الحَصبَة (measles) هي عدوى فيروسية شديدة العدوى تُسبِّبُ أعراضًا مختلفة شبيهة بالزُّكام وطَفحًا جلديًّا مُميَّزًا.يمكن أن تسبب مضاعفات شديدة وقد تكون مميتة لدى بعض الأشخاص.يعد التطعيم فعالًا في الوقاية.
تنجم الإصابة بالحصبة عن عدوى بفيروس.
تشتمل الأعراض على حدوث حُمَّى وسيلان من الأنف وسُعالٌ سَطحِيٌّ مُتَقَطِّع واحمرار العينين وطفح جلدي أحمر.
يعتمد التَّشخيص عادةً على الأعراض النَّموذجيَّة والطََّفح الجِّلدي المُميَّز أو البقع البيضاء في الحلق.
تُجرى الفحوصات المخبرية لتأكيد تشخيص الحصبة عند الأشخاص الذين تظهر عليهم أعراض مستمرة ولدى الأشخاص الذين لديهم عوامل خطر للتعرض للحصبة.
لا يتوفر مضاد فيروسي نوعي للحصبة، لذلك يهدف العلاج إلى تخفيف الأعراض.
يمكن علاج الأطفال المصابين بالحصبة بفيتامين A.
ورغم تعافي معظم الأشخاص، إلَّا أنَّه يمكن للحصبة أن تكون مميتة أو تؤدي إلى تضرُّر الدِّماغ.
يمكن للتَّطعيم الروتيني أن يقي من الإصابة بالعَدوَى.
تكون حالات الحصبة غير شائعة في المناطق التي تلقى فيها معظم الناس لقاح الحصبة.قبل توفُّر وانتشار التَّطعيم ضد الحصبة على نطاقٍ واسعٍ، تكرَّر حدوث أوبئة الحصبة كلَّ 2 أو 3 سنوات، لا سيَّما عند الأطفال في سنِّ ما قبل المدرسة والأطفال في سِنِّ الدِّراسة.وقد حدثت فاشياتٌ صغيرةٌ محليَّةٌ عند الأطفال من أعمارٍ أخرى.
لا تزال الحصبة شائعةً في بعض البلدان.تُصيب عدوى الحصبة حول العالم حوالى 10 مليون شخص سنويًّا وتُسبِّبُ حوالى 100,000 حالة وفاة، بشكل رئيسي لدى الأطفال.
تُعدُّ الحصبة من الحالات غير الشائعة في الولايات المُتَّحدة بسبب التَّطعيم الروتيني خلال مرحلة الطفولة.في الفترة من عام 2000 إلى عام 2010، أُبلِغَ في المتوسِّط عن 71 حالة فقط سنويًّا في مراكز مكافحة الأمراض والوقاية منها.
جرى إبلاغ مراكز مكافحة الأمراض والوقاية منها عن 1,274 حالة حصبة في العام 2019.يُعد هذا الرقم هو الأعلى المبلغ عنه منذ عام 1992.وقد نجمت الزيادة في عام 2019 في معظمها عن الأشخاص غير المطعمين الذين أصيبوا بالعدوى في البلدان التي تكون فيها الحصبة أكثر شُيُوعًا ثم سافروا إلى الولايات المتحدة.في العام 2020، جرى الإبلاغ عن 13 حالة حصبة فقط في الولايات المتحدة في خضم جائحة كوفيد-19 العالمية.من عام 2020 إلى عام 2023، بلغ إجمالي الحالات المبلغ عنها في الولايات المتحدة 242 حالة، وفي عام 2024 سُجلت 285 حالة.
ارتفع كل من العدد الإجمالي للحالات وعدد الفاشيات بشكل ملحوظ في عام 2025.جرى تسجيل 1,046 حالة و 3 وفيات في الفترة من يناير وحتى 22 مايو 2025 في الولايات المتحدة الأمريكية.وسُجلت 14 فاشية وارتبطت 92% من الحالات بفاشية.للمقارنة، جرى الإبلاغ عن 16 فاشية في عام 2024 بكامله.
يأخذ عدد الفاشيات وإجمالي حالات الحصبة بالازدياد نتيجة انخفاض معدلات التطعيم.أصبح التردد في تلقي اللقاح سببًا أكثر شيوعًا لانخفاض معدلات التطعيم.يحدث التردد بشأن أخذ اللقاح عندما يؤجل الآباء أو لا يوافقون على حصول أطفالهم على بعض أو كل اللقاحات الموصى بها.على سبيل المثال، انخفض معدل التطعيم بين أطفال الروضة في الولايات المتحدة من 95.2% في العام الدراسي 2019-2020 إلى 92.7% في العام الدراسي 2023-2024.
