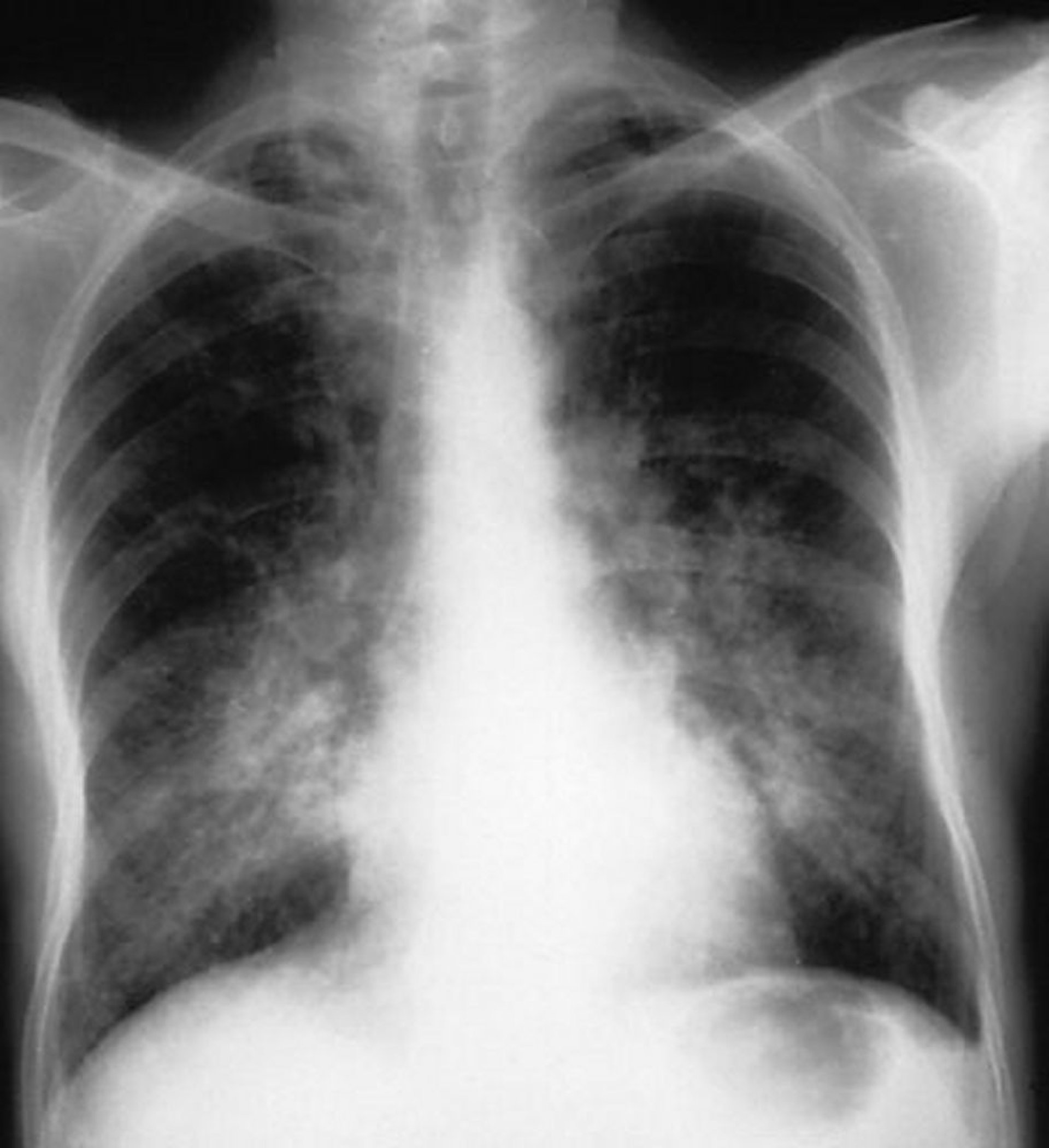
Xuất huyết phế nang (Hội chứng Goodpasture)
Các đám mờ phế nang hai bên ở một bệnh nhân bị xuất huyết phế nang do hội chứng Goodpasture.
Được sự cho phép của nhà xuất bản. Theo Cohen A, Glassock R. Trong Atlas of Diseases of the Kidney: Glomerulonephritis and Vasculitis. Biên tập bởi R Schrier (biên tập loạt bài), RJ Glassock và AH Cohen. Philadelphia, Current Medicine, 1999.
Trong các chủ đề này
