La rougeole est une infection virale très contagieuse, plus fréquente chez les enfants vivant dans des régions sans vaccination généralisée. Elle se caractérise par de la fièvre, de la toux, un coryza, une conjonctivite, un énanthème caractéristique (taches de Koplik) sur la muqueuse orale, et un exanthème maculopapuleux qui se propage céphalocaudalement. Les complications, principalement la pneumonie ou l'encéphalite, peuvent être fatales, en particulier dans les régions médicalement mal desservies. Le diagnostic est généralement clinique avec confirmation par test de réaction en chaîne par polymérase. Le traitement est symptomatique; de la vitamine A est administrée aux enfants. La vaccination est efficace en prévention.
Dans le monde, la rougeole infecte environ 10 millions de personnes et provoque environ 100 000 décès chaque année, principalement chez l'enfant (1, 2, 3). L'incidence de l'infection et la mortalité sont significativement plus élevées dans les populations avec de faibles taux de vaccination contre la rougeole. Les jeunes enfants, les femmes enceintes, les personnes dénutries et immunodéprimées présentent un risque plus élevé de complications résultant de la rougeole.
La rougeole a été rare aux États-Unis grâce à la vaccination systématique des enfants; la rougeole endémique a été déclarée éteinte aux États-Unis en 2000. Une moyenne de 71 cas/an ont été signalés aux Centers for Disease Control and Prevention (CDC) de 2000 à 2010 (4).
En 2019, l'incidence annuelle aux États-Unis avait augmenté à 1274 cas, le nombre le plus élevé signalé depuis 1992 (4). Cette augmentation est principalement due à la propagation parmi les personnes non vaccinées. En 2020, pendant la pandémie mondiale de COVID-19, seuls 13 cas de rougeole ont été signalés aux États-Unis. De 2020 à 2023, il y a eu un total de 242 cas confirmés, et, en 2024, il y a eu 285 cas (4).
En 2025 (au 22 mai), 1046 cas confirmés et 3 décès ont été signalés aux États-Unis. Il y a eu 14 flambées épidémiques (définies comme ≥ 3 cas liés), et 92% des cas confirmés (961 sur 1046) ont été associés à des flambées épidémiques (4). À titre de comparaison, en 2024, 16 flambées épidémiques ont été signalées et 69% des cas (198 sur 285) étaient associés à des flambées épidémiques.
L'incidence croissante et le nombre de flambées épidémiques de rougeole sont associés à la diminution des taux de vaccination, causée par divers facteurs, notamment l'hésitation vaccinale et les perturbations des programmes de vaccination (4, 5). Aux États-Unis, le refus parental de la vaccination de leurs enfants est devenu plus fréquent, et la diminution des taux de vaccination a entraîné une augmentation des taux de maladies évitables par la vaccination chez l'enfant. La couverture vaccinale chez les enfants de maternelle aux États-Unis a diminué de 95,2% durant l'année scolaire 2019-2020 à 92,7% durant l'année scolaire 2023-2024 (4). Le seuil d'immunité collective (la proportion d'une population immunisée contre une maladie infectieuse par immunité innée, vaccination, ou infection antérieure qui est requise pour prévenir la transmission de la maladie) pour la rougeole aux États-Unis est estimé être de 92 à 95% (6, 7).
Références générales
1. World Health Organization: The Global Health Observatory; Measles - number of reported cases. Accessed May 9, 2025.
2. World Health Organization: Facts Sheet; Measles. Accessed May 9, 2025.
3. Minta AA, Ferrari M, Antoni S, et al. Progress Toward Measles Elimination - Worldwide, 2000-2023. MMWR Morb Mortal Wkly Rep. 2024;73(45):1036-1042. Published 2024 Nov 14. doi:10.15585/mmwr.mm7345a4
4. Centers for Disease Control and Prevention (CDC): Measles Cases and Outbreaks. Accessed May 9, 2025.
5. Zucker JR, Rosen JB, Iwamoto M, et al. Consequences of Undervaccination - Measles Outbreak, New York City, 2018-2019. N Engl J Med. 2020;382(11):1009-1017. doi:10.1056/NEJMoa1912514
6. Measles vaccines: WHO position paper – April 2017. Note de synthèse de l’OMS sur les vaccins contre la rougeole – avril 2017. Wkly Epidemiol Rec. 2017;92(17):205-227. Published 2017 Apr 28.
