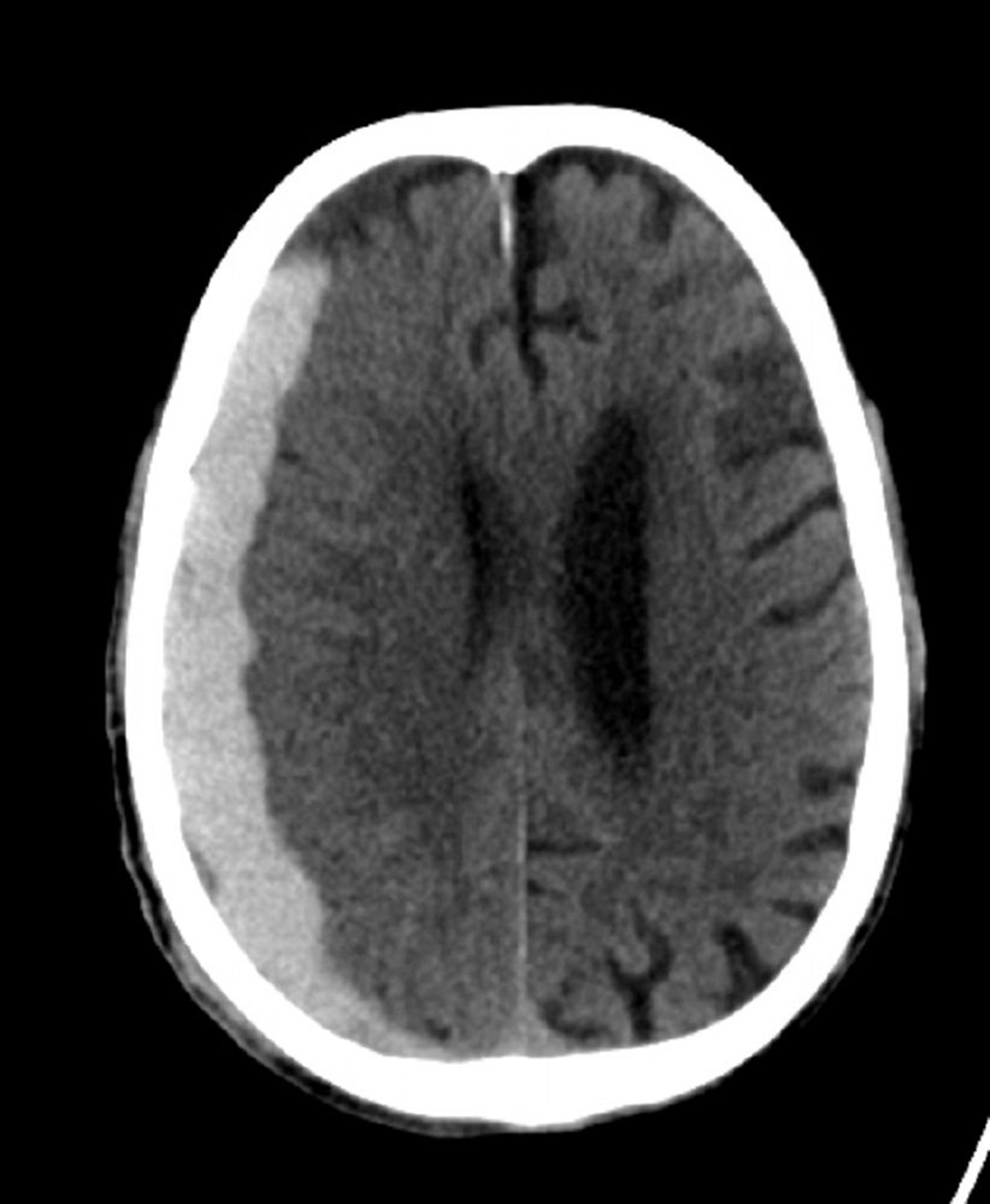
Xuất huyết dưới màng cứng (CT)
Tăng mật độ hình lưỡi liềm cổ điển kéo dài trên các đường nối kết.
© 2017 Bác sĩ Elliot K. Fishman.
Trong các chủ đề này
Tăng mật độ hình lưỡi liềm cổ điển kéo dài trên các đường nối kết.
© 2017 Bác sĩ Elliot K. Fishman.