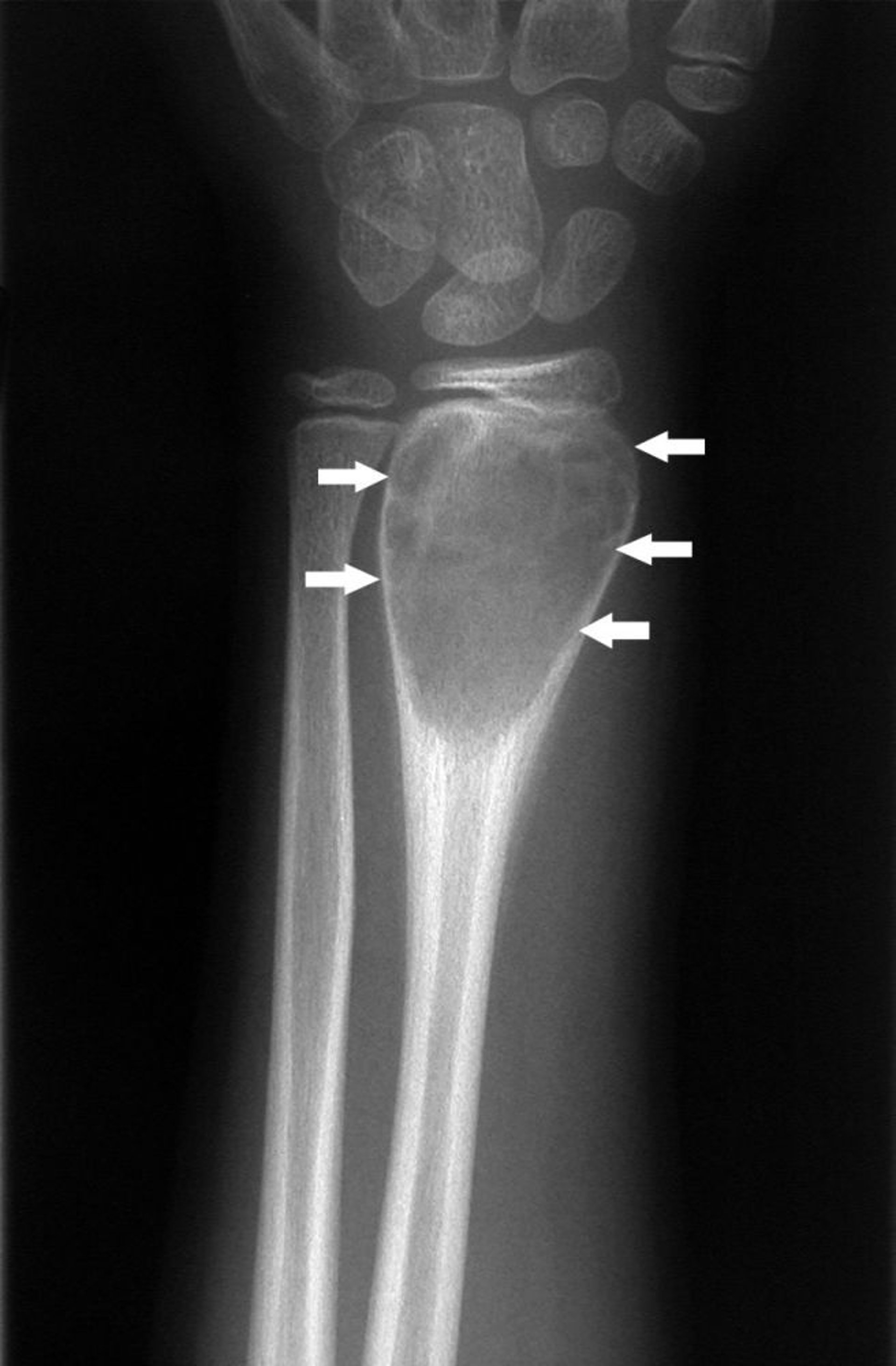
Aneurysmatische Knochenzyste am Handgelenk
Auf dieser Röntgenaufnahme eines Handgelenks ist eine aneurysmatische Knochenzyste (Pfeile) zu sehen.
Bild mit freundlicher Genehmigung von Dr. med. Michael J. Joyce und Dr. med. Hakan Ilaslan.
In diesen Themen