7. Funk S, Knapp JK, Lebo E, et al. Combining serological and contact data to derive target immunity levels for achieving and maintaining measles elimination. BMC Med. 2019;17(1):180. Published 2019 Sep 25. doi:10.1186/s12916-019-1413-7
Physiopathologie de la rougeole
La rougeole est causée par un paramyxovirus; c'est une maladie humaine sans réservoir animal ou état de portage asymptomatique connu. Elle est extrêmement contagieuse; le taux d'attaque secondaire est > 90% chez les personnes sensibles qui sont exposés (1). C'est l'un des virus humains les plus contagieux connus (2).
La rougeole se transmet principalement durant la phase prodromique ou le stade éruptif précoce de l'éruption cutanée. La transmission s'effectue habituellement par de grosses gouttelettes respiratoires qui sont projetées par la toux et restent brièvement en suspension sur une courte distance. La transmission peut également s'effectuer par de petites gouttelettes aérosolisées qui peuvent rester en suspension (et ainsi être inhalées) jusqu'à 2 heures dans des espaces clos (p. ex., dans une salle d'examen en clinique). La transmission par des vecteurs passifs (fomites) peut être possible mais est cliniquement moins importante que la transmission aérienne parce que le virus de la rougeole est supposé survivre pendant une courte durée seulement sur des surfaces sèches (3).
Le voyage international ou domestique vers des zones où la rougeole est endémique ou où une flambée épidémique est active est un facteur de risque pour la transmission de la rougeole.
La contagiosité débute 4 jours avant l'apparition de l'éruption et se poursuit jusqu'à 4 jours après. Les patients immunodéprimés peuvent avoir une sécrétion prolongée du virus de la rougeole dans leur tractus respiratoire.
Références pour la physiopathologie
1. Centers for Disease Control and Prevention (CDC): Yellow Book: Health Information for International Travel. Measles (Rubeola). 2026.
2. Strebel PM, Orenstein WA. Measles. N Engl J Med. 2019;381(4):349-357. doi:10.1056/NEJMcp1905181
3. Bischoff WE, McNall RJ, Blevins MW, et al. Detection of Measles Virus RNA in Air and Surface Specimens in a Hospital Setting. J Infect Dis. 2016;213(4):600-603. doi:10.1093/infdis/jiv465
Symptomatologie de la rougeole
L'évolution typique d'une infection rougeoleuse est la suivante (le nombre de jours est approximatif et la durée peut varier) (1, 2):
Exposition
Période d'incubation: 7 à 21 (moyenne 11 à 12 jours) jours entre l'exposition et le début de la fièvre
Prodrome: 3 à 7 jours à partir du début des symptômes jusqu'à l'apparition de l'éruption cutanée
Taches de Koplik (énanthème): apparaissent environ 2 jours avant et persistent 1 à 2 jours après le début de l'éruption cutanée
Éruption cutanée (exanthème): l'éruption cutanée est présente pendant 4 à 7 jours puis commence à s'estomper rapidement.
Guérison (résolution des symptômes et de l'éruption cutanée): 7 jours après le début de l'éruption cutanée dans les cas non compliqués
Période infectieuse: les patients infectés sont contagieux de 4 jours avant l'apparition de l'éruption cutanée à 4 jours après son apparition.
Après exposition et une période d'incubation moyenne de 11 à 12 jours (allant de 7 à 20 jours [3]), la rougeole débute par un prodrome de fièvre, coryza, toux quinteuse et conjonctivite tarsienne.
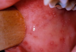
Les taches de Koplik de la muqueuse buccale ressemblent à des grains de sable blanc entourés d'aréoles rouges. Ces énanthèmes sont pathognomoniques et apparaissent chez 70% des patients (2). Les taches de Koplik apparaissent pendant le prodrome, avant le début de l'exanthème, généralement sur la muqueuse buccale, en regard des 1ères et 2e molaires supérieures. Elles peuvent être étendues, provoquant un érythème marbré diffus de la muqueuse buccale.
