honeypot link
skip to main content
MSDLe Manuel MSDVersion pour le grand public
SUJETS MÉDICAUX VIVRE EN BONNE SANTÉSYMPTÔMESURGENCESRESSOURCESCOMMENTAIREÀ PROPOS DE
homeSUJETS MÉDICAUX VIVRE EN BONNE SANTÉ
Search icon
  1. <Images
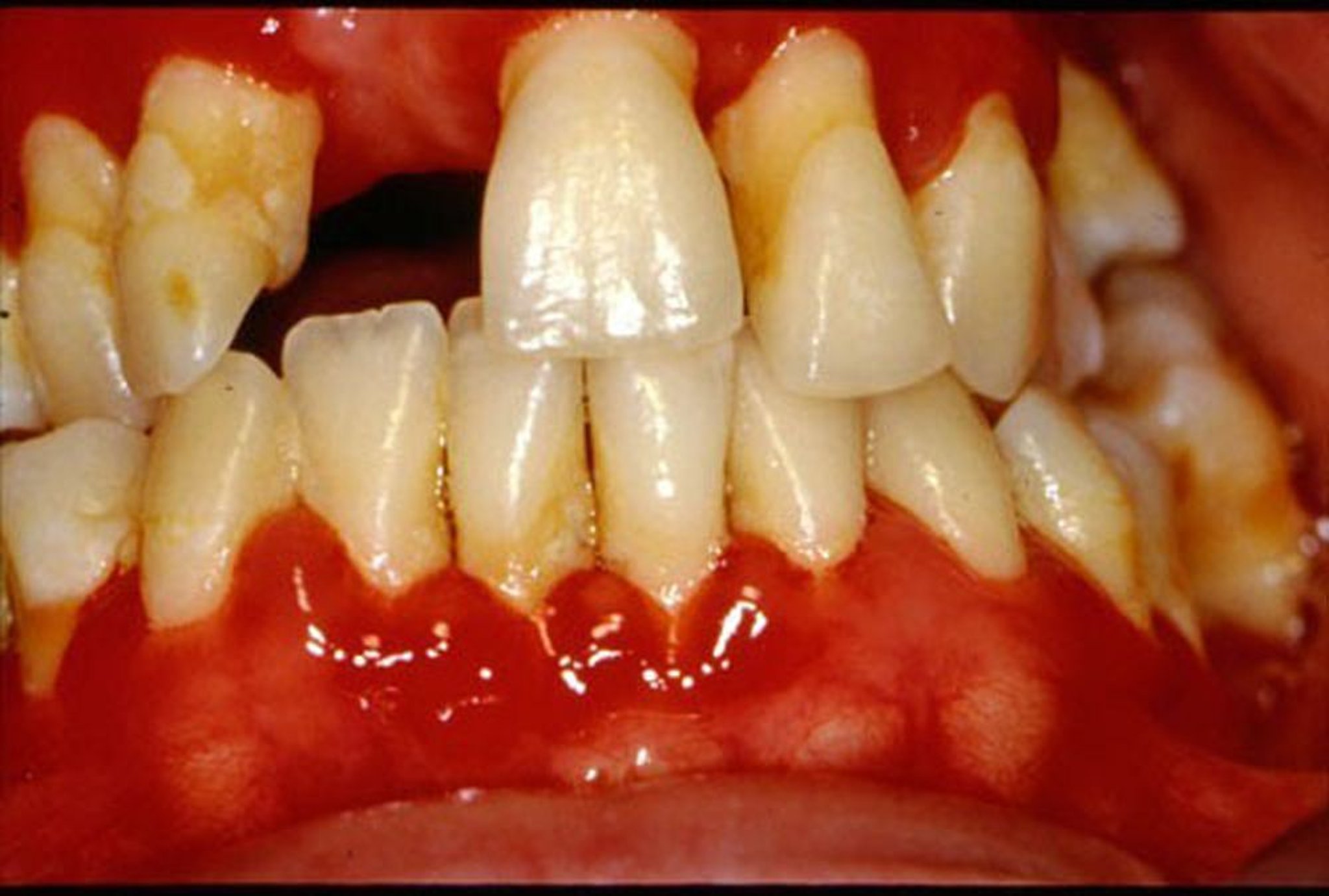
    Gingivite

    Gingivite

    La gingivite induit une gencive rouge et tuméfiée.

    Image fournie par le chirurgien-dentiste Jonathan A. Ship.

    Dans ces sujets
    • Gingivite >
    • Les faits en bref: Gingivite >
    MSD
    • À PROPOS DE
    • Clause de non-responsabilité
    • Autorisations
    • Protection des Renseignements Personnels
    • Cookie Preferences
    • CONTRIBUTEURS
    • Conditions d'utilisation
    • Attribution de licences
    • Contactez-nous
    • CONNAISSANCE MÉDICALE MONDIALE
    • APPLICATIONS MOBILES
    MSD

    Copyright© 2026Merck & Co., Inc., Rahway, NJ, États-Unis et ses sociétés affiliées. Tous droits réservés.