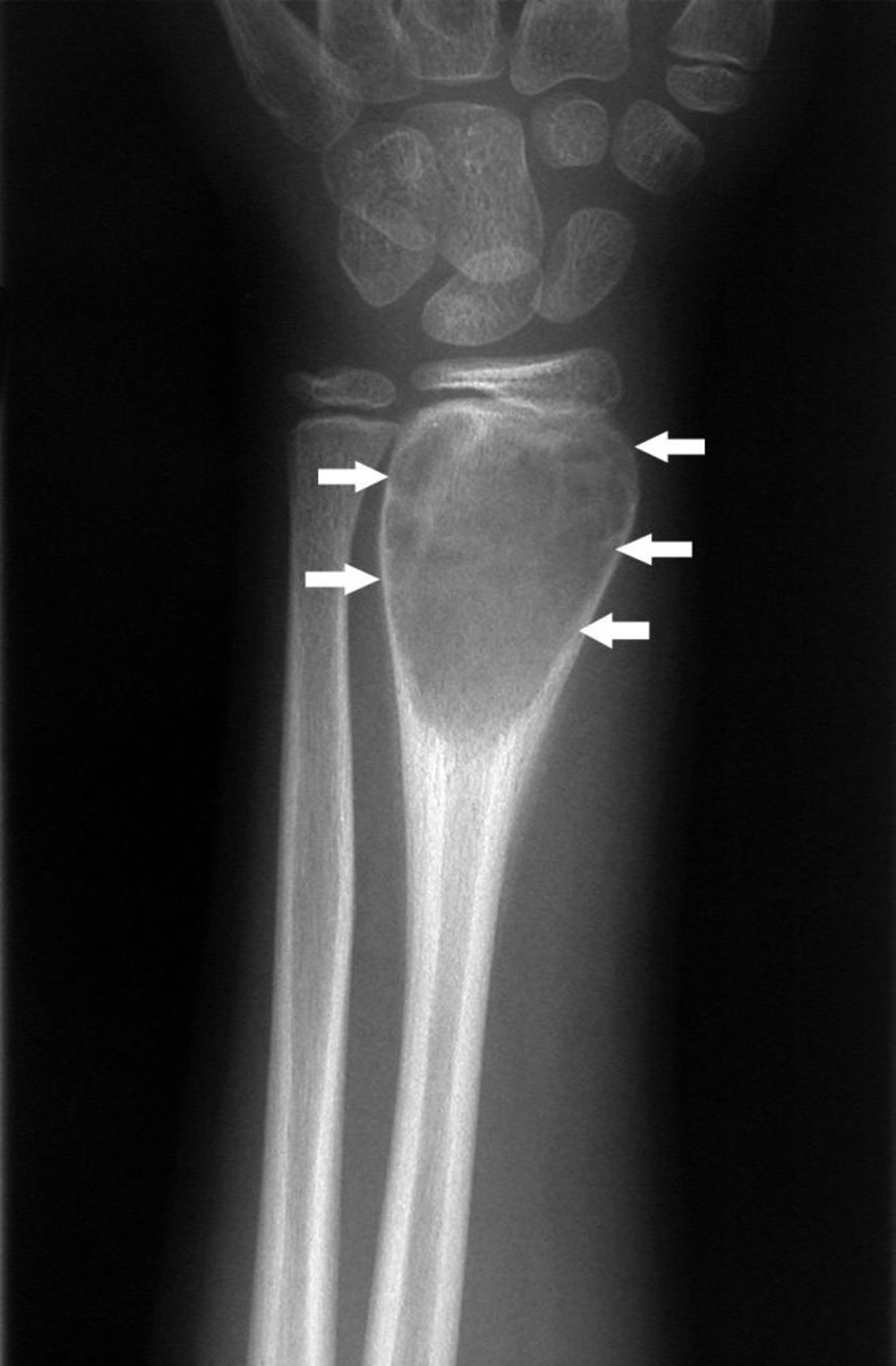
हड्डी के एन्युरिज़्मल सिस्ट
हड्डी के एन्युरिज़्मल सिस्ट आमतौर पर लोगों के 25 की आयु तक पहुँचने के पहले विकसित होते हैं, और उनका कारण अज्ञात है। ये सिस्ट खून से भरी कई थैलियों से बने होते हैं जो एक समूह में रहती हैं। य सिस्ट आमतौर पर लंबी हड्डियों (ऊपरी बाँह और जाँघ की हड्डियों) की अंदरूनी किनारे के पास होते हैं, लेकिन लगभग कोई भी हड्डी प्रभावित हो सकती है। सिस्ट धीरे-धीरे बढ़ते हैं। दर्द और सूजन आम होते हैं। सिस्ट, निदान के कुछ सप्ताह से लेकर कुछ वर्षों पहले से मौजूद हो सकते हैं।
कलाई का यह एक्स-रे एक हड्डी के एन्युरिज़्मल सिस्ट (तीर) को दिखाता है।
मिशेल जे. जॉयस, MD, और हैकन इलास्लैन MD के छवि सौजन्य से।
हड्डी के एन्युरिज़्मल सिस्ट की जांच करने के लिए, डॉक्टर एक्स-रे और मैग्नेटिक रीसोनेंस इमेजिंग (MRI) करते हैं। डॉक्टर माइक्रोस्कोप में परीक्षण (बायोप्सी) के लिए एक ऊतक भी निकालते हैं।
पूरे सिस्ट को सर्जरी से निकालना सबसे सफल इलाज होता है, लेकिन कभी-कभी सिस्ट लौट आते हैं, विशेषकर यदि उन्हें पूरी तरह से निकाला न गया हो। हड्डी के किसी एन्युरिज़्मल सिस्ट में डॉक्सीसाइक्लिन (एक एंटीबायोटिक), एल्बुमिन, और एक हवा जो इंजेक्ट करने योग्य बुलबुले बनाती है, भी इंजेक्ट की जा सकती है। 1 या 2 से ज़्यादा इंजेक्शन की ज़रूरत हो सकती है। अल्कोहल युक्त अन्य मिश्रणों का उपयोग भी किया जाता है। जब संभव हो रेडिएशन से बचना चाहिए क्योंकि कैंसरयुक्त ट्यूमर कभी-कभी बाद में विकसित हो जाते हैं। हालांकि, रेडिएशन स्पाइन के ऐसे सिस्ट के लिए पसंदीदा इलाज हो सकता है जो सर्जरी या इंजेक्शन से ठीक न किए जा सकते हों और स्पाइनल कॉर्ड पर दबाव डाल रहे हों।
यूनिकैमेरल हड्डी के सिस्ट (साधारण हड्डी के सिस्ट)