Les taches de Koplik sont classiquement décrites comme des taches rouge vif avec des centres blancs ou blanc bleuâtre qui peuvent ressembler à des grains de sable. Elles peuvent se former n'importe où dans la bouche, précèdent souvent l'exanthème généralisé et sont pathognomoniques de la rougeole.
Les taches de Koplik sont classiquement décrites comme des taches rouge vif avec des centres blancs ou blanc bleuâtre q
Images courtesy of the Public Health Image Library of the Centers for Disease Control and Prevention.
Les taches de Koplik sont classiquement décrites comme des taches rouge vif avec des centres blancs ou blanc bleuâtre qui peuvent ressembler à des grains de sable. Elles peuvent se former n'importe où dans la bouche, précèdent souvent l'exanthème généralisé et sont pathognomoniques de la rougeole.
Les taches de Koplik sont classiquement décrites comme des taches rouge vif avec des centres blancs ou blanc bleuâtre q
DR P. MARAZZI/SCIENCE PHOTO LIBRARY
Les taches de Koplik sont classiquement décrites comme des taches rouge vif avec des centres blancs ou blanc bleuâtre qui peuvent ressembler à des grains de sable. Elles peuvent se former n'importe où dans la bouche, précèdent souvent l'exanthème généralisé et sont pathognomoniques de la rougeole.
Les taches de Koplik sont classiquement décrites comme des taches rouge vif avec des centres blancs ou blanc bleuâtre q
DR P. MARAZZI/SCIENCE PHOTO LIBRARY
L'éruption cutanée apparaît environ 3 à 7 jours après le début des symptômes prodromiques, habituellement 1 à 2 jours après l'apparition des taches de Koplik. Elle apparaît d'abord sur le visage, devant et derrière les oreilles et sur les côtés du cou, faites de macules irrégulières, auxquelles s'ajoutent ensuite des papules. L'éruption cutanée est érythémateuse mais peut apparaître plus foncée chez les patients à peau foncée. En 24–48 heures, les lésions apparaissent sur le tronc et les extrémités (y compris les paumes des mains et les plantes des pieds) tout en commençant à s'atténuer sur le visage. Une desquamation peut survenir après que l'éruption cutanée faciale s'estompe. Des pétéchies et des ecchymoses peuvent être associées dans les cas sévères.
La rougeole se manifeste par une éruption cutanée maculo-papuleuse diffuse qui devient confluente et se propage selon un schéma céphalo-caudal.
La rougeole se manifeste par une éruption cutanée maculo-papuleuse diffuse qui devient confluente et se propage selon u
Image courtoisie de the Public Health Image Library of the Centers for Disease Control and Prevention.
La rougeole se manifeste par une éruption cutanée maculo-papuleuse diffuse qui devient confluente et se propage selon un schéma céphalo-caudal.
La rougeole se manifeste par une éruption cutanée maculo-papuleuse diffuse qui devient confluente et se propage selon u
SCIENCE PHOTO LIBRARY
La rougeole se manifeste par une éruption cutanée maculo-papuleuse diffuse qui devient confluente et se propage selon un schéma céphalo-caudal.
La rougeole se manifeste par une éruption cutanée maculo-papuleuse diffuse qui devient confluente et se propage selon u
CDC/ Betty G. Partin
À la phase d'état de la maladie, un patient peut avoir une forte fièvre, parfois supérieure à 40° C, avec un œdème périorbitaire, une conjonctivite, une photophobie, une toux quinteuse, une éruption étendue et une prostration. La symptomatologie générale est proportionnelle à la gravité de l'éruption cutanée.
L'éruption cutanée commence généralement à s'estomper rapidement environ 4 à 7 jours après son apparition, laissant une décoloration brun cuivré ou hyperpigmentée, suivie d'une desquamation après que l'éruption cutanée s'estompe. À peu près au même moment, la fièvre diminue, et le patient se sent mieux.
Les patients infectés sont contagieux de 4 jours avant à 4 jours après le début de l'éruption cutanée.
