Bệnh bụi phổi amiăng là một dạng xơ phổi kẽ do phơi nhiễm với amiăng. Bệnh bụi phổi amiăng có thể gây khó thở tiến triển khi gắng sức, ho khan và mệt mỏi. Chẩn đoán được dựa trên bệnh sử và các kết quả chụp X-quang ngực hoặc CT. Điều trị là hỗ trợ.
(Xem thêm Tổng quan về các rối loạn liên quan đến amiăng và Tổng quan về bệnh phổi do môi trường và nghề nghiệp.)
Amiăng là một họ silicat xuất hiện tự nhiên có đặc tính cấu trúc và chịu nhiệt rất hữu ích trong vật liệu xây dựng và đóng tàu, phanh ô tô và một số vật liệu dệt. Có hai loại amiăng chính: serpentine (bao gồm chrysotile) và amphibole (bao gồm amosite, crocidolite, anthophyllite, tremolite và actinolite).
Bệnh bụi phổi amiăng là một dạng bệnh phổi kẽ do tiếp xúc với amiăng. Khoảng thời gian tiềm ẩn giữa phơi nhiễm và biểu hiện bệnh thường là 20 năm đến 40 năm. Bệnh bụi phổi amiăng xuất hiện sớm hơn ở những bệnh nhân có thời gian và cường độ phơi nhiễm lớn hơn.
Các yếu tố nguy cơ
Phơi nhiễm trực tiếp nghề nghiệp vẫn là nguyên nhân chính gây ra bệnh liên quan đến amiăng. Ở hầu hết các nước phát triển, việc sử dụng amiăng đã giảm trong vài thập kỷ qua. Amiăng vẫn có thể được tìm thấy trong các vật liệu xây dựng cũ và một số sản phẩm, và ngày nay hầu hết phơi nhiễm nghề nghiệp xảy ra trong quá trình sửa chữa, cải tạo, tháo dỡ hoặc bảo trì các sản phẩm có chứa amiăng được lắp đặt ở các thời đại trước. Mức độ phơi nhiễm tại nơi làm việc nhìn chung cao hơn nhiều trong quá khứ.
Các nghề nghiệp thường có nguy cơ phơi nhiễm cao nhất bao gồm nghề xây dựng (thợ cách điện, thợ lắp đặt đường ống, thợ mộc, thợ điện, thợ lợp mái nhà, công nhân làm vách thạch cao), công nhân bảo trì, công nhân nhà máy đóng tàu và nhân viên Hải quân, thợ làm nồi hơi và công nhân lò nung, thợ sửa phanh ô tô và các cá nhân liên quan đến khai thác và chế biến amiăng.
Sinh lý bệnh của bệnh bụi phổi amiăng
Các đại thực bào phế nang cố gắng hấp thụ các chất xơ bị hít phải phóng thích các cytokine và các yếu tố tăng trưởng kích thích viêm, tổn thương oxy hoá, lắng đọng collagen, và sự xơ hóa. Các sợi amiăng cũng có thể gây độc trực tiếp cho nhu mô phổi.
Nguy cơ mắc bệnh thường liên quan đến thời gian và cường độ phơi nhiễm cũng như loại, chiều dài và độ dày của sợi hít vào (1).
Tài liệu tham khảo về sinh lý bệnh
1. Solbes E, Harper RW. Biological responses to asbestos inhalation and pathogenesis of asbestos-related benign and malignant disease. J Investig Med 2018;66(4):721-727. doi:10.1136/jim-2017-000628
Các triệu chứng và dấu hiệu của bệnh bụi phổi amiăng
Biểu hiện lâm sàng phổ biến nhất là khó thở dần dần và tiến triển khi gắng sức, ho khan và mệt mỏi.
Nói chung, bệnh bụi phổi amiăng tiến triển chậm trong nhiều năm và có thể tiếp tục tiến triển sau khi ngừng phơi nhiễm.
Trường hợp nặng có thể dẫn đến xơ hóa giai đoạn cuối và suy tâm thất phải (bệnh tâm phế).
Chẩn đoán bệnh bụi phổi amiăng
Chụp X-quang ngực hoặc tốt nhất là chụp CT ngực có độ phân giải cao
Đôi khi dịch rửa phế quản phế nang hoặc sinh thiết phổi
Chẩn đoán bệnh bụi phổi amiăng dựa trên tiền sử phơi nhiễm với amiăng và chụp X-quang hoặc chụp CT ngực có độ phân giải cao. Bệnh sử nên bao gồm thời gian khởi phát, thời gian, loại và cường độ phơi nhiễm của bệnh nhân.