انتقال الحصبة
يُصاب الأشخاص عادةً بعدوى الحصبة عن طريق استنشاق قطيرات الرطوبة الكبيرة أو الصغيرة المحمولة جوًا والتي قام بسعالها شخصٌ مصابٌ بالعدوى.قد يلتقط الأشخاص العدوى عن طريق ملامسة الأسطح التي تسقط عليها القطيرات، ولكن هذه الطريقة في العدوى أقل شيوعًا بكثير.يُصاب معظم الأشخاص غير المُحصَّنين ضد الحصبة بالعدوى بعد تعرضهم للفيروس.
تكون الحصبة مُعديةً قبل بدء ظهور الطَّفح الجلدي بأربعة أيَّام وحتى أربعة بأيام بعد ظهوره.قد لا يدرك الأشخاص المصابون بالحصبة أنهم مصابون أو ناقلون للعدوى وقد ينشرون العدوى للآخرين دون قصد.
يُعد السفر إلى المناطق التي تشيع فيها الحصبة أو إلى مكان تنشط فاشية فيه عامل خطر لانتقال الحصبة.
تنقل المرأة الحامل التي أُصيبَت بالحصبة أو جَرَى تطعيمها المناعة إلى طفلها على شكل أضداد تعبر المشيمة.تستمرُّ هذه الحصانة معظم الأشهر الـ 6 إلى 12 الأولى من حياة الطفل.ولكن بعد ذلك، يواجه الأطفال المعرضون لفيروس الحصبة خطرًا كبيرًا للإصابة بالعدوى ما لم يكونوا قد تلقوا اللقاح.
تحدث مناعةٌ عند الشخص الذي أُصيب بالحصبة وعادةً ما لا يُصاب بها مجددًا.يُفترض أيضًا أن البالغين المولودين قبل عام 1957 قد تعرضوا للحصبة وبالتالي فهم محصنون.
أعراض الحَصبَة
الحصبة هي عدوى فيروسية مُعدية تتطور عادةً وفق خط زمني نموذجي (يكون عدد الأيام تقريبيًا ويختلف من شخص لآخر):
التعرض: يحدث هذا عندما يلامس الشخص الفيروس (يتعرض له).
فترة الحضانة: بعد التعرض للفيروس، عادةً ما يستغرق ظهور الأعراض 7 إلى 21 يومًا تقريبًا (بمتوسط 11 إلى 12 يومًا).في أثناء هذه الفترة، يكون الفيروس في الجسم، لكن الشخص لا يشعر بالمرض.
البادرة: تستمر هذه المرحلة من 3 إلى 7 أيام تقريبًا.تظهر خلال هذه الفترة أعراض مثل الحمى، والسعال، وسيلان الأنف، واحمرار العينين، وقد تظهر بقع بيضاء صغيرة في الحلق، لكن الطفح الجلدي لا يكون قد تطور بعد.
الطفح الجلدي: يظهر طفح الحصبة بعد مرحلة البادرة ويستمر لمدة تتراوح بين 4 إلى 7 أيام تقريبًا.يبدأ الطفحُ الجلدي عادةً على الوجه، وينتشر إلى بقية الجسم.بعد هذه الفترة، يبدأ الطفح الجلدي بالتلاشي بسرعة.إذا لم تحدث أية مضاعفات، يبدأ الشخص بالشعور بالتحسن.
تبدأ أعراض الحصبة بالظهور بعد انقضاء حوالى 11 إلى 12 يومًا من تعرض الشخص للفيروس.يُعاني الشخص المصاب بالعدوى في البداية من الحُمَّى وسيلان الأنف وسُعالٌ سَطحِيٌّ مُتَقَطِّع واحمرارُ العينين.
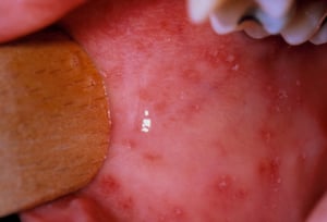
قبل بدء الطَّفح الجِّلدي، قد تظهر بقع كوبليك (Koplik spots) داخل الفم.بقع كوبليك هي بقع صغيرة، حمراء فاتحة ذات مراكز بيضاء أو بيضاء مزرقة.يمكن لهذه المراكز أن تشبه حبَّات الرمال.