Les patients immunodéprimés peuvent ne pas avoir d'éruption et peuvent développer une pneumonie à cellules géantes sévère et progressive.
Complications de la rougeole
Les complications de la rougeole sont les suivantes:
Une surinfection bactérienne, y compris une otite moyenne, une pneumonie
Amnésie immunitaire
Une hépatite transitoire
Encéphalite
Un purpura thrombopénique aigu
Panencéphalite subaiguë sclérosante
Dans les pays à ressources élevées, les taux de complications de la rougeole incluent l'otite moyenne (7 à 9%), la pneumonie (1 à 6%), la diarrhée (8%), l'encéphalite post-infectieuse (environ 1/1000), et la mort (environ 1/1000) (2). La panencéphalite sclérosante subaiguë est une complication tardive qui survient chez environ 1/10 000 patients qui ont une infection rougeoleuse antérieure. Les taux de complications sont plus élevés chez les jeunes enfants et chez les femmes enceintes, chez les patients malnutris, ou immunodéprimés. La rougeole supprime transitoirement l'immunité à médiation cellulaire, entraînant une amnésie immunitaire et augmentant le risque d'infections subséquentes pendant des mois à des années.
Les surinfections bactériennes comprennent la pneumonie, la laryngotrachéobronchite et l'otite moyenne. Une surinfection bactérienne est suspectée sur des signes focaux pertinents ou une réapparition de la fièvre, une hyperleucocytose ou des signes de faiblesse.
Une pneumonie causée par l'infection par le virus de la rougeole survient chez jusqu'à 6% des patients, même pendant une infection apparemment non compliquée (2). Dans les cas de rougeole mortelle chez les nourrissons, la pneumonie est souvent la cause de la mort.
L'immunosuppression induite par la rougeole peut aggraver une tuberculose active et empêcher temporairement la réaction à la tuberculine et aux antigènes de l'histoplasmine lors des tests cutanés.
Une hépatite transitoire et une diarrhée peuvent survenir au cours de la phase aiguë de l'infection.
Une encéphalite postinfectieuse se produit dans 1/1000 enfants, habituellement 2 jours à 2 semaines après le début de l'exanthème (4), commençant souvent par une recrudescence de forte fièvre, des céphalées, des convulsions et un coma (2). On observe habituellement dans le liquide céphalorachidien une lymphocytose entre 50 et 500/mcL, une élévation modérée de la protéinorachie, mais le liquide céphalorachidien peut être initialement normal. L'encéphalite peut se résorber en environ 1 semaine ou persister plus longtemps, et être cause de morbidité et de décès.
Un purpura thrombopénique aigu peut survenir après la disparition de l'infection et entraîner une légère tendance hémorragique autolimitée; l'hémorragie est parfois sévère.
La panencéphalite subaiguë sclérosante est une maladie rare, progressive, finalement fatale, complication tardive de la rougeole. La panencéphalite subaiguë sclérosante est une maladie dégénérative qui peut se manifester jusqu'à 7 à 10 (ou plus) années après l'infection rougeoleuse et est généralement fatale dans les quelques années suivant le début des symptômes. Le risque de panencéphalite subaiguë sclérosante est beaucoup plus élevé chez les enfants originellement infectés par la rougeole à moins de 5 ans (1:1300 cas), et en particulier chez les enfants infectés à moins de 12 mois (1:600 cas) (5).
Le syndrome rougeoleux atypique est habituellement observé chez les sujets vaccinés par l'un des premiers vaccins antirougeoleux à virus tués qui ne sont plus commercialisés depuis 1968 et qui ont été utilisés aux États-Unis de 1963 à 1967 et jusqu'au début des années 1970 dans certains autres pays (6). Ces vaccins anciens ont modifié l'expression de la maladie chez certains patients incomplètement protégés et par la suite infectés par la rougeole de type sauvage. Les manifestations de la rougeole se sont développées plus soudainement, et une atteinte pulmonaire significative était plus fréquente (7). Les cas confirmés sont extrêmement rares depuis les années 1980 (8). La rougeole atypique est remarquable principalement parce que les patients qui ont reçu un vaccin anti-rougeoleux pendant cette période peuvent rapporter des antécédents de vaccination contre la rougeole et d'infection rougeoleuse.
