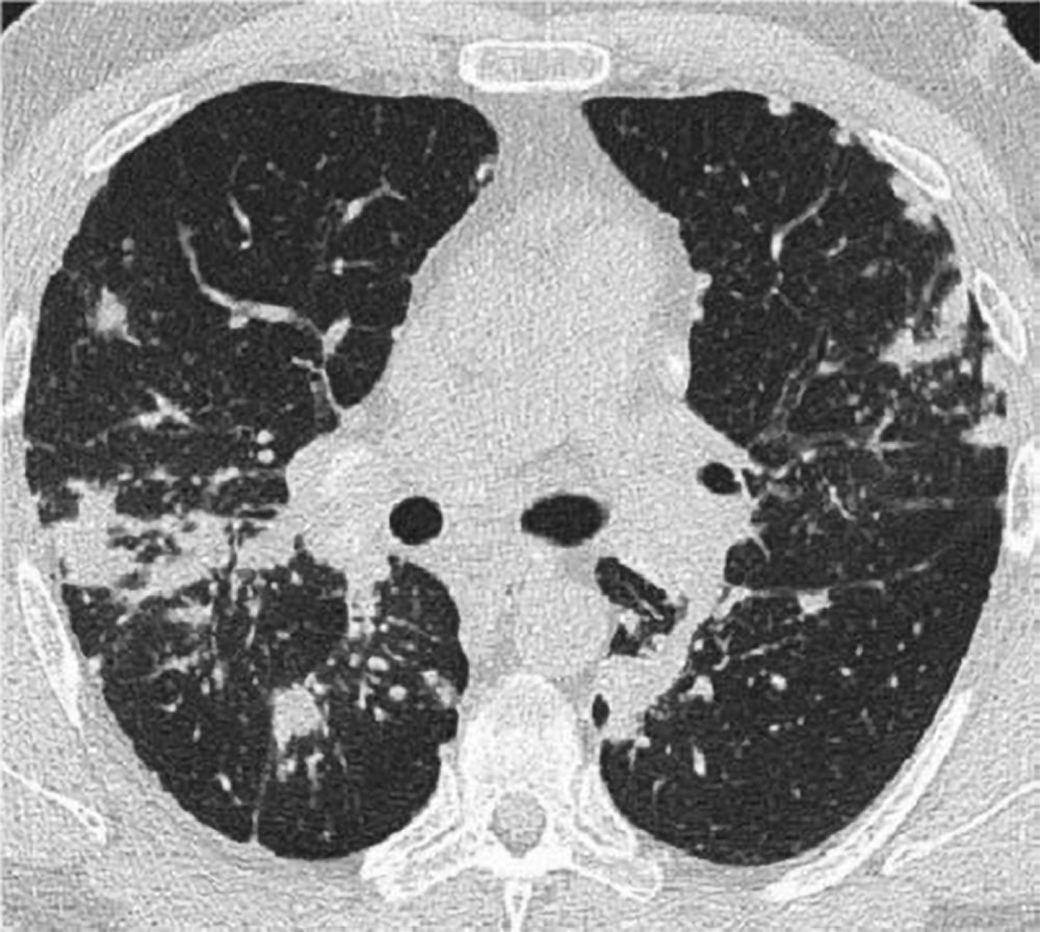
TC de tórax en la sarcoidosis pulmonar
Esta TC de alta resolución del tórax de un paciente con sarcoidosis pulmonar muestra engrosamiento de los haces broncovasculares y formación en "collar de perlas" de los tabiques interlobulillares.
Image courtesy of Birendra P. Sah, MD, FCCP.
En estos temas
