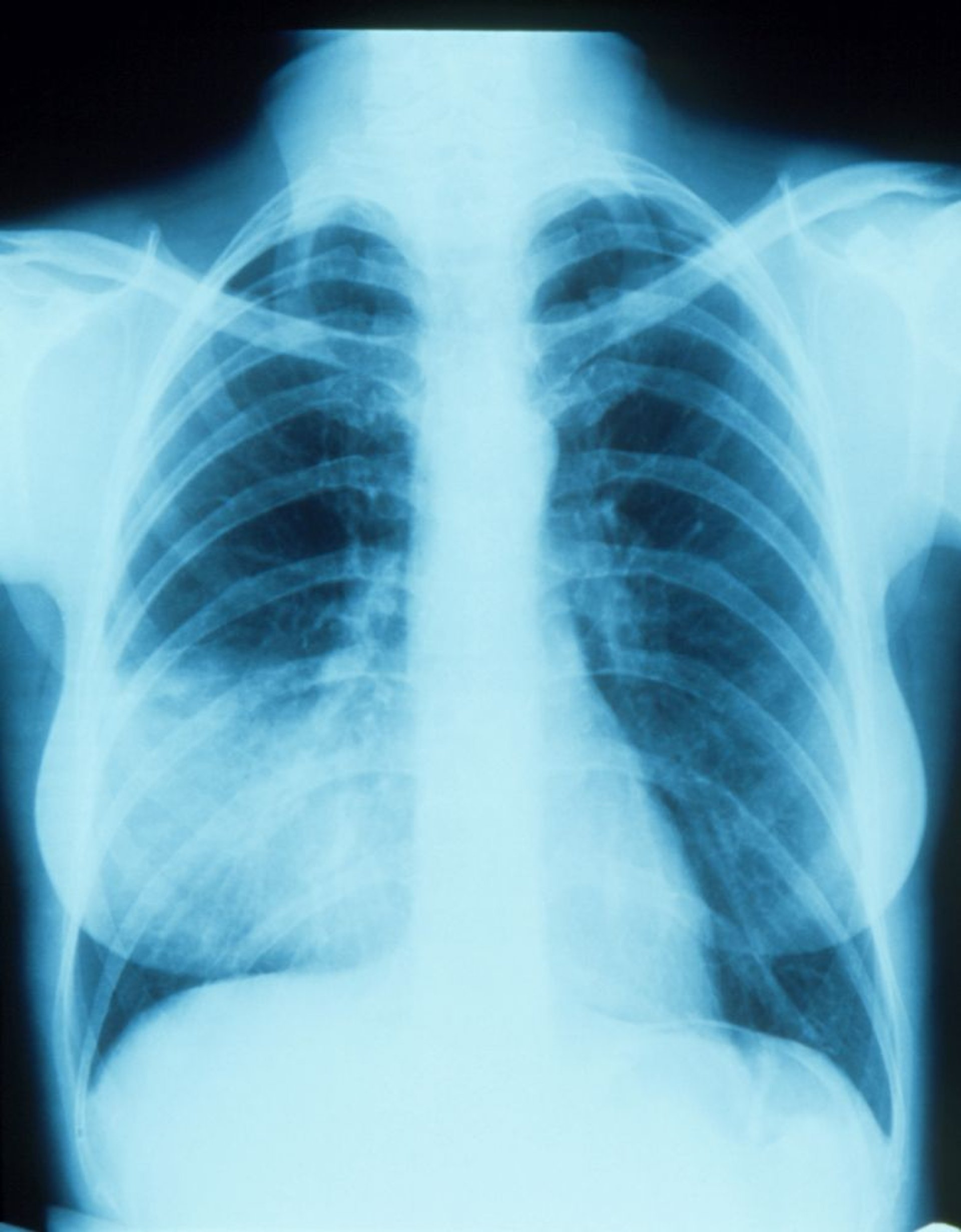
Viêm phổi thùy giữa bên phải kèm theo dấu hiệu xóa bờ
Phim chụp X-quang phổi này cho thấy một chỗ thâm nhiễm dường như hòa trộn với viền tim bên phải (dấu hiệu xóa bờ). Dấu hiệu xóa bờ cho biết vị trí liền kề của 2 cấu trúc có mật độ bức xạ tương tự nhau; phần phổi tiếp giáp với bờ tim phải là thùy giữa bên phải, vì vậy đó là phần có thâm nhiễm và viêm phổi.
THƯ VIỆN HÌNH ẢNH KHOA HỌC
Trong các chủ đề này