Références pour la symptomatologie
1. Centers for Disease Control and Prevention (CDC): Yellow Book: Health Information for International Travel. Measles (Rubeola). 2026.
2. Strebel PM, Orenstein WA. Measles. N Engl J Med. 2019;381(4):349-357. doi:10.1056/NEJMcp1905181
3. Tanaka H, Takahashi Y, Matsumoto S, et al. Shorter incubation period in symptomatic measles patients who had no history of measles vaccination. Vaccine. 2025;45:126652. doi:10.1016/j.vaccine.2024.126652
4. CDC: Clinical Overview of Measles. Accessed May 5, 2025.
5. Wendorf KA, Winter K, Zipprich J, et al. Subacute Sclerosing Panencephalitis: The Devastating Measles Complication That Might Be More Common Than Previously Estimated. Clin Infect Dis. 2017;65(2):226-232. doi:10.1093/cid/cix302
6. CDC: Measles prevention. MMWR Suppl. 1989;38(9):1–18.
7. Annunziato D, Kaplan MH, Hall WW, et al. Atypical measles syndrome: pathologic and serologic findings. Pediatrics. 1982;70(2):203-209.
8. Melenotte C, Cassir N, Tessonnier L, Brouqui P. Atypical measles syndrome in adults: still around. BMJ Case Rep. 2015;2015:bcr2015211054. Published 2015 Sep 23. doi:10.1136/bcr-2015-211054
Diagnostic de la rougeole
L'anamnèse et l'examen clinique
Détection virale par transcription inverse – réaction en chaîne par polymérase (RT-PCR)
Tests sérologiques
La rougeole peut être suspectée chez le patient exposé qui présente un coryza, une conjonctivite, une photophobie et une toux. Les cliniciens doivent avoir un niveau élevé de suspicion clinique lorsque l'éruption cutanée apparaît chez des patients non vaccinés ou incomplètement vaccinés avec des antécédents de voyage ou une exposition connue.
Le diagnostic est basé sur la découverte de taches de Koplik, qui sont pathognomoniques, ou d'une éruption cutanée caractéristique chez un patient non immunisé dans le cas d'une exposition connue ou suspectée.
Une confirmation par le laboratoire doit être effectuée. Un prélèvement nasopharyngé ou de gorge est effectué pour les tests RT-PCR; un échantillon d'urine est également collecté pour les tests RT-PCR, si possible (1, 2). Un échantillon de sang est prélevé pour la sérologie. Une augmentation des taux d'anticorps IgG dans le sérum entre la phase aiguë et à la phase de convalescence est très informative, mais l'obtention de ces éléments retarde le diagnostic. Les taux d'IgM indiquent une infection aiguë (ou récente) mais peuvent ne pas être détectables avant 3 jours après le début et peuvent être absents ou transitoirement présents chez les personnes qui ont été précédemment vaccinées (3). Tous les cas suspectés de rougeole doivent être signalés aux autorités sanitaires sans attendre la confirmation par des examens de laboratoire. (Voir aussi CDC: MMRV Testing for Clinicians pour des informations à jour concernant les tests pour la rougeole aiguë et pour l'immunité contre la rougeole.)
Une numération formule sanguine complète peut montrer une lymphopénie et une thrombocytopénie mais n'est pas nécessaire pour le diagnostic de la rougeole.
Le diagnostic différentiel comprend la rubéole, la scarlatine, une éruption médicamenteuse, la maladie sérique (voir tableau ), la roséole infantile, la mononucléose infectieuse, l'érythème infectieux, les maladies transmises par les tiques, la maladie de Kawasaki, et les infections à échovirus et à virus coxsackie (voir tableau ). La symptomatologie peut entraîner une confusion diagnostique dans les régions où la rougeole est très rare.
Certaines de ces pathologies peuvent être distinguées de la rougeole typique de la manière suivante:
Rubéole: les prodromes identifiables sont absents, la fièvre et les autres symptômes constitutionnels sont absents ou moins sévères, des ganglions lymphatiques rétro-auriculaires et sous-occipitaux sont hypertrophiés (et habituellement douloureux), et la durée d'évolution est courte.
Éruptions médicamenteuses: une éruption médicamenteuse ressemble souvent à l'éruption de la rougeole, mais les prodromes sont absents, il n'y a pas de progression céphalocaudale ni de toux et il existe habituellement des antécédents d'exposition récente à un médicament.
Roséole infantile: l'éruption ressemble à celle de la rougeole, mais elle est rare chez l'enfant de > 3 ans. La température initiale est habituellement élevée, les taches de Koplik et une sensation de malaise général sont absents. La défervescence et l'éruption se produisent simultanément.
Références pour le diagnostic
1. Centers for Disease Control and Prevention (CDC): Clinical Overview of Measles. Accessed May 5, 2025.
2. Hübschen JM, Gouandjika-Vasilache I, Dina J. Measles. Lancet. 2022;399(10325):678-690. doi:10.1016/S0140-6736(21)02004-3
3. CDC: Laboratory Testing for Measles. Accessed May 16, 2025.
Traitement de la rougeole
Soins de support
Chez l'enfant, vitamine A
Antibiotiques en cas de surinfection bactérienne
Le traitement de la rougeole est un traitement de support, y compris pour l'encéphalite.
Les patients chez qui une rougeole est suspectée doivent être isolés immédiatement (1). Patients qui sont par ailleurs en bonne santé et qui peuvent être isolés et pris en charge en ambulatoire.
Les patients hospitalisés atteints de rougeole doivent être pris en charge en mettant en œuvre des précautions standard, de contact et aériennes. Des chambres d'isolement pour patients présentant des infections aéroportées et des respirateurs N-95 ou un équipement de protection individuelle similaire sont recommandés.
Il a été prouvé qu'une supplémentation en vitamine A pouvait réduire la morbidité et la mortalité dues à la rougeole chez l'enfant dans les pays dont le système médical est peu efficace. Puisque les faibles taux sériques de vitamine A sont associés aux formes sévères de la rougeole, un traitement par vitamine A est recommandé chez tous les enfants atteints de rougeole (2, 3). La dose est administrée par voie orale 1 fois/jour pendant 2 jours et dépend de l'âge de l'enfant:
≥ 12 mois: 200 000 unités internationales (UI)
6–11 mois: 100 000 UI
< 6 mois: 50 000 UI
Chez les enfants présentant des signes cliniques de carence en vitamine A (p. ex., vision nocturne réduite, xérophtalmie et yeux secs, peau et muqueuses sèches ou kératinisées, immunité affaiblie, anomalies de croissance chez les jeunes enfants), une dose unique supplémentaire spécifique à l'âge de vitamine A est répétée 2 à 4 semaines plus tard.
Des antibiotiques sont administrés de manière appropriée si une surinfection bactérienne est diagnostiquée.
Références pour le traitement
1. Centers for Disease Control and Prevention (CDC): Expanding Measles Outbreak in the United States and Guidance for the Upcoming Travel Season. Recommendations for Healthcare Professionals. Accessed May 14, 2025.
2. World Health Organization. (2020). Guide for clinical case management and infection prevention and control during a measles outbreak. 2020.
3. CDC: Yellow Book: Health Information for International Travel. Measles (Rubeola). 2026.
Pronostic de la rougeole
La mortalité chez les patients atteints de rougeole est d'environ 1 à 3/1000 enfants aux États-Unis; elle est significativement plus élevée (2 à 3%) dans les régions médicalement mal desservies (1, 2) et est d'environ 1% dans le monde (3, 4).
L'infection des nourrissons, les difficultés d'accès aux soins médicaux, la malnutrition sévère, la carence en vitamine A et la pneumonie comme complication sont associés à un risque accru de mortalité (5, 6).
Voir aussi Complications de la rougeole.
