Disección aórtica abdominal
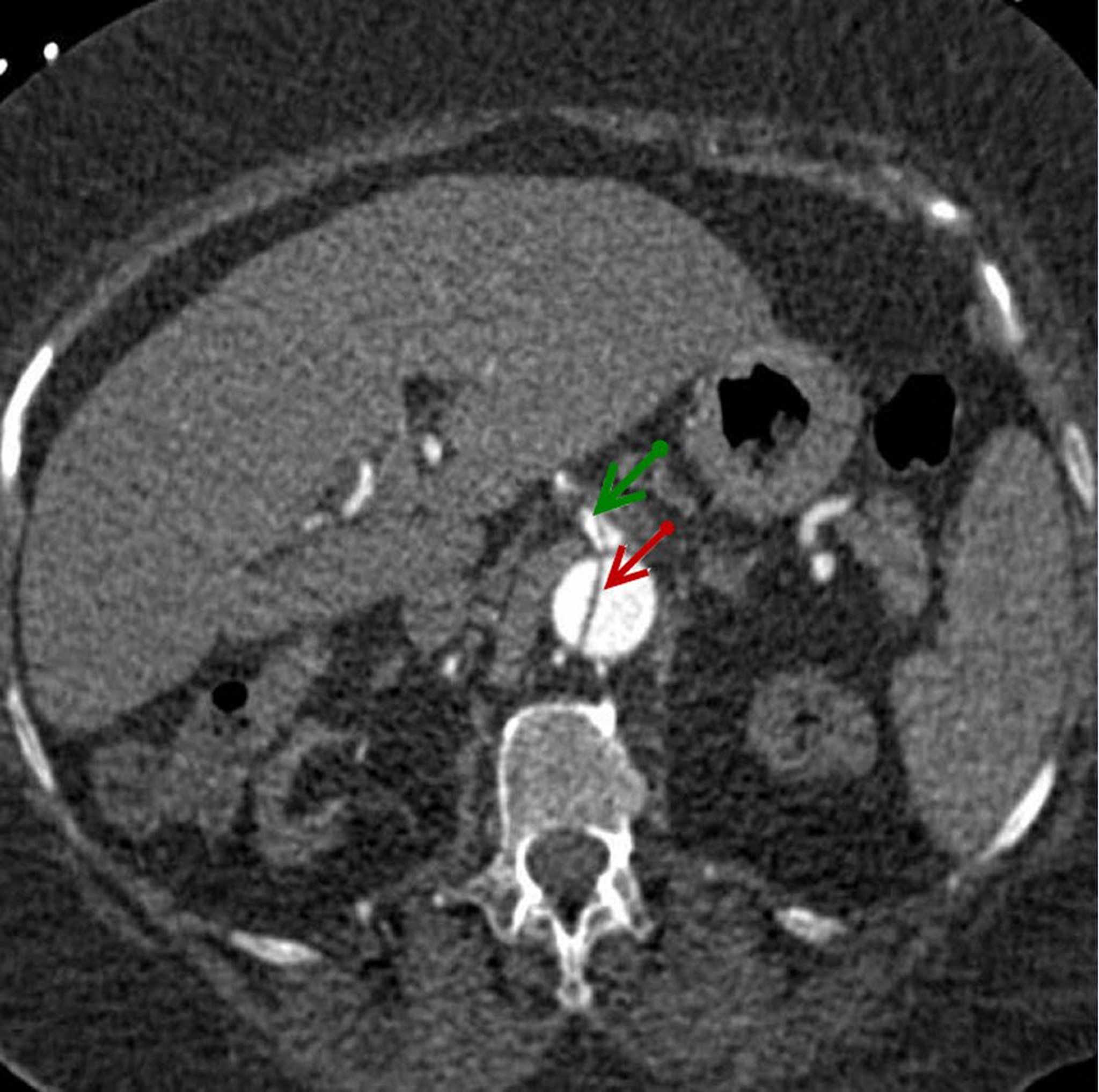
Imagen axial del colgajo de disección en la aorta abdominal descendente (flecha roja) que se extiende hacia la arteria mesentérica superior (flecha verde).
© 2017 Elliot K. Fishman, MD.
En estos temas
Imagen axial del colgajo de disección en la aorta abdominal descendente (flecha roja) que se extiende hacia la arteria mesentérica superior (flecha verde).
© 2017 Elliot K. Fishman, MD.