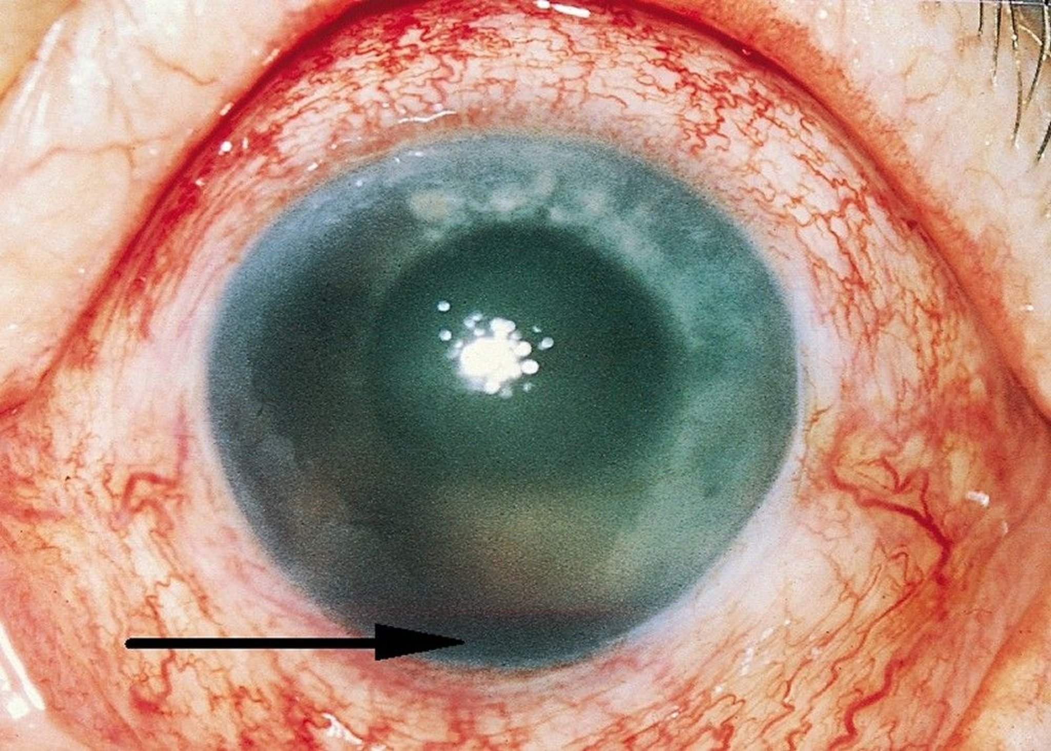
Xuất huyết tiền phòng
Bệnh nhân này bị xuất huyết tiền phòng (mũi tên) và xung huyết kết mạc sau chấn thương ở mắt.
© Springer Science+Business Media
Trong các chủ đề này
Bệnh nhân này bị xuất huyết tiền phòng (mũi tên) và xung huyết kết mạc sau chấn thương ở mắt.
© Springer Science+Business Media