Références pour le pronostic
1. Gindler J, Tinker S, Markowitz L, Atkinson W, Dales L, Papania MJ. Acute measles mortality in the United States, 1987-2002. J Infect Dis. 2004;189 Suppl 1:S69-S77. doi:10.1086/378565
2. Lee B, Ying M, Papania MJ, Stevenson J, Seward JF, Hutchins SS. Measles hospitalizations, United States, 1985-2002. J Infect Dis. 2004;189 Suppl 1:S210-S215. doi:10.1086/381555
3. Minta AA, Ferrari M, Antoni S, et al. Progress Toward Measles Elimination - Worldwide, 2000-2023. MMWR Morb Mortal Wkly Rep. 2024;73(45):1036-1042. Published 2024 Nov 14. doi:10.15585/mmwr.mm7345a4
4. Sbarra AN, Mosser JF, Jit M, et al. Estimating national-level measles case-fatality ratios in low-income and middle-income countries: an updated systematic review and modelling study. Lancet Glob Health. 2023;11(4):e516-e524. doi:10.1016/S2214-109X(23)00043-8
5. Strebel PM, Orenstein WA. Measles. N Engl J Med. 2019;381(4):349-357. doi:10.1056/NEJMcp1905181
6. Donadel M, Stanescu A, Pistol A, et al. Risk factors for measles deaths among children during a Nationwide measles outbreak - Romania, 2016-2018. BMC Infect Dis. 2021;21(1):279. Published 2021 Mar 19. doi:10.1186/s12879-021-05966-3
Prévention de la rougeole
Les personnes qui ont eu une infection par la rougeole de type sauvage sont considérées comme ayant une immunité à vie (y compris les adultes nés avant 1957 en raison d'une exposition présumée au virus). Un nourrisson dont la mère est immunisée contre la rougeole (p. ex., car elle a eu la maladie ou a été vaccinée) reçoit des anticorps maternels par voie transplacentaire; ces anticorps fournissent généralement une protection pendant les 6–12 premiers mois de vie.
Un vaccin à virus vivant atténué contre la rougeole, les oreillons et la rubéole (ROR) est systématiquement administré aux enfants dans la plupart des pays qui ont une infrastructure de soins de santé solide. Aux États-Unis, le vaccin rougeole-oreillons-rubéole est recommandé pour les enfants et est administré en 2 doses: 1 entre 12 et 15 mois et 1 entre 4 et 6 ans. La réception de 2 doses de vaccin ROR est considérée comme protectrice contre la rougeole.
La vaccination ROR confère généralement une immunité durable et la vaccination systématique chez l'enfant a réduit l'incidence de la rougeole aux États-Unis de 99% (1). Une grande méta-analyse des études de cohorte a révélé que l'efficacité du vaccin ROR dans la prévention de la rougeole chez l'enfant de 9 mois à 15 ans était de 95% après une dose et de 96% après deux doses (2). Dans le monde, de 2000 à 2023, on estime que 60,3 millions de décès dus à la rougeole ont été évités par la vaccination; cependant, aucune région n'avait atteint et maintenu l'élimination de la rougeole à la fin de 2023 (3).
Le calendrier vaccinal ROR à 2 doses a été introduit en 1989; par conséquent, les adultes nés de 1957 à 1989 peuvent n'avoir reçu qu'une seule dose. Dans le cas des adultes de ce groupe, 1 à 2 doses supplémentaires sont recommandées en l'absence de preuve d'immunité avec risque d'exposition élevé (p. ex., étudiants dans les institutions post-secondaires, professionnels de la santé, voyageurs internationaux, contacts de personnes immunodéprimées, infection par le VIH) (4, 5, 6). De plus, un petit nombre d'adultes vaccinés de 1963 à 1967 peuvent avoir reçu le vaccin contre la rougeole tué (inactif), sont considérés comme non vaccinés et doivent être revaccinés.
Le vaccin ROR est un vaccin vivant et est contre-indiqué pendant la grossesse. Il est également contre-indiqué chez certains patients immunodéprimés et chez les patients qui ont eu une réaction anaphylactique à un composant du vaccin ou à une dose précédente de vaccin (7).
Voir Vaccin ROR pour plus d'informations, y compris indications, contre-indications et précautions, dosage et administration et effets indésirables.
