Eine progressive multifokale Leukenzephalopathie (PML) wird durch Reaktivierung des JC-Virus verursacht. Die Krankheit tritt in der Regel bei Patienten mit eingeschränkter zellvermittelter Immunität auf, insbesondere bei Patienten mit HIV-Infektion. PML führt zu einer subakuten und progressiven Demyelinisierung im Zentralnervensystem (ZNS), zu multifokalen neurologischen Ausfällen und zum Tod, in der Regel innerhalb von 9 Monaten. Die Diagnose erfolgt mittels MRT und einer Liquor-Analyse mittels Polymerase-Kettenreaktionstest. Bei Patienten mit einer HIV-Infektion im Endstadium (AIDS) kann eine hochaktive antiretrovirale Therapie das Fortschreiten der Krankheit verlangsamen, und bei Patienten, die Immunsuppressiva einnehmen, kann sich der Zustand verbessern, wenn diese Medikamente abgesetzt werden. Begrenzte Daten deuten darauf hin, dass eine Behandlung mit Immun-Checkpoint-Inhibitoren, die die Immunantwort auf das JC-Virus aktivieren, manchmal hilfreich ist. Die Therapie ist ansonsten symptomatisch.
(Siehe auch Einführung zu Infektionen des Gehirns.)
Ätiologie der PML
Die progressive multifokale Leukenzephalopathie wird verursacht durch die Reaktivierung des JC-Virus, eines ubiquitären humanen Papovavirus, das typischerweise im Kindesalter aufgenommen wird und latent in den Nieren und eventuell anderen Geweben verbleibt (z. B. mononukleäre Zellen, Zentralnervensystem [ZNS]). Das reaktivierte Virus zeigt einen Tropismus zu Oligodendrozyten.
Die meisten Patienten, die an PML erkranken, haben eine depressive zellvermittelte Immunität aufgrund von
HIV-Infektion im Endstadium (der häufigste Risikofaktor)
Erkrankungen des retikuloendothelialen Systems (z. B. Leukämie, Lymphom)
anderen Erkrankungen (z. B. Wiskott-Aldrich-Syndrom, Organtransplantation)
Das Risiko einer HIV-Infektion im Endstadium steigt mit zunehmender HIV-Viruslast. Die Prävalenz von PML ist aufgrund der weit verbreiteten Verwendung wirksamerer antiretroviraler Medikamente zurückgegangen.
Zunehmend erscheint PML als Komplikation einer immunmodulatorischen Therapie. Zu den am häufigsten betroffenen Medikamenten gehören:
Der monoklonale Antikörper Natalizumab
Das Antikörper-Wirkstoff-Konjugat Brentuximab Vedotin
PML ist jedoch auch bei Patienten aufgetreten, die andere Arzneimittel einnahmen (z. B. Rituximab, Fingolimod, Dimethylfumarat). Die Messung von Serumantikörpern gegen das JC-Virus (JC-Virus-Index) kann helfen, das PML-Risiko bei Patienten, die Natalizumab einnehmen, einzuschätzen; höhere Werte weisen auf ein höheres Risiko hin.
Symptome und Anzeichen von PML
Ungeschicklichkeit kann das erste Symptom der progressiven multifokalen Leukoenzephalopathie sein. Eine Hemiparese ist der häufigste Befund. Aphasie, Dysarthrie und Hemianopsie sind ebenfalls häufig. Eine multifokale kortikale Läsion führt zu kognitiver Beeinträchtigung bei zwei Dritteln der Patienten. Sensorische, zerebelläre und Hirnstammdefizite können auftreten.
Kopfschmerzen und Anfälle sind selten und treten am häufigsten bei Patienten mit HIV-Infektion im Endstadium auf.
Die schrittweise, unausweichliche Progression führt zum Tod, meist innerhalb von 1–9 Monaten nach Beginn der Symptome.
Diagnose von PML
MRT
Liquortests auf JC-Virus-DNA
Eine progressive multifokale Leukenzephalopathie ist anzunehmen bei Patienten mit ungeklärter progressiver Hirnfunktionsstörung, insbesondere bei Patienten mit herabgesetzter zellvermittelter Immunität.
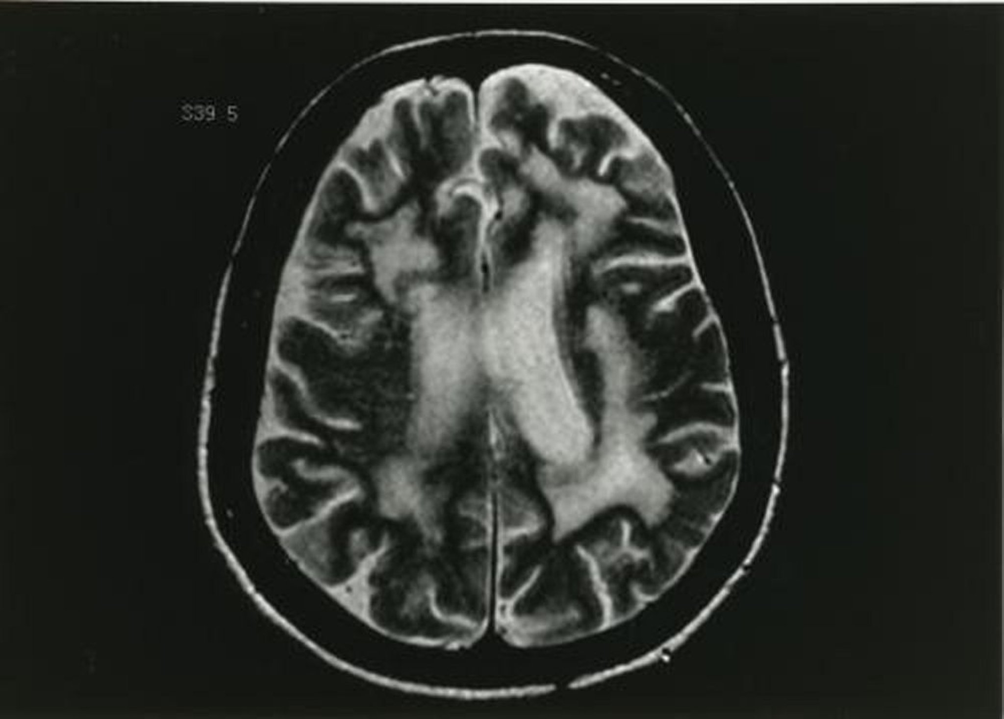
Eine vorläufige Diagnose von PML wird anhand einer Kontrastmittel-MRT gestellt, die einzelne oder mehrere Läsionen der weißen Substanz auf T2-gewichteten Bildern darstellt. Ein Kontrastmittel hebt 5–15% der meist schwachen und peripheren Läsionen hervor. Eine CT kann nichtverstärkte Läsionen mit niedriger Dichte zeigen, ist aber deutlich weniger sensitiv als die MRT.
Dieses T2-gewichtete MRT-Bild zeigt mehrere Veränderungen der weißen Substanz.
Abbildung zur Verfügung gestellt von John E. Greenlee, MD.
Der Liquor wird mittels Polymerase-Kettenreaktion auf JC-Virus-DNA untersucht; ein positives Ergebnis mit passenden Befunden in der Bildgebung ist nahezu pathognomonisch. Routinemäßige Liquoruntersuchungen sind üblicherweise normal.
Serologische Tests sind nicht hilfreich. Eine stereotaktische Biopsie kann eine definitive Diagnose ermöglichen, wird aber selten angesetzt.
Behandlung von PML
Symptomatische Behandlung
Die Behandlung der progressiven multifokalen Leukoenzephalopathie ist hauptsächlich supportiv.
Der experimentelle Einsatz von Arzneimitteln wie Cidofovir und anderen antiviralen Substanzen bringt keinen Nutzen. Die antiretrovirale Therapie (ART) bei Patienten mit HIV-Infektion im Endstadium hat die Prognose bei PML verbessert und die 1-Jahres-Überlebensrate von 10 auf 50 % erhöht. Jedoch können Patienten unter aggressiver antiretroviraler Therapie ein Immunrekonstitutionssyndrom (IRIS) entwickeln. In IRIS erzeugt das sich erholende Immunsystem eine intensive Entzündungsreaktion gegen das JC-Virus, wodurch sich die Symptome verschlechtern. Eine Bildgebung nach Entwicklung eines IRIS zeigt eine größere Kontraststeigerung der Läsionen und kann ein erhebliches Hirnödem darstellen. Auch Glukokortikoide können helfen. Je nach Schweregrad von IRIS und der HIV-Infektion im Endstadium können Kliniker entscheiden, die ART abzusetzen.
Das Absetzen der Immunsuppressiva kann zu einer klinischen Besserung führen. Allerdings sind Patienten, die die Einnahme dieser Medikamente beenden, auch dem Risiko ausgesetzt, ein IRIS zu entwicklen.
Wenn sich eine PML bei Patienten entwickelt, die Natalizumab, eine andere immunmodulatorische Substanz oder ein Immunsuppressivum erhalten, sollte das Medikament abgesetzt und ein Plasmaaustausch durchgeführt werden, um Reste des zirkulierenden Medikaments zu entfernen.
Begrenzte Daten deuten darauf hin, dass eine Behandlung mit den PD-1-Inhibitoren (Immun-Checkpoint-Inhibitoren) Pembrolizumab oder Nivolumab die Viruslast im Liquor verringern, die antivirale zelluläre Immunaktivität erhöhen und zu einer klinischen Verbesserung führen kann (1, 2).
Literatur zur Behandlung
1. Cortese I, Muranski P, Enose-Akahata Y, et al: Pembrolizumab treatment for progressive multifocal leukoencephalopathy. N Engl J Med 380(17):1597–1605, 2019. doi: 10.1056/NEJMoa1815039
2. Lambert N, El Moussaoui M, Maquet P: Immune checkpoint inhibitors for progressive multifocal leukoencephalopathy: Identifying relevant outcome factors. Eur J Neurol 2021 28(11):3814–3819, 2021. doi: 10.1111/ene.15021
Wichtige Punkte
Die Reaktivierung des ubiquitären JC-Virus, die in der Regel auf eine gestörte zellvermittlete Immunität zurückgeht, führt zur PML.
PML verursacht häufig Schwerfälligkeit, Hemiparese, Aphasie, Dysarthrie, Hemianopsie und kognitive Beeinträchtigung.
Führen Sie eine MRT und einen Liquortest auf JC-Virus-DNA bei Patienten durch, die eine gestörte zellvermittelte Immunität und eine unerklärte progressive Dysfunktion des Gehirns aufweisen.
Behandeln Sie Patienten unterstützend und behandeln Sie die zugrunde liegenden Störungen wie angegeben (z. B. durch Absetzen von Natalizumab, einem anderen immunmodulatorischen Medikament oder einem Immunsuppressivum oder bei Patienten mit HIV im Endstadium durch Einleitung einer antiretroviralen Therapie und genaue Beobachtung der Entwicklung eines immunrekonstitutionsbedingten inflammatorischen Syndroms).
Begrenzte Daten deuten darauf hin, dass eine Behandlung mit Pembrolizumab oder Nivolumab die Viruslast im Liquor verringern, die antivirale zelluläre Immunaktivität erhöhen und zu einer klinischen Verbesserung führen kann.