بقع كوبليك هي بقع حمراء فاتحة ذات مراكز بيضاء أو بيضاء مزرقة قد تشبه حبات الرمل.قد تظهر هذه البقع في أي مكان من أفواه الأشخاص المصابين بالحصبة.
بقع كوبليك هي بقع حمراء فاتحة ذات مراكز بيضاء أو بيضاء مزرقة قد تشبه حبات الرمل.قد تظهر هذه البقع في أي مكان من أفواه ا
Images courtesy of the Public Health Image Library of the Centers for Disease Control and Prevention.
Koplik spots are bright red spots with white or bluish white centers that may resemble grains of sand. They may occur anywhere in the mouth in people who have measles.
Koplik spots are bright red spots with white or bluish white centers that may resemble grains of sand. They may occur a
DR P. MARAZZI/SCIENCE PHOTO LIBRARY
Koplik spots are bright red spots with white or bluish white centers that may resemble grains of sand. They may occur anywhere in the mouth in people who have measles.
Koplik spots are bright red spots with white or bluish white centers that may resemble grains of sand. They may occur a
DR P. MARAZZI/SCIENCE PHOTO LIBRARY
يظهر طفح جلدي بعد مرور 3-7 أيام على بداية الأعراض.يبدأ الطفح الجلدي على الوجه أمام وتحت الأذنين وعلى جانب الرقبة.تبدو كمناطق مسطحة غير منتظمة سرعان ما ترتفع.يكون الطفح الجلدي أحمر اللون لدى الأشخاص من ذوي البشرة الفاتحة، وقد يكون أرجوانيًا أو أكثر دكنة من المنطقة المحيطة لدى الأشخاص من ذوي البشرة الداكنة.ينتشر الطَّفح الجِّلديُّ في غضون يومٍ أو يومين إلى الجِّذع والذراعين وراحتي اليد والساقين وأخمص الأقدام وثمَّ يبدأ لونه بالزَّوال عن الوجه.قد يتقشر الجلد بعد تلاشي الطفح الجلدي على الوجه.
تُظهر هذه الصورة طفحًا جلديًا ناجمًا عن الحصبة.
تُظهر هذه الصورة طفحًا جلديًا ناجمًا عن الحصبة.
جرى استخدام الصورة بعد موافقة أصحابها the Public Health Image Library of the Centers for Disease Control and Prevention.
This photo shows the rash caused by measles.
This photo shows the rash caused by measles.
SCIENCE PHOTO LIBRARY
This photo shows the rash caused by measles.
This photo shows the rash caused by measles.
CDC/ Betty G. Partin
عندما تكون العدوى في أشد مراحلها، يشعر الشخص بتوعك شديد، ويصاب بالتهاب في العين (التهاب الملتحمة)، وتورم، وحساسية للضوء الساطع؛ وينتشر الطفح الجلدي على نطاق واسع؛ وقد تتجاوز درجة حرارة الجسم 40 درجة مئوية (104° فهرنهايت).
في غضون 4 إلى 7 أيام أخرى، تنخفض درجة الحرارة ويبدأ الشخص بالشعور بالتَّحسُّن ويزول لون أيِّ طفحٍ جلديٍّ متبقٍّ بسرعة.يتحوَّل الطفحُ إلى لونٍ بنيّ، ثم يتقشَّر الجلد.
يكون الأشخاص المصابون ناقلين للعدوى من قبل بدء ظهور الطفح الجلدي بـ 4 أيام وحتى 4 أيام بعد ظهوره.
مُضَاعَفات الحَصبَة
يكون الأطفال الصغار والنساء الحوامل، أو المصابون بسوء التغذية، أو الذين لديهم ضعف في الجهاز المناعي أكثر عرضة للإصابة بمضاعفات ناجمة عن الحصبة.يمكن لعدوى الحصبة أن تؤدي إلى تثبيط مناعي يستمر لأشهر وحتى سنوات بعد التعافي من الحصبة، وقد تؤهب الأشخاص الذين أصيبوا بها سابقًا للإصابة بحالات عدوى أخرى.
تشمل حالات العدوى البكتيرية المرتبطة بالحصبة، والتي تُسمى العدوى الثانوية، كلاً من الالتهاب الرئوي، والتهاب القصبات، والتهاب الأذن الوسطى (عدوى الأذن الوسطى).
يحدث الالتهاب الرِّئوي النَّاجم عن عدوى الحصبة في الرِّئتين عند نَحو 6٪ من الأشخاص.غالبًا ما يكون الالتهاب الرئوي هو سبب الوفاة في الحالات المميتة من الحصبة عند الرضع.
يمكن أن يحدث التهابٌ مؤقَّت في الكبد وإسهال خلال العدوى.
تحدث عدوى الدِّماغ (انظر التهاب الدِّماغ) عند حوالى طفلٍ واحدٍ من كل 1,000 طفل مصابٍ بالحصبة.إذا حدث التهابٌ دماغي، فإنَّه يبدأ غالبًا بحُمَّى شديدة وصداعٍ واختلاجاتٍ وغيبوبة، وذلك خلال فترةٍ تتراوح من يومين إلى أسبوعين بعد ظهور الطَّفح الجِّلدي عادةً.قد تكون فترة المرض قصيرة، بحيث يحدث الشفاء خلال أسبوع واحد تقريبًا، أو قد تستمر لفترة أطول، ممَّا يؤدي إلى تضرُّر الدماغ أو الوفاة.
يمكن أن يحدث نزفٌ شديدٌ بعد الشِّفاء من عدوى الحصبة لأن مستويات الصُّفَيحات الدَّمويَّة عند الشخص تصبح منخفضةً (قِلَّةُ الصُّفَيحات).حيث تظهر كدماتٌ في الجلد ويحدث نزفٌ خفيفٌ عادةً، إلَّا أنَّ النَّزف يكون شديدًا في بعض الأحيان.
التهاب الدماغ الشامل المصلب تحت الحاد هو أحد المضاعفات النادرة والمميتة للحصبة.يسبب تلفًا دماغيًا وتدهورًا مترقيًا في الدماغ.يمكن أن تحدث هذه الأعراض بعد 7 إلى 10 سنوات من الإصابة بالحصبة وتكون أكثر شيوعًا بين الأشخاص الذين أصيبوا بالحصبة في طفولتهم المبكرة (أقل من 5 سنوات).
تشخيص الحصبة
تقييم الطبيب
الفحوص المخبريَّة
يشتبه الأطباء في الإصابة بالحصبة لدى الأشخاص الذين يعانون من الأعراض النَّموذجية المشابهة للزكام، وبقع كوبليك، والطَّفح الجلدي المُميَّز.
يُؤكِّد الأطباءُ التشخيصَ عن طريق أخذ عيِّنات من الدَّم، والبول، والأنف، والحلق وإرسالها إلى المختبر لفحصها.تكون هذه الفحوصات مفيدة بشكل خاص لتشخيص الذين يعانون من الأعراض ولم يتم تطعيمهم مطلقًا أو لم يحصلوا على كامل جرعات اللقاح أو الذين تعرضوا مؤخرًا لفيروس الحصبة.
علاج الحصبة
فيتامين A للأطفال
أدوية للتقليل من الحمى
المضادات الحيوية أحيانًا إذا تطورت عدوى بكتيرية.
لا يوجد دواء مضاد للفيروسات لعلاج الحصبة.
ينبغي وضع المصابين الذين أُدخلوا المستشفى في غرف خاصة في المستشفى وعزلهم عن الآخرين في أثناء المرض.يجب على الأشخاص المصابين بالعدوى الذين لم يدخلوا المستشفى أن يُقللوا من مخالطتهم للآخرين في أثناء المرض.
يُوصي الأطباء باستعمال فيتامين A عند الأطفال المُصابين بالحصبة، وذلك لأنَّ فيتامين A قد أظهر انخفاضًا في عدد الوفيَّات والأمراض الخطيرة النَّاجمة عن الحصبة في البلدان التي يكون فيها عوز الفيتامين A شائعًا عند سكَّانها.
يمكن استعمال الأسيتامينوفين أو الإيبوبروفين لتخفيف الحُمَّى.
يمكن إعطاء المضادات الحيوية للأشخاص الذين يصابون بعدوى أخرى تسببها البكتيريا، مثل عدوى الأذن.
مَآل الحصبة
في الولايات المتحدة، تكون الحصبة مميتة عند حوالى 1 إلى 3 من كل 1,000 شخص مصاب.على الصعيد العالمي، تكون الحصبة حالة مميتة لحوالي 1 من كل 100 شخص مصاب.
تكون معدلات الوفاة بسبب الحصبة أعلى لدى الأشخاص المصابين بالعدوى في مرحلة الرضاعة، والذين لديهم وصول محدود للرعاية الطبية، والذين يعانون من سوء تغذية شديد ونقص فيتامين A، والمصابين بالالتهاب الرئوي.
انظر أيضًا مُضَاعَفات الحصبة
الوقاية من الحصبة
لقاح الحصبة والنّكاف والحصبة الألمانية MMR vaccine
الوقاية قبل التعرض
يكتسب الأشخاص الذين أصيبوا بالحصبة سابقًا مناعة ضدها.يشمل ذلك جميع البالغين المولودين قبل عام 1957، والذين يُفترض أنهم محصنون ضد الحصبة لأنهم غالبًا ما يكونون قد تعرضوا للفيروس.
تكون جرعتان من لقاح الحصبة فعالتان بنسبة 96٪ في الوقاية من الحصبة.يُعطى لقاح الحصبة بشكل لقاح ثلاثي مشترك ضد الحصبة، والنكاف، والحصبة الألمانية (MMR)، والذي يحتوي على فيروسات حية ولكنها ضعيفة للحصبة، والنكاف، والحصبة الألمانية.يُعد لقاح الحصبة والنكاف والحصبة الألمانية (MMR) أحد التطعيمات الروتينية في مرحلة الطفولة، ويُعطى للأطفال في معظم الدول التي لديها بنية تحتية قوية للرعاية الصحية.
جرى البدء باستعمال لقاح الحصبة والنكاف والحصبة الألمانية (MMR) المكون من جرعتين في العام 1989؛ لذلك، قد يكون البالغون المولودون بين عامي 1957 و 1989 قد تلقوا جرعة واحدة فقط.بالنسبة للبالغين في هذه المجموعة، عادةً ما يُوصى بجرعة إلى جرعتين إضافيتين لأولئك الذين لا تظهر فحوصات الدم لديهم أنهم محصنون والذين يواجهون خطرًا أكبر للإصابة بالعدوى (مثل طلاب الجامعات، والعاملون في الرعاية الصحية، والمسافرون الدوليون، والمخالطون للأشخاص الذين يعانون من ضعف المناعة، والمصابون بفيروس نقص المناعة البشرية).
بشكل عام، يوفر اللقاح الثلاثي (MMR) مناعة دائمة، وقد انخفض عدد حالات الحصبة في الولايات المتحدة بنسبة 99٪.
يتسبَّب اللُّقاح في حدوث حمَّى خفيفة وطفح جلدي عند بعض الأشخاص، ولكنَّهم ليسوا ناقلين للعدوى.لا يتسبب لقاح الحصبة والنكاف والحصبة الألمانية (MMR) في الإصابة باضطراب طيف التوحد (انظر: لقاح الحصبة والنكاف والحصبة الألمانية (MMR): مخاوف بشأن اضطراب طيف التوحد).
يُعدُّ اللقاح الثلاثي (MMR) من اللقاحات الحية ولا يُعطى في أثناء الحمل.كما إنه لا يُعطى أيضًا لأشخاص معينين لديهم ضعف شديد في الجهاز المناعي أو تعرضوا لرد فعل تحسسي خطير يهدد الحياة (تأق) تجاه أحد مكونات اللقاح أو جرعة سابقة من اللقاح.
للحصول على مزيدٍ من المعلومات حول من يجب أن يحصل على اللقاح الثلاثي (MMR) ومن لا يجب أن يحصل عليه، انظر جرعة وتوصيات اللقاح الثلاثي (MMR).انظر أيضًا التأثيرات الجانبية للّقاح الثلاثي (MMR).
العلاج الوقائي بعد التعرض للعدوى
قد يُعطى الأطفال (والبالغين) المُعرَّضين للعدوى بالحصبة وليست لديهم مناعة اللقاح الثلاثي (MMR) في غضون 3 أيام من التعرض وبعدها يكونون محميين.إذا تعذر إعطاء اللقاح خلال 3 أيام أو كان الشخص المُعرض غير مؤهل لتلقي اللقاح، فيُعطى الغلوبولين المناعي فورًا (في غضون 6 أيام).
يمكن إعطاء لقاح الحصبة والنكاف والحصبة الألمانية (MMR) للأشخاص الذين تلقوا الغلوبولين المناعي عن طريق الحقن العضلي بعد 6 أشهر، وللأشخاص الذين تلقوا الغلوبولين المناعي عن طريق الحقن الوريدي بعد 8 أشهر.