Prophylaxie post-exposition
La prévention chez les contacts non immuns qui ne sont pas immunodéprimés est possible en administrant le vaccin rougeole-oreillons-rubéole (ROR) dans les 3 jours suivant l'exposition.
Dans le cas des patients réceptifs qui ne peuvent pas être vaccinés (p. ex., patients sévèrement immunodéprimés ou femmes enceintes), des immunoglobulines humaines contenant des anticorps anti-rougeoleux sont administrées immédiatement (dans les 6 jours). Tous les patients exposés qui ont un déficit immunitaire sévère doivent recevoir des immunoglobulines post-exposition indépendamment du statut d'immunisation.
Les patients qui ont reçu des immunoglobulines IM doivent recevoir le vaccin ROR 6 mois plus tard, et les patients qui ont reçu des immunoglobulines IV doivent recevoir le vaccin ROR 8 mois plus tard, s'ils ont ≥ 12 mois et sont par ailleurs éligibles pour la vaccination vivante (5).
Dans une épidémie dans un établissement (p. ex., une école), les contacts sensibles qui refusent ou ne peuvent pas recevoir la vaccination et qui également n'ont pas reçu d'immunoglobulines doivent être exclus de l'institution affectée jusqu'à 21 jours après le début de l'éruption dans ce dernier cas. Les travailleurs de la santé exposés et réceptifs doivent être exclus après l'exposition, et les décisions concernant le retour au travail doivent être guidées par les recommandations de santé publique et doivent inclure la prise en compte du statut immunitaire des travailleurs et du risque pour les autres dans l'environnement de travail.
Références pour la prévention
1. McLean HQ, Fiebelkorn AP, Temte JL, Wallace GS; Centers for Disease Control and Prevention. Prevention of measles, rubella, congenital rubella syndrome, and mumps, 2013: Summary recommendations of the Advisory Committee on Immunization Practices (ACIP). [published correction appears in MMWR Recomm Rep. 2015 Mar 13;64(9):259]. MMWR Recomm Rep. 2013;62(RR-04):1–34.
2. Di Pietrantonj C, Rivetti A, Marchione P, et al. Vaccines for measles, mumps, rubella, and varicella in children. Cochrane Database Syst Rev. 2020;4(4):CD004407. doi:10.1002/14651858.CD004407.pub4
3. Minta AA, Ferrari M, Antoni S, et al. Progress Toward Measles Elimination - Worldwide, 2000-2023. MMWR Morb Mortal Wkly Rep. 2024;73(45):1036-1042. Published 2024 Nov 14. doi:10.15585/mmwr.mm7345a4
4. Centers for Disease Control and Prevention (CDC): Expanding Measles Outbreak in the United States and Guidance for the Upcoming Travel Season. Recommendations for Healthcare Professionals. Accessed May 14, 2025.
5. CDC: Yellow Book: Health Information for International Travel. Measles (Rubeola). 2026.
6. CDC: Measles Vaccine Recommendations. Accessed May 30, 2025.
7. National Center for Immunization and Respiratory Diseases. General recommendations on immunization --- recommendations of the Advisory Committee on Immunization Practices (ACIP) [published correction appears in MMWR Recomm Rep. 2011 Jul 29;60:993]. MMWR Recomm Rep. 2011;60(2):1-64.
Points clés
La vaccination universelle de l'enfance contre la rougeole est sûre et efficace, et le vaccin rougeole-oreillons-rubéole (ROR) doit être administré sauf contre-indication (p. ex., grossesse ou immunodéficience sévère).
L'incidence de la rougeole est très variable en fonction du taux de vaccination de la population.
La rougeole est hautement transmissible, se développant chez > 90% des contacts non immunisés.
La rougeole provoque environ 100 000 décès par an dans le monde, principalement chez les enfants, en particulier ceux résidant dans des zones médicalement mal desservies.
Le traitement est principalement un traitement de support, mais les enfants doivent également recevoir une supplémentation en vitamine A.
Administrer une prophylaxie post-exposition aux contacts sensibles; utiliser le vaccin dans les 3 jours sauf contre-indication, dans ce cas administrer des immunoglobulines dans les 6 jours.



