Ecografía Doppler color
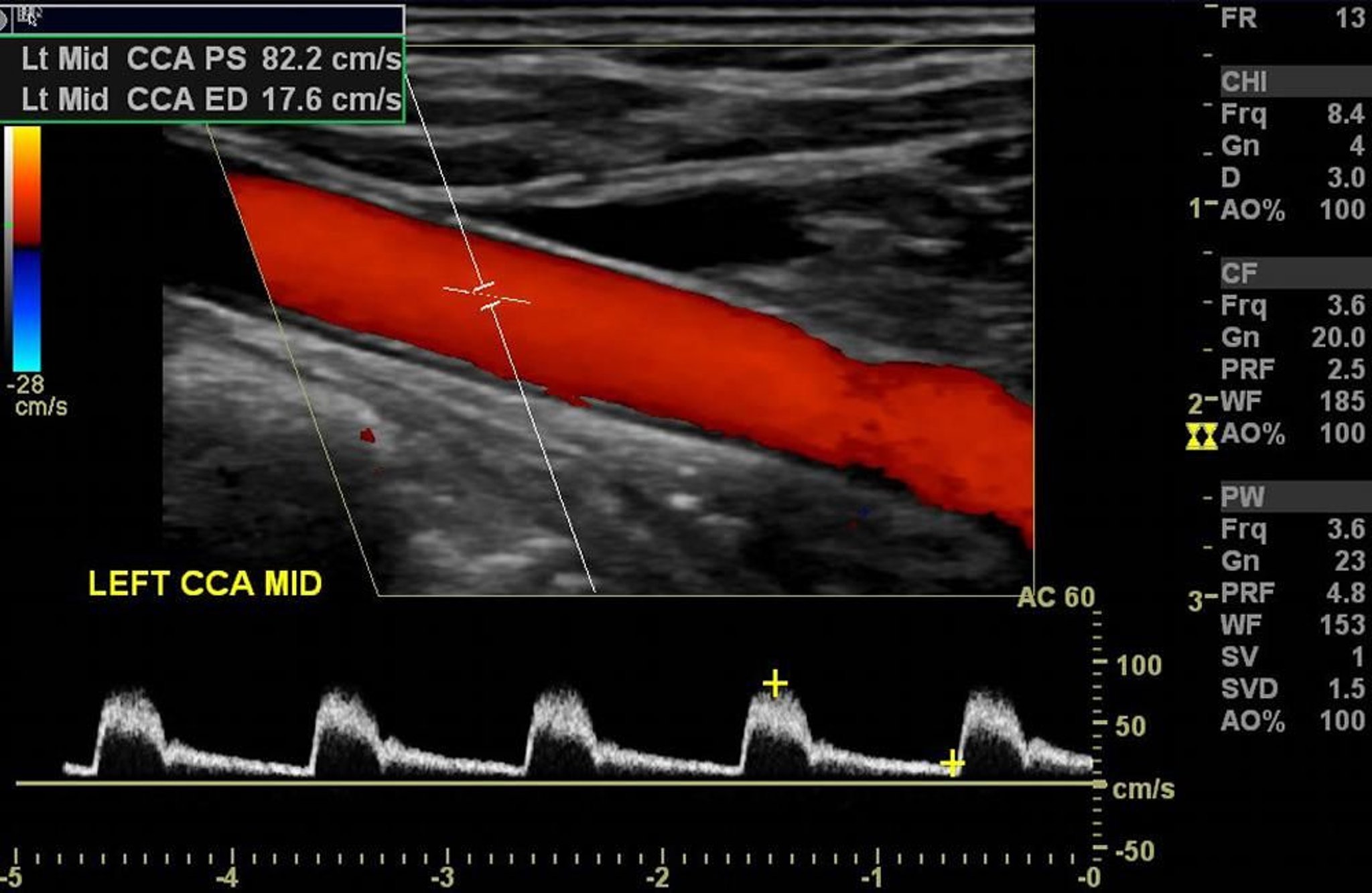
La ecografía Doppler color de la arteria carótida izquierda muestra flujo normal arterial sin estenosis significativa.
Image courtesy of Hakan Ilaslan, MD.
En estos temas
La ecografía Doppler color de la arteria carótida izquierda muestra flujo normal arterial sin estenosis significativa.
Image courtesy of Hakan Ilaslan, MD.