Einfache Knochenzyste
Auf dieser Röntgenaufnahme ist eine einfache, einkammerige Knochenzyste (Pfeile) im Oberarmknochen zu sehen.
Bild mit freundlicher Genehmigung von Dr. med. Michael J. Joyce und Dr. med. Hakan Ilaslan.
In diesen Themen
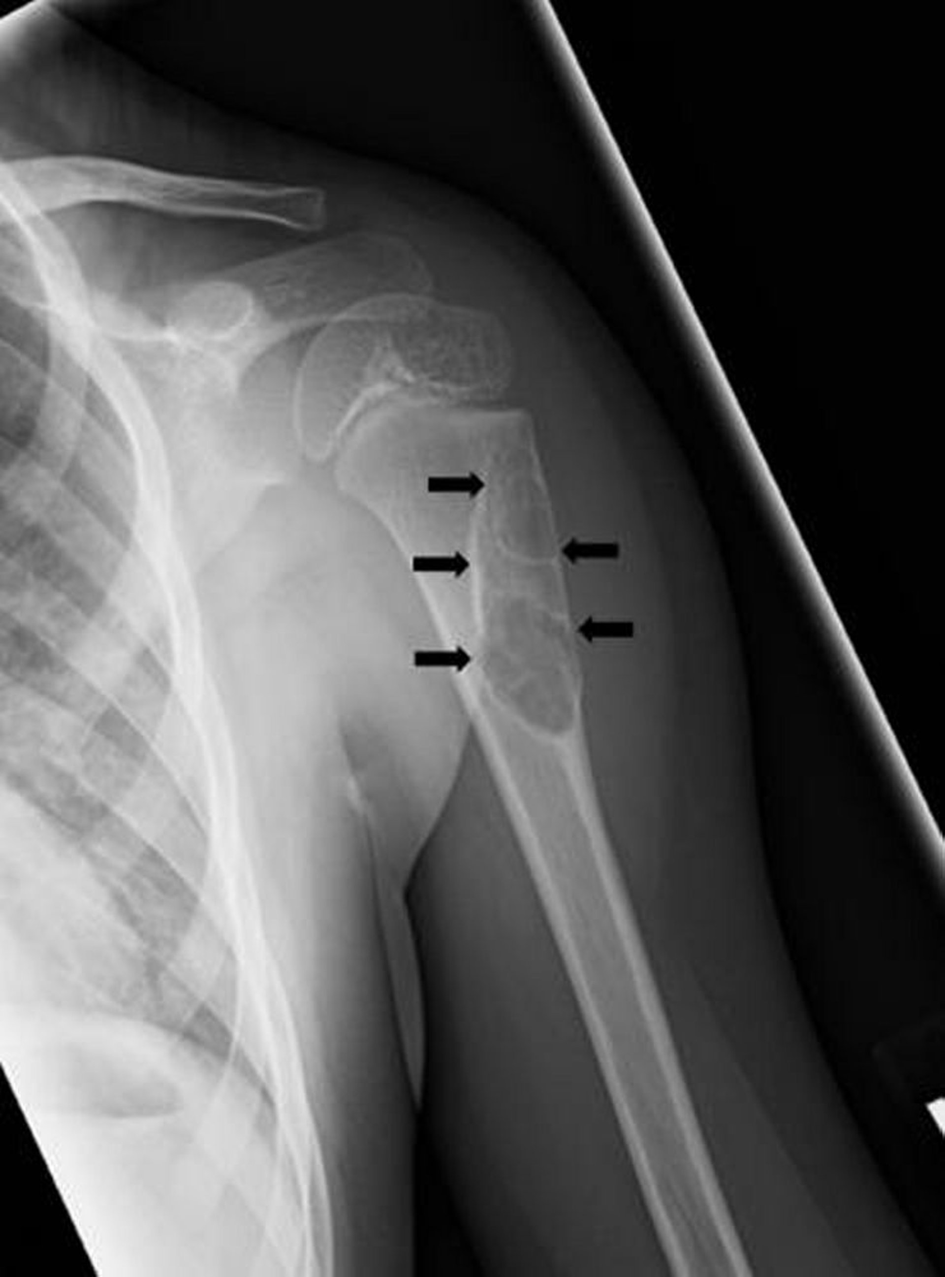
Auf dieser Röntgenaufnahme ist eine einfache, einkammerige Knochenzyste (Pfeile) im Oberarmknochen zu sehen.
Bild mit freundlicher Genehmigung von Dr. med. Michael J. Joyce und Dr. med. Hakan Ilaslan.