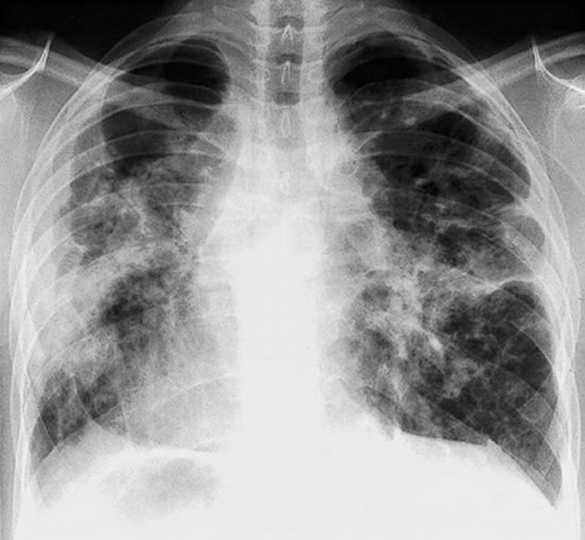
Sarcoidosis (estadio IV)
Fibrosis difusa grave con adenopatía hiliar y cambios quísticos de los lóbulos superiores en el estadio IV de la sarcoidosis.
By permission of the publisher. From: Tanoue L, Elias J. In Bone's Atlas of Pulmonary and Critical Care Medicine. Edited by J Crapo. Philadelphia, Current Medicine, 2005.
En estos temas
