Viêm phổi kẽ lympho bào
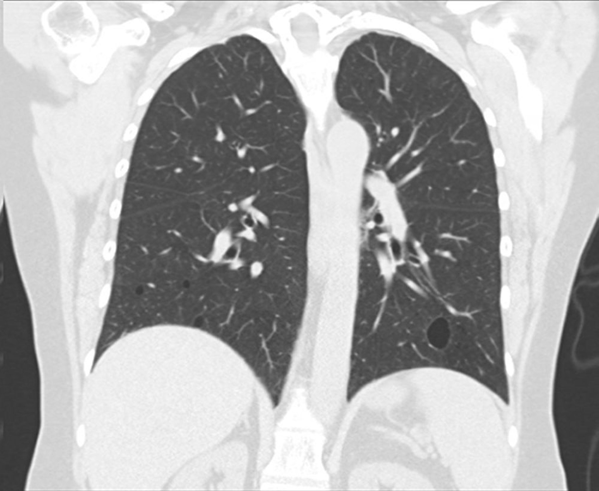
Hình ảnh này cho thấy bệnh viêm phổi kẽ lympho bào thứ phát do hội chứng Sjögren. Có thể nhìn thấy các nang được bọc kín ở các thùy dưới hai bên trên phần chụp CT hướng đứng ngang.
Hình ảnh này do bác sĩ Tami Bang cung cấp
Trong các chủ đề này