यूनिकैमेरल हड्डी के सिस्ट बच्चों की बाँहों या पैरों की ग्रोथ प्लेट के पास में होते हैं। ग्रोथ प्लेट वे होती हैं जो बच्चों को बढ़ने में सक्षम बनाती हैं।
सिस्ट अक्सर आस-पास की हड्डियों को पतली कर देते हैं जिसके कारण वे टूट (फ्रैक्चर) सकती हैं। जो सिस्ट 2 इंच (लगभग 5 सेंटीमीटर) से कम लंबे या चौड़े होते हैं वे ठीक हो सकते हैं और फ्रैक्चर के ठीक होने के साथ-साथ समाप्त हो सकते हैं। जो सिस्ट 2 इंच लंबे या चौड़े होते हैं, विशेषकर बच्चों में, उन्हें इलाज की आवश्यकता होती है। हालांकि, हड्डी के व्यास के 85% से बड़े आकार का सिस्ट या 0.5 मिलीमीटर से छोटा हड्डी का आवरण फ्रैक्चर के जोखिम का बेहतर अनुमान लगा सकता है।
यूनिकैमेरल हड्डी के सिस्ट की जांच करने के लिए, डॉक्टर एक्स-रे करते हैं। अधिकतर समय, जांच करने के लिए एक्स-रे काफी होते हैं, लेकिन कभी-कभी दूसरे इमेजिंग परीक्षण, जैसे मैग्नेटिक रीसोनेंस इमेजिंग (MRI) या कभी-कभी कंप्यूटेड टोमोग्राफ़ी (CT), किए जाते हैं।
यह एक्स-रे ऊपरी बाँह की हड्डी में एक साधारण यूनिकैमेरल हड्डी के सिस्ट (तीर) को दिखाता है।
मिशेल जे. जॉयस, MD, और हैकन इलास्लैन MD के छवि सौजन्य से।
अक्सर इन सिस्ट का इलाज कॉर्टिकोस्टेरॉइड (अक्सर बार-बार) इंजेक्शन, संसाधित हड्डी की पुट्टी या हड्डी के सिंथेटिक विकल्पों के साथ किया जाता है। कभी-कभी इलाज चम्मच जैसे आकार वाले उपकरण से हड्डी को स्क्रैप करके सिस्ट की सामग्री को निकालने की सर्जरी (क्यूरेटाज) और किसी एक जगह से दूसरी जगह पर हड्डी का ट्रांसप्लांटेशन (बोन ग्राफ़्टिंग) या किसी अन्य व्यक्ति की संसाधित हड्डी का उपयोग (ऐलोग्राफ़्ट) होता है। इलाज कोई भी हो, सिस्ट रह जाता है या लगभग 10 से 15% लोगों में लौट आता है।