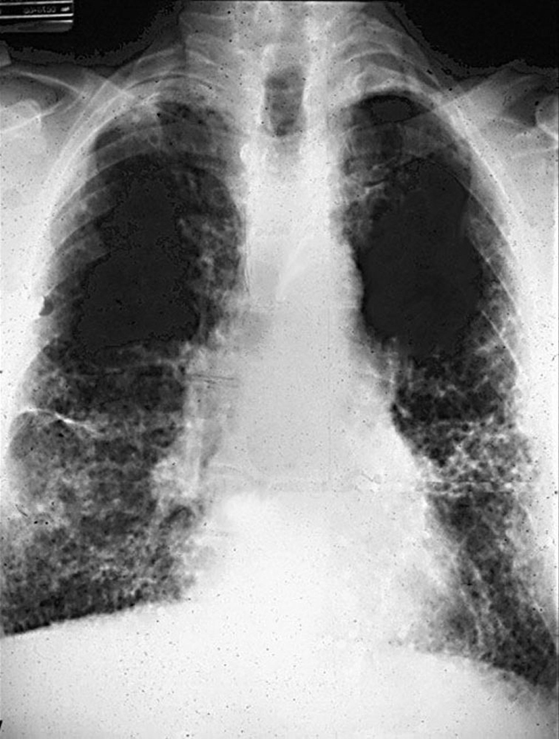
Chụp X-quang ngực cho thấy các đám mờ dạng lưới tuyến tính hai bên biểu thị tình trạng xơ hóa, thường ở ngoại vi thùy dưới, có hoặc không có thay đổi ở màng phổi. CT ngực có độ nhạy cao hơn trong việc xác định các bất thường ở màng phổi và nhu mô, và thường cho thấy dạng viêm phổi kẽ thông thường của xơ phổi. Tổ ong, có thể liên quan đến vùng giữa và vùng dưới phổi, biểu thị bệnh đã tiến triển hơn.
Hệ thống Tổ chức Lao động Quốc tế (Phân loại quốc tế về X quang phổi) được sử dụng để mô tả sự hiện diện và mức độ nặng của bệnh bụi phổi dựa trên kích thước, hình dạng, vị trí và mức độ mờ đục. Bệnh bụi phổi amiăng tạo ra các đám mờ dạng lưới với ưu thế ở thùy dưới. Rốn phổi và trung thất rộng và nốt mờ thì không đặc trưng cho bệnh và gợi ý chẩn đoán khác.
Các kiểm tra chức năng phổi có thể cho thấy sự hạn chế, giảm khả năng khuếch tán carbon monoxide (DLCO) và/hoặc tắc nghẽn luồng khí nhẹ. Những phát hiện này không đặc hiệu nhưng giúp mô tả mức độ nặng của bệnh.
Hình ảnh do bác sĩ David W. Cugell cung cấp
Hình ảnh do bác sĩ David W. Cugell cung cấp
Rửa phế quản phế nang hoặc sinh thiết phổi có thể hữu ích khi chẩn đoán không chắc chắn. Việc chứng minh sợi amiăng và/hoặc thân amiăng có thể giúp hỗ trợ chẩn đoán nhưng không bắt buộc.
Điều trị bệnh bụi phổi amiăng
Chăm sóc hỗ trợ
Không có sự điều trị đặc hiệu. Bệnh nhân nên tránh phơi nhiễm với amiăng thêm.
Điều trị mang tính hỗ trợ, bao gồm sử dụng oxy bổ sung khi được chỉ định và điều trị kịp thời các bệnh nhiễm trùng đường hô hấp. Thuốc chống xơ hóa và liệu pháp miễn dịch được sử dụng trong các bệnh phổi kẽ khác có thể có hiệu quả.
Phục hồi chức năng phổi có thể hữu ích cho những bệnh nhân bị suy giảm chức năng.
Bệnh nhân mắc bệnh tiến triển có thể đủ điều kiện để ghép phổi.
Tiêm vắc-xin phòng bệnh cúm, COVID-19 và viêm phổi rất quan trọng ở những bệnh nhân mắc bệnh bụi phổi amiăng.
Tiên lượng về bệnh bụi phổi amiăng
Tiên lượng khác nhau; bệnh bụi phổi amiăng thường tiến triển chậm trong nhiều năm. Nhiều bệnh nhân có các triệu chứng nhẹ và hồi phục tốt, trong khi một số bệnh nhân tiến triển khó thở và một số ít bị suy hô hấp và suy thất phải.
Bệnh nhân mắc bệnh bụi phổi amiang có nguy cơ mắc ung thư phổi cao hơn đáng kể (thường là ung thư biểu mô phổi không phải tế bào nhỏ). Ngoài ra, amiăng và hút thuốc có tác dụng hiệp đồng đối với nguy cơ ung thư phổi. Tất cả các dạng amiăng hít vào đều có liên quan đến nguy cơ cao bị ung thư phổi.
Phòng ngừa bệnh bụi phổi amiăng
Các biện pháp phòng ngừa bao gồm loại bỏ phơi nhiễm, giảm thiểu amiăng trong môi trường nghề nghiệp và phi nghề nghiệp và cai thuốc lá. Việc cai thuốc lá là rất quan trọng khi xem xét nguy cơ tổng hợp của bệnh ung thư phổi do hút thuốc và phơi nhiễm amiăng.
Mặc dù không có khuyến nghị cụ thể về sàng lọc ung thư phổi trong bệnh bụi phổi amiăng, những bệnh nhân đủ điều kiện sàng lọc ung thư phổi dựa trên các khuyến nghị cho dân số nói chung nên được sàng lọc hàng năm.
Những điểm chính
Mặc dù việc sử dụng amiăng đã giảm do thời gian khởi phát bệnh kéo dài (20 năm đến 40 năm), bệnh bụi phổi amiăng vẫn là một mối lo ngại quan trọng về sức khỏe cộng đồng.
Chẩn đoán dựa trên tiền sử phơi nhiễm amiăng và bằng chứng chụp X quang của bệnh phổi kẽ.
Điều trị chủ yếu mang tính hỗ trợ; cai thuốc lá là quan trọng.